null
US
Sign In
Sign Up for Free
Sign Up
We have detected that Javascript is not enabled in your browser. The dynamic nature of our site means that Javascript must be enabled to function properly. Please read our
terms and conditions
for more information.
Next up
Copy and Edit
You need to log in to complete this action!
Register for Free
2754812
Herramienta de patologia
Description
Realizada el 18/05/15 Paula Camila Ramírez Rico
No tags specified
patologia
herramienta
ya
Quiz by
camila rico
, updated more than 1 year ago
More
Less
Created by
camila rico
over 10 years ago
106
0
0
Resource summary
Question 1
Question
La necrosis de licuefacción es mas frecuente en hígado, riñón y miocardio?
Image:
3601133e-f9a7-4fc0-9ed8-4637079d8790 (image/png)
Answer
True
False
Question 2
Question
La apoptosis es una muerte celular programada?
Image:
0ae30c9c-abcc-4652-a326-fd50123178c2 (image/png)
Answer
True
False
Question 3
Question
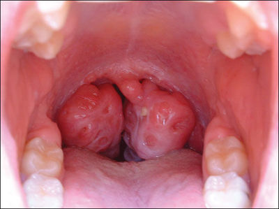
Que es hiperplasia?
Image:
0d3e7396-d804-4085-a320-bd5047a1acd8 (image/jpg)
Answer
Cuando las células aumentan de tamaño por ende aumenta el tamaño del orégano pero no aumenta el numero de las células
Cuando aumenta el numero de células y aumenta de volumen el órgano,
Question 4
Question
Que es necrosis celular?
Answer
La célula se agranda y aumenta su trabajo hasta que se daña.
Image:
cc0c3cf8-b036-4aef-b97f-f3e237f78707 (image/jpg)
Se presentan cambios a nivel externo de la célula.
Image:
a23d1a72-cdc3-47e2-b83d-63780c05b8de (image/png)
Question 5
Question
La atrofia es la disminución de tamaño de un órgano a nivel celular?
Image:
407f13cd-8e4b-4144-ac83-515de3c582e7 (image/jpg)
Answer
True
False
Question 6
Question
Que es una inflamación?
Image:
54c6fd81-e433-48aa-8599-3e333ada5c57 (image/jpg)
Answer
Disminución de tamaño de un órgano.
Respuesta inesperada frente a las agresiones del medio.
Cambio reversible de una celular por otra,
Question 7
Question
Las cicatrices están formadas por piel nueva?
Image:
2e3f1d2b-2d3f-4d93-9965-5916be52f59e (image/jpg)
Answer
True
False
Question 8
Question
Que es la hipertrofia?
Image:
a5db294d-8079-4b76-805c-364b71abcb6d (image/jpg)
Answer
Cuando aumenta el numero de células de un órgano.
Cuando las células aumentan de tamaño por ende aumenta el tamaño del orégano pero no aumenta el numero de las células
Question 9
Question
El pus es un liquido extracelular que contiene alta cantidad de proteínas?
Image:
ed973365-ef59-46ad-ac90-4073b52a2c6e (image/jpg)
Answer
True
False
Question 10
Question
El liquido trasudado contiene...
Answer
Baja cantidad de proteínas
Tejido intersticial
Liquido purulento y mal oliente
Question 11
Question
El liquido exudado contiene alta cantidad de proteínas sobre todo albúmina?
Answer
True
False
Question 12
Question
Los eosinófilos son los encargados de dar una respuesta inflamatoria?
Image:
936c9182-b8d3-4fab-9d2d-7b3968b7ff49 (image/jpg)
Answer
True
False
Question 13
Question
La inflamación granulomatosa es una acumulación de...
Image:
d0460b18-8b30-4dfe-a8d0-eba6891f9b1a (image/jpg)
Answer
Neutrófilos
Macrófagos
Mastocitos
Question 14
Question
Un edema es...
Image:
45e22bcc-1931-400d-a44a-01b61d3b9438 (image/jpg)
Answer
Acumulación excesiva de liquido en el espacio intersticial de los tejidos
Purulento
Mal oliente
Question 15
Question
La falla cardiaca derecha corresponde a:
Image:
ed79995f-1303-4d5f-8f09-687fac7f8ec8 (image/jpg)
Answer
Mala perfusión arterial sistemática
Obstrucción linfática
No llega sangre a la vena cava
Question 16
Question
Una pápula es:
Image:
b459ffff-34ff-4080-9521-a930bbfe02e8 (image/jpg)
Answer
Roncha pequeña
Mancha cutánea
Roncha pequeña con contenido purulenta
Question 17
Question
La ascitis es...
Image:
bee3e442-4c15-41ab-9d97-0e4144b84e26 (image/png)
Answer
Herniación
Liquido en el tórax
Liquido en el cerebro
Liquido en la cavidad abdominal
Falla cardiaca
Question 18
Question
Una hiperemia activa es cuando:
Answer
Aumenta el flujo de la sangre arteriolar
Obstrucción al retorno venoso
Liquido en el hígado
Question 19
Question
La congestión pasiva generalizada crónica afecta:
Image:
d0ec068f-36b2-4b92-a3e1-cddb476364cf (image/png)
Answer
Pulmón, hígado, bazo, los mas vascularizados
Venas
Vasos linfáticos
Question 20
Question
Que es un aneurisma?
Image:
e49b162c-3151-46e5-a358-93f99d669439 (image/jpg)
Answer
Cardiopatía isquémica
Liquido pleural
Dilatación permanente y localizada de una arteria
Difusión endotelial
Question 21
Question
Que es colangitis?
Image:
1ef45450-2301-4eb1-af25-2bde3bf8b5b6 (image/png)
Answer
Cálculos de vías biliares
Infección de vías biliares
Engrosamiento de la pared
Question 22
Question
La hemorragia es una salida de sangre fuera de un vaso sanguíneo?
Image:
d0a2f722-f3af-4403-a8f2-4a1e3cbeb4a5 (image/jpg)
Answer
True
False
Question 23
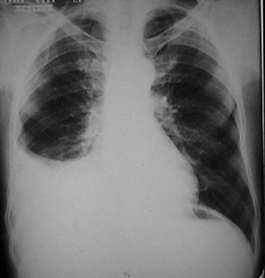
Question
La atelectasia es una hiperreactividad bronquial?
Image:
75d61f0d-fc45-43f7-b8ab-224001e17919 (image/jpg)
Answer
True
False
Question 24
Question
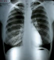
Derrame pleural es:
Image:
953999ed-ae4e-4d90-b85c-25ff5a25036a (image/jpg)
Answer
Aumento de liquido
Aumento sanguíneo
Presencia de aire
Question 25
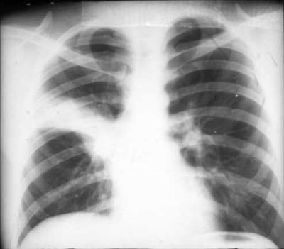
Question
Neumotórax es:
Image:
ea5e4801-bbf9-4d66-ab5c-7874685b7b1b (image/png)
Answer
Penetración de la pared torácica
Liquido
Trauma
Question 26
Question
Que es la colelitiasis?
Image:
abb66e91-599b-4d8e-96e5-ff75c706731a (image/jpg)
Answer
Cálculos en la vesícula biliar
Obstrucción de la bilis
Daño arterial
Question 27
Question
Una pústula es:
Image:
92038e67-3806-4644-876c-c1e388327046 (image/png)
Answer
Roncha con contenido purulento
Nódulo superficial en dermis
Edema a nivel de la epidermis
Question 28
Question
La imagen corresponde a una pancreatitis?
Image:
e2430c6f-b1ff-45bd-9e27-a8e312eafc99 (image/png)
Answer
True
False
Question 29
Question
La patología de EPOC esta compuesta por: (enfisema, asma bronquial, bronquitis crónica, bronquiectasis)
Image:
c441ca76-1f05-4ea7-9c5b-c179b758d882 (image/jpg)
Answer
True
False
Question 30
Question
El dolor de una apendicitis se ubica en?
Image:
53a1684b-cbb3-431c-b03c-cc6e5934a7f1 (image/jpg)
Answer
Fosa iliaca derecha
Fosa iliaca izquierda
Hipocondrio derecho
Question 31
Question
La apendicitis tiene origen por:
Image:
72cc7375-7d4f-4beb-85a9-e9dd9ce06e04 (image/jpg)
Answer
Obstrucción por cálculos
Obstrucción por fecalitos
Obstrucción por pus
Show full summary
Hide full summary
Want to create your own
Quizzes
for
free
with GoConqr?
Learn more
.
Similar
Patología II
Karen Lorena Rodrigue Mariño
HERRAMIENTAS DE APRENDIZAJE CUADRO COMPARATIVO
alerusi30
Rol de los macrófagos en la inflamación crónica
Brian Espinoza Esquerre
La perspectiva de género
Aprende DH
Diagrama de flujo de la inflamación y sus mediadores químicos
ARMANDO DELGADILLO SANCHEZ
Enfermedad de Alzheimer
M Pereira
Enfermedad de Alzheimer
Diego Delgado
FRACTURA
Francisco.Sanz
Herramienta Matriz Eisenhower
Adrián Sánchez Valls
HERRAMIENTAS DE APRENDIZAJE CUADRO COMPARATIVO
andrea rios
Cancer de mama
Alejandro Cruz
Browse Library