null
US
Sign In
Sign Up for Free
Sign Up
We have detected that Javascript is not enabled in your browser. The dynamic nature of our site means that Javascript must be enabled to function properly. Please read our
terms and conditions
for more information.
Next up
Copy and Edit
You need to log in to complete this action!
Register for Free
16058111
Tejido sanguíneo
Description
Test en Tejido sanguíneo, creado por Karina Gallardo Ampuero en 18/11/2018.
Quiz by
Karina Gallardo Ampuero
, updated more than 1 year ago
More
Less
Created by
Karina Gallardo Ampuero
almost 7 years ago
1725
0
0
Resource summary
Question 1
Question
¿Cual alternativa NO corresponde a una función del tejido sanguíneo?
Answer
Intercambio gaseoso
Transporte de nutrientes
Regulación de la temperatura
Hematopoyesis
Question 2
Question
¿Cual es el leucocito más presente en sangre?
Answer
Monocitos
Neutrófilos
Eritrocitos
Linfocitos
Question 3
Question
En los primeros 3 a 7 meses de gestación ¿Donde se realiza predominantemente la hematopoyesis?
Answer
Saco vitelino
Médula ósea
Hígado
Bazo
Question 4
Question
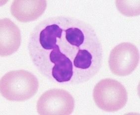
¿A qué tipo de célula sanguínea corresponde esta imagen?
Image:
Carga móvil (image/jpeg)
Answer
Neutrófilo
Linfocito
Eritrocito
Monocito
Question 5
Question
¿A qué tipo de célula sanguínea corresponde esta imagen?
Answer
Neutrófilo
Linfocito
Eritrocito
Monocito
Question 6
Question
¿A qué grupo de células sanguíneas se les denomina “granulocitos”?
Answer
Neutrófilos, basófilos y monocitos.
Linfocitos y monocitos.
Neutrófilos, basófilos y eosinófilos.
Linfocitos, neutrófilos y monocitos.
Question 7
Question
¿Cuales son las características principales de un eosinófilo?
Answer
Multilobulado, 12-15 um
Bilobulado, 12-17 um
Bilobulado, 7 um
Sin núcleo, 6-8 um
Question 8
Question
¿Cuantos días tarda un eritroblasto en convertirse en un glóbulo rojo maduro?
Answer
100 días
120 días
20 días
5 días
Question 9
Question
¿Cuales son los porcentajes de plasma y elementos figurados en sangre respectivamente?
Answer
55% y 45%
50% y 50%
40% y 60%
45% y 55%
Question 10
Question
¿En que etapa del desarrollo del eritrocito se desprende el núcleo?
Answer
Eritroblasto basófilo
Eritroblasto policromatófilo
Eritroblasto ortocromático
Reticulocito
Show full summary
Hide full summary
Want to create your own
Quizzes
for
free
with GoConqr?
Learn more
.
Similar
LEUCOCITOS - NEUTRÓFILOS
Ivan Medina
Examen de tejido sangíneo.
cami.gonzalez29
Qüestionari teixits
Begoña García Gallegos
EOSINÓFILOS, BASÓFILOS Y MONOCITOS.
Ivan Medina
Aprendizaje Basado en el Análisis de Casos
Ana Zapata9577
ERITROCITOS
Ivan Medina
PLASMA
Ivan Medina
Biomédica Parcial De Sangre
Juan Diego Velez Gil
HISTOLOGIA
Meez Santillan
se puede considerar un tejido conectivo fluido, dado que esta construida por celulas v una "sustancia intecelula" liquida
Zuriel Izelo
Browse Library