Ejercicio 1 - Modos ventilatorios

Description

Resuelve el siguiente caso clínico con los datos que se te van brindando.
jonathan.rc
Quiz by jonathan.rc, updated more than 1 year ago
jonathan.rc
Created by jonathan.rc over 10 years ago
53
0

Resource summary

Question 1

Question
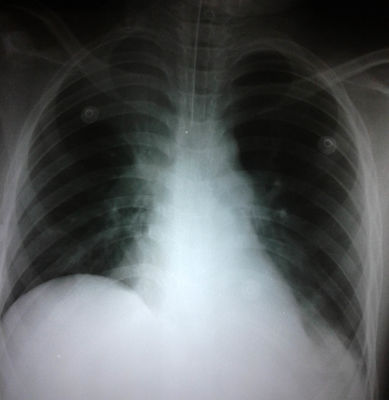
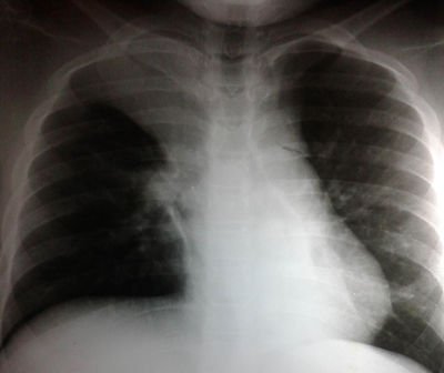
Niña de 9 años, 32 Kg APP: asma leve intermitente sin tratamiento profiláctico, sólo salbutamol en crisis. Nunca internada. Última crisis hace un año. DIA 1: comienza con tos y dificultad respiratoria progresiva, con sibilancias audibles sin estetoscopio. Consulta por guardia de emergencias de hospital dónde le realizan aerosol terapia de rescate para broncoespasmo durante 1 hora, nebulizaciones con adrenalina. Logra SpO2 = 97% pero con requerimientos de O2 por máscara con reservorio. Rx de tórax con 8 EIC bilaterales, atrapamiento aéreo y atelectasia del vértice del pulmón derecho. Laboratorio GB: 16.250 (90/7) - PCR: 2.7, Gases art: 7.35/34/55/18.5/-6.3/86%, Ionograma: 142/4.7/105/Ca:5.3 Hcto: 38, Hb: 12 Signos vitales: afebril (siempre), FR: 40 x', FC: 120 x', TA: 95/50 Al examen físico respiratorio: hipoventilación en ambos campos pulmonares, no roncus ni sibilancias, respiración en balancín, tiraje universal. ¿Cuál es su diagnóstico sindrómico?
Answer
  • Síndrome de hipoventilación alveolar congénica
  • Síndrome de dificultad respiratoria por patrón obstructivo
  • Síndrome de dificultad respiratoria por patrón restrictivo

Question 2

Question
¿En qué diagnósticos diferenciales piensa?
Answer
  • Asma crónico reagudizado
  • Asma casi fatal
  • Insuf. Resp. Aguda - CRIA

Question 3

Question
DIA 2 - SALA COMÚN SpO2 = 91-92%, tiraje universal, espiración prolongada, sibilancias en ambos campos pulmonares, subcrépitos en campo pulmonar derecho en vértice. Hemodinámicamente estable. No soplos cardíacos. Se continúa con aerosolterapia, se indica dexmetasona ev, y claritromicina 15 mg/kg/dia cada 12 hs. A las 23 hs del segundo día de internación presenta descompensación aguda, con FC 116 x', FR 32 x', SpO2 89% con máscara con reservorio. Se inicia serie de broncodilatadores durante 1 hora sin respuesta. El médico reviere hipoventilación generalizada, a predominio en campo pulmonar izquierdo, y subcrépitos en vértice de campo pulmonar derecho. Pasa a Unidad de Cuidados Intermedios. Se le realiza goteo de ketamina y sulfato de magnesio. No mejora. Se inicia Bipap geniuno con mala adaptación y respuesta. 23 hs médico de UCI pide cama en UTIP. Placa de torax con atrapamiento apereo y atelectasia del vértice del pulmón derecho. Gases art: 7.37/38.6/62/22/-2.5/92% PCR = 2.7 ¿Qué situación tiene el paciente actualmente?
Answer
  • CRIA con alkalosis respiratoria compensada
  • CRIA con acidosis respiratoria compensada
  • CRIA con acidosis respiratoria descompensada

Question 4

Question
DIA 3 - UTIP Una vez en UTIP SpO2 77%, se indica goteo de sulfato de magnesio + nebulización contínua con salbutamol logrando SpO2 85% sin mejoría posterior, respiración en balancín, tiraje universal, hipoventilación en ambos campos pulmonares sin roncus ni sibulancias. FC 110 x', FR 30 x', TA 114/64 (81), Afebril 36.7. Se decide intubación programada. Paciente con mucha ansiedad. ¿Qué drogas considera más convenientes para intubar a éste paciente considerando su CRIA, ansiedad y hemodinamia?
Answer
  • Fentanilo, Vecuronio
  • Midazolam, ketamina, vecuronio
  • Tiopental, vecuronio

Question 5

Question
¿Qué número de TET elegiría según fórmula para este paciente de 9 años, 32 kg?
Answer
  • TET N° 5 con balón
  • TET N° 6 con balón
  • TET N° 6.5 con balón

Question 6

Question
¿Qué produndidad le daría al TET dentro de la vía aérea)? Tenga en cuenta que utilizó un TET 6.5 con balón
Answer
  • 11.5 cm
  • 13.5 cm
  • 19.5 cm

Question 7

Question
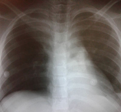
Al paciente se lo conecta a AVM modo VCV, se solicita Rx de tórax. ¿Que observa en la RX de tórax?
Answer
  • Atelectasia de vértice del pulmón derecho
  • NAC del vértice del pulmón derecho
  • Empiema a nivel de vértice de pulmón derecho

Question 8

Question
Gases luego de intubar al paciente y AVM: 7.35/33/55/18/-6.5/86% ¿Qué condición tiene el paciente?
Answer
  • Acidosis respiratoria pura con hipoxemia
  • Acidosis mixta (respiratoria y metabólica) con hipoxemia
  • Alcalosis respiratoria con hiperoxia

Question 9

Question
¿Calcule la Diferencia Alveolo-Arterial de O2? 7.35/33/55/18/-6/86%
Answer
  • 40
  • 255
  • 108

Question 10

Question
El paciente evoluciona mal en modo VCV, no levanta SpO2 más de 85, y PaO2 de 55. Se pasa a modo PCV y se titula peep hasta 15. Sigue hipoxémico. ¿Que otra maniobra para mejorar la oxigenación podríamos hacer con éste paciente?
Answer
  • Un jet de oxigeno
  • Pronarlo
  • VAFO
Show full summary Hide full summary

Similar

Enfermeria y KTR
jonathan.rc
Cuestionario N°3
jonathan.rc
TP 1 - Enfermería
jonathan.rc
TECNICAS DE RECOLECCION DE DATOS
Francisco Gómez
NEUMONIA ADQUIRIDA EN LA COMUNIDAD
crvillotat20
Ictericia Neonatal
Pediatría Medica
Cuestionario: Ecosistemas Terrestres
Richard Romero
Cuestionario de Derecho Romano I
Miguel mario Castañeda Morelos
Test Modelo
Piensa Mas
Test Gestión T. II
Piensa Mas
Sepsis Neonatal
Pediatría Medica