null
US
Sign In
Sign Up for Free
Sign Up
We have detected that Javascript is not enabled in your browser. The dynamic nature of our site means that Javascript must be enabled to function properly. Please read our
terms and conditions
for more information.
Next up
Copy and Edit
You need to log in to complete this action!
Register for Free
2267438
TP 1 - Enfermería
Description
Recuerde hacer click en repasar las preguntas para ver las correcciones y explicaciones de cada una de ellas.
No tags specified
pediatria
terapia intensiva
enfermeria
curso terapia intensiva misericordia
medicina
Quiz by
jonathan.rc
, updated more than 1 year ago
More
Less
Created by
jonathan.rc
over 10 years ago
38
0
0
Resource summary
Question 1
Question
¿Cuántos modos ventilatorios conoce?
Answer
VCV, PCV, VPS
ARM, VNI
PEEP, PICO, Plateau
Question 2
Question
¿Por qué en estas curvas del monitor del ventilador las curvas presentan un patrón en "dientes de sierra"?
Image:
3f572244-2f67-49e1-a3a9-6ced9478588c (image/jpg)
Answer
Es lo habitual que se van así
Puede haber agua en las tubuladuras
El paciente se está moviendo y respira solo
Question 3
Question
¿A partir de cuántos litros/min un dispositivo para administrar O2 es considerado de Alto Flujo?
Answer
6 L/m
10 L/min
12 L/min
Question 4
Question
¿Qué modo ventilatorio está utilizando éste paciente?
Image:
eb8764ae-f939-4a2f-8687-accfb47489f6 (image/jpg)
Answer
Presión control
Volumen control
Presión soporte
Question 5
Question
El paciente en la unidad de cuidados críticos necesita cambio de sabanas y ser bañado todos los días al comienzo del día.
Answer
True
False
Question 6
Question
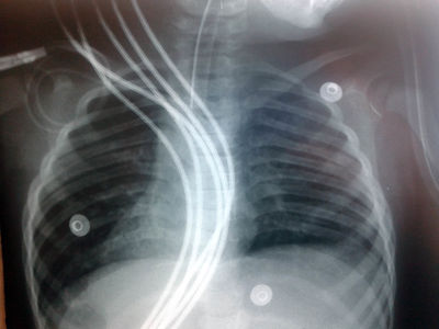
¿Que error "técnico" reconoce en esta radiografía de tórax?
Image:
01f832b8-f66c-4c89-b0a4-ae614d119ce2 (image/jpg)
Answer
Tiene los cables del monitor que obstaculizan la visión correcta del tórax
Está muy penetrada y no se logra ver bien
La radiografía no presenta ningún error técnico, es correcta
Question 7
Question
Si de repente comienza a sonar la alarma de ALTA PRESION del respirador, ¿qué debo hacer?
Answer
Ir corriendo a avisarle al médico porque el paciente puede tener un neumotórax a tensión
Desconectar al paciente del respirador, asistirlo con ambú y aspirar secreciones porque puede estar obstruído el tubo
Silenciarla ya que seguramente se debe a alta presión en el panel de O2
Question 8
Question
¿Cuántas personas deben estar alrededor del paciente en un ingreso a la UTIP?
Answer
1 médico, 1 kinesiólogo, 1 enfermero
2 médicos y 2 enfermeros
Todos los que hagan falta
Question 9
Question
La enfermera debe controlar las indicaciones que realiza el médico, por lo tanto debe saber de farmacología y dosis
Answer
True
False
Question 10
Question
¿La enfermera puede cambiar algún parámetro del respirador si el médico se lo autoriza?
Answer
True
False
Show full summary
Hide full summary
Want to create your own
Quizzes
for
free
with GoConqr?
Learn more
.
Similar
PRUEBA DE CONOCIMIENTOS ENFERMERIA
ENFERMERIA_SALUD
Generalidades de osteología.
Daryl Benavides
Anatomía cabeza
maca.s
Test de Auxiliar de Enfermeria para repaso
leyvamiri
El Sistema Respiratorio
jruizzuniga
Repaso de Revalida de Enfermeria 2020
Estebania Bautista
Primeros auxilios en casos de envenenamiento o intoxicación
María Juana Rincón
INSTITUCIONES INTERNACIONALES Y NACIONALES DE ENFERMERIA
peeweetha_arely7
TEST BÁSICO PARA TODO MEDICO
Pedro Luis Padil
TEST DE CONOCIMIENTOS BÁSICOS PRE-HOSPITALARIOS
FELIPE DAVID OYA
Metodología de trabajo en enfermeriacomunitaria
fany_y_tiko
Browse Library