Rehabilitación de Muñones despulpados - Postes Colados

Description

Apunte de postes colados
Cristian Felipe Tagle Gillmore
Note by Cristian Felipe Tagle Gillmore , updated more than 1 year ago
Cristian Felipe Tagle Gillmore
Created by Cristian Felipe Tagle Gillmore almost 9 years ago
373
4

Resource summary

Page 1

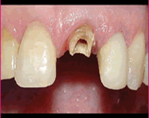
En el práctico tallaron dientes para prótesis fija los cuales estaban intactos (sin caries, fracturas u obturaciones previas). Esto hace que sus muñones fuesen 100% de marfilina. Si en boca les toca un caso similar (con indicación de prótesis fija, sin caries, fracturas u obturaciones) podrían realizar un muñón 100% dentario y vital. Como esto no es frecuente, o sea, probablemente sus dientes con indicación de prótesis fija si tengan grandes caries, obturaciones previas o fracturas es que su muñón no va a ser 100% dentario, va a tener que ser reconstruido con algún otro material. Cuando la perdida de estructura dentaria es leve (ej: 1 sola caries u obturación antigua de poca profundidad que abarque menos de 1 pared del muñón) su muñón puede quedar en su gran mayoría de tejido dentario y lo que falta de este puede ser reconstruido con resina compuesta. Ojo!, estos dientes aún están vitales, esto se puede hacer así sólo si tienen diagnósticos pulpares compatibles con esto. (algunos usan vidrio ionómero también).Cuando el diente ya no puede conservar la vitalidad y se le realiza la endodoncia hay que ver el remanente coronario que queda post-endodoncia.Si lo perdido es solamente el acceso endodóntico, el cual es muy conservador uno puede considerar (no siempre) sólo rehabilitar con resina compuesta. En el caso de que nuestro muñón tenga pérdida de estructura mayor a sólo el acceso hay que empezar a considerar el uso de postes preformados. (vamos a tener una clase de estos postes). De acuerdo a la referencia es cuánto se considera aceptable para rehabilitar con uno de estos postes y no un colado. Hay autores que dicen que para un poste preformado se debe mantener un 50% de la corona o muñón. Otros afirman que se debe tener 3 paredes de muñón y siempre lograr efecto férula (a mi opinión es más acertado). Cuando el tejido dentario es menor a esta cantidad es que se prefiere optar por postes colados (pernos muñones metálico, confeccionados generalmente a través de una impresión de conductos, los cuales se cementan posteriomente en boca - foto 1). En todo caso, el criterio clínico puede hacer variar estas decisiones, considerar un menor remanente y a pesar de esto colocar postes preformados (ej: remanente de 2 paredes y efecto férula para optar por un preformado), pero va a depender del caso clínico, de la potencia del antagonista y de la función del diente en la boca, junto con el pronóstico endodóntico y rehabilitador para la decisión si usar un poste colado o preformado). Los postes colados entonces los vamos a usar cuando el remanente sea menor del mencionado, idealmente también deben tener efecto ferula.Cuándo vamos a indicar un poste?R:Cuando el tejido coronal remanente ya no puede proporcionar el apoyo adecuado y la retención del material de restauración para la confección del muñón (A comparative study of teeth restored using different prefabricated root-canal postand castpost-and-core systems based on in vitro evaluationRevista ADM, Nov-DIc 2012/Vol. LXIX N°. 6 P.P. 271-276)Qué características debiese tener un poste o perno ideal?R: •Forma similar al volumen dental perdido. •Propiedades mecánicas similares a la dentina. •Mínimo desgaste al prepararlo. •Resistentes a la fatiga. •No corrosivos. •Biocompatibles. •Módulo de elasticidad similar a dentina (no más •de 4-5 veces).*De estas características el poste colado cumple con la primera (forma similar) porque a través de una impresión de conducto se logra hacer un vaciado que duplica exactamente como quedo preparado el conducto en boca y sobre este vaciado es que el al laboratorio confecciona el poste colado. De las propiedades mecánicas similares a dentina no podemos decir lo mismo, este perno es metálico y por lo mismo muy rígido (alto módulo de elasticidad). NO se comporta como la dentina, esto hace que la transmisión de fuerzas sea deficiente y tenga mayor cantidad de casos de fracturas radiculares que los postes preformados (de fibra). Además, estos casos de fractura cuando se dan ocurren del tercio medio hacia apical, haciendo que estas fracturas se cataloguen como "catastróficas", o sea, fracturas no rehabilitables (dientes con indicación de extracción). En el caso de los postes preformados de fibra vamos a ver que estos tienen menos casos de fractura y que cuando ocurren se presentan en el tercio cervical, o incluso se presentan como fallas adhesivas y el poste se descementa. Esto hace que estos "fracasos" de esos postes sean mas benéficos porque dejan remanentes que si pueden ser nuevamente rehabilitados.

Page 2

En el caso de los postes colados es ideal que estos cuenten con un remanente mínimo de 2mm de altura y 1mm de grosor en toda la preparación. Este remanente permite lograr un efecto de abrazadera sobre el perno muñón colado (o sobre cualquier postes que vaya cementado) y que es ideal para mejorar la distribución de fuerzas y evitar fracturas. Es tan importante este efecto que en caso de no tener el remanente para lograrlo se sugieren cirugías de ancho biológico o extrusiones con ortodoncia para lograrlo. *** ojo, cuando se rehabilita con un colado este puede no tener efecto férula, pero baja el pronóstico rehabilitador. En el caso de los preformados es requisito que si tengan efecto férula.***

Page 3

Conclusiones.-No todos los dientes tratados endodónticamente requieren postes. •Dientes con postes tienen menor resistencia la fractura que dientes vitales •Se debe conservar la mayor cantidad de tejido dentinario para disminuir los riesgos de fractura •Postes colados poseen en general mayores valores de resistencia a la tracción que preformados •A su vez presentan menor resistencia a fuerzas laterales y verticales de compresión que los preformados •Mayor probabilidad de provocar una fractura no rehabilitable que postes preformados •La ubicación de la fractura tiene relación con el material usado para la confección del poste.Menor resistencia de un diente tallado con perno que sin este se desprende que la resistencia de un diente va a depender de la dentina remanente. Un diente tratado endodónticamente va a tener siempre menos dentina remanente que un muñón dentario (vital) y además este no va a tener su conducto tratado ni ensanchado por la endodoncia y la preparación de este para recibir a un poste. “La ausencia de remanente de la porción coronaria ocasiona un mayor riesgo de fractura. Consenso de la importancia de conservar el máximo de estructura dentaria para disminuir los riesgos de fractura de los dientes. Disipación de fuerzas:-Colado: hacia tercio apical ; mayor riesgo de fracturas catastróficas.-preformado de fibra: mejor disipación de fuerzas, mayor concentración en cervical, riesgo de falla adhesiva del poste, también se pueden presentar fracturas en el tercio cervical, lo que se describe como favorable para el pronóstico, porque tiene mayor probabilidad de que sea posible una nueva rehabilitación (en el caso de ser en el tercio apical o medio como los colados es catastrófico, no se puede volver a rehabilitar). EL P. DE FIBRA= MEJOR TRANSMISIÓN PORQUE HACE CUERPO CON LA RAIZ…LA TENSIÓN SE CONCENTRA ENTRE INTERFASES DE 2 MOD. ELÁSTICOS DISTINTOS…SI SON MAS SIMILARES HAY MENOS TENSIÓN AL HABER MAYOR ÁREA DE INTERFASE….SE COMPORTAN COMO UN BLOQUE!!!, EN ENSACHADOS SOBRE TODO PREFERIR UN PREFORMADO DE FIBRA POR ESTA CARACTERÍSTICA, PERO OJO!, LO QUE MANDA EN LA ELECCIÓN ES EL REMANENTE CORONARIO Y LA POSIBILIDAD DE LOGRAR EFECTO FÉRULA. EL COLADO NO DISIPA, CONCENTRA…, Y CUANDO FALLA= FRACTURA, EL OTRO SE DESCEMENTA…((AUNQUE CASOS DE FRACTURA DE POSTES DE FIBRA TAMBIÉN SE DAN Y RETIRAR UN POSTE DE ESTOS ES MUY DIFICIL.

Page 4

Protocolo de desobturación parcial para poste colado.•Técnica 1.Rx Previa, Longitud de desobturaciónLo primero es tener una buena radiografía!!!, sin distorsión. 2.Atacadores (y mechero, con calor desobturamos el tercio cervical).. 3.Gates Con las fresas gates y topes de goma en cada una de estas , medidos a la desobturación que queremos lograr (ojo, siempre debemos dejar un mínimo de 4-5mm de endodoncia) las usamos en orden secuencial 1,2 y 3. Después se prepara el conducto con fresas Peeso. EL orden de estas también es creciente (1,2,3), pero ojo, no siempre se usan las 3, en conductos muy finos o raices acintadas se debe evaluar hasta que Peeso llegar. (evitar la 3 como recomendación en esos conductos).4.- Control Radiográfico (opcional)5.- Fresas Largo (peeso)6.- Control Radiográfico final.

Show full summary Hide full summary

Similar

Anatomia dental
natalia castro
Colgajo tipo Newman
Gloria Muñoz
Radiología Dental - Varios Temas
javier_castro
Alteraciones bucales
Patti Cs
Historia de la radiologia
mariaalvap.upaep
TEJIDO DE INSERCIÓN SUPRACRESTAL
Carolina Murillo
ANTIBIÓTICOS
Fernando Pulido
Primer Parcial Cirugía bucal
Patti Cs
Higiene y Salud Buco Dental
Pattie BM