Test de estudio

Description

PRIMER CORTE MORFOFISIOLOGIA Hecho el martes 23 de Julio del 2014 Por: PAULA CAMILA RAMIREZ RICO
camila rico
Quiz by camila rico, updated more than 1 year ago
camila rico
Created by camila rico over 11 years ago
117
0

Resource summary

Question 1

Question
Cual de estas NO corresponde a las incisiones quirúrgicas?
Answer
  • Kraske
  • Pfannestiel
  • Mcburney

Question 2

Question
Cual de estas imágenes pertenece a la incisión de Pfannestiel?
Answer

Question 3

Question
Como es llamada la posición que se muestra en la imagen?
Answer
  • Trendelemburg
  • Litotomia
  • Fowler

Question 4

Question
En la terminología el "cartílago" es llamado CONDRO?
Answer
  • True
  • False

Question 5

Question
Que recubre los músculos?
Answer
  • Fascia
  • Membrana
  • Mucosa

Question 6

Question
Que imagen representa la acción de fagocitar?

Question 7

Question
Como es llamada la glándula en la terminología?
Answer
  • Adipo
  • Leuco
  • Adeno

Question 8

Question
La membrana es una capa de células que recubre una superficie?
Answer
  • True
  • False

Question 9

Question
Cuanto puede vivir un espermatozoide?
Answer
  • 10 horas
  • 20 horas
  • 72 horas

Question 10

Question
Que es un estado de coma?
Answer
  • Sueño profundo o estado vegetativo permanente
  • Cuando el individuo sufre un desmayo

Question 11

Question
Que tipo de célula es un óvulo?
Answer
  • Diploide
  • Lisa
  • Haploide

Question 12

Question
El espermatozoide tiene membrana superficial??
Answer
  • True
  • False

Question 13

Question
Cual de estas es parte del ovulo?
Answer
  • Corona radiada
  • Cabeza
  • Glandula

Question 14

Question
La laparotomia consiste en abrir el tórax?
Answer
  • True
  • False

Question 15

Question
Cuantas semanas dura el desarrollo de un feto normalmente?
Answer
  • 30 semanas
  • 50 semanas
  • 40 semanas

Question 16

Question
El saco amniótico genera nutrientes para el feto?
Answer
  • True
  • False

Question 17

Question
Que posición es la que se ve en la imagen?
Answer
  • Anatomica
  • Supina
  • Litotomia

Question 18

Question
Es esta la región axial del cuerpo?
Answer
  • True
  • False

Question 19

Question
Es esta la región apendicular del cuerpo?
Answer
  • True
  • False

Question 20

Question
Cuantas divisiones tiene el abdomen?
Answer
  • 3
  • 9
  • 6

Question 21

Question
En la imagen se puede ver una...
Answer
  • Toracotomia
  • Laparotomia
  • Incisión

Question 22

Question
Identifique las faneras

Question 23

Question
Que palabra es usada en terminología para referirse a un "hongo"?
Answer
  • Seps
  • Morbo
  • Alge
  • Mico

Question 24

Question
El término orquídea hace referencia a los testículos?
Answer
  • True
  • False

Question 25

Question
Que se puede ver en la imagen?
Answer
  • Una embolia
  • Una fibrilación
  • Un edema
  • Un carcinoma

Question 26

Question
El musculo es llamado también...
Answer
  • Milo
  • Onco
  • Verme
  • Coco

Question 27

Question
La imagen representa un...
Answer
  • Embarazo normal
  • Embarazo ectópico
  • Ninguna

Question 28

Question
Que clase de sutura es la que se muestra en la imagen?
Answer
  • Sutura dentada
  • Sutura armónica

Question 29

Question
Cuantas capas tiene la piel?
Answer
  • 3
  • 4
  • 7

Question 30

Question
En la imagen aparece una...
Answer
  • Biopsia
  • Gamagrafia
  • Necropsia

Question 31

Question
Los huesos largos están conformado por epifisis, metafisis y diafisis?
Answer
  • True
  • False

Question 32

Question
Los huesos cortos son únicamente lo de...
Answer
  • Las manos, los pies y la columna
  • Las extremidades inferiores y superiores
  • El cráneo

Question 33

Question
La médula osea produce colágenos y proteínas?
Answer
  • True
  • False

Question 34

Question
Como se llama la parte que señala la flecha en la uña?
Answer
  • Lonula
  • Pliegue ungual
  • Extremo libre

Question 35

Question
La médula osea participa en la formación de glóbulos rojos, glóbulos blancos y plaquetas?
Answer
  • True
  • False

Question 36

Question
Que palabra es usada para hacer referencia al párpado?
Answer
  • Blefaro
  • Miringo
  • Masto

Question 37

Question
Que tipo de célula es el espermatozoide?
Answer
  • Dipolide
  • Haploide
  • Haploide y flajelada

Question 38

Question
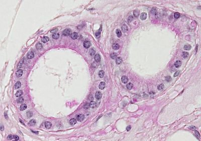
La imagen representa un epitelio cilíndrico siliado?
Answer
  • True
  • False

Question 39

Question
En la imagen se puede ver un epitelio simple cilíndrico columnar?
Answer
  • True
  • False

Question 40

Question
Que tipo de glándula es la que aparece en la imagen?
Answer
  • Ceruminosa
  • Sudoripara
  • Sebacea

Question 41

Question
De que origen son las faneras?
Answer
  • Ectodermico
  • Endodermico
  • Mesodermico

Question 42

Question
Cual es la clasificación de la piel?
Answer
  • Fina y gruesa
  • Dermis, epidermis, hipodermis

Question 43

Question
Cuales son los anexos embrionarios?
Answer
  • Saco amniótico, liquido amniótico, placenta, cordón umbilical
  • Cigoto, morula, blastula

Question 44

Question
En la imagen se puede ver un hombre con hipertrofia?
Answer
  • True
  • False

Question 45

Question
La mujer de la imagen sufre de obesidad?
Answer
  • True
  • False

Question 46

Question
La posición en la imagen es la posición de litotomia?
Answer
  • True
  • False

Question 47

Question
De que origen puede ser un carcinoma?
Answer
  • Endodermico
  • Epigastrio
  • Ectodermico

Question 48

Question
Cuanto dura el periodo bicelular en el desarrollo de un embrión?
Answer
  • 10 a 20 horas
  • 30 a 40 horas
  • 15 a 25 horas

Question 49

Question
Una de las funciones del tejido epitelial de revestimiento es proteger el cuerpo contra daños mecánicos?
Answer
  • True
  • False

Question 50

Question
Al SNC lo conforman el encéfalo, el cerebelo y la médula espinal?
Answer
  • True
  • False
Show full summary Hide full summary

Similar

Columna Vertebral
Salim Cueter Paternina
Miologia De La Cintura Escapular Y Hombro
Yeison Ramiro Diaz
TEST OFIMÁTICA COFREM ADMINISTRACION
ADRIANA GUTIERREZ
Herramienta didáctica morfofisiologia
cristian1192010
Trabajo social con Familias
Mónica Wisintainer
LEUCOCITOS - ELISEO - GRUPO 401503_32
Geidy Manquillo
Sistema inmunitario congénitoGabriela – Laura Rodríguez
Laura Cristina Rodriguez Zabala
Encéfalo
Gabriel Locatelli
MÚSCULOS DEL CUELLO
Valentina Florez