Patología 1

Description

En este test podra encontrar diferentes preguntas sobre todo tipos de patologias que te ayudaran al aprendizaje de la misma
JESSICA LORENA MARQUEZ CASTAÑEDA
Quiz by JESSICA LORENA MARQUEZ CASTAÑEDA, updated more than 1 year ago
JESSICA LORENA MARQUEZ CASTAÑEDA
Created by JESSICA LORENA MARQUEZ CASTAÑEDA over 10 years ago
283
0

Resource summary

Question 1

Question
Cuando se habla de necrosis hace referencia a muerte celular programada
Answer
  • True
  • False

Question 2

Question
Cuando se produce una muerte celular por autolisis e hidrolisis que tipo de necrosis es
Answer
  • Necrosis coagulación
  • Necrosis licuefacción
  • Necrosis caseosa
  • Necrosis grasa

Question 3

Question
Hiperplasia hace referencia al aumento de tamaño de un órgano debido al incremento del numero de células
Answer
  • True
  • False

Question 4

Question
cuando se habla de hipertrofia se entiende por el aumento del tamaño de las celulas y a su vez el tamaño del órgano afectado
Answer
  • True
  • False

Question 5

Question
Atrofia hace referencia a la disminución del tamaño de un órgano y nivel celular
Answer
  • True
  • False

Question 6

Question
La inflamación crónica dura
Answer
  • Más de 15 días
  • Menos de 15 días
  • De 1 a 2 meses
  • Más de 20 días

Question 7

Question
Un liquido exudado tiene bajo contenido en proteínas
Answer
  • True
  • False

Question 8

Question
Se entiende por edema como
Answer
  • Acumulación excesiva de liquido en el espacio intersticial e los tejidos
  • Acumulo de pus en alguna cavidad
  • aumento del flujo y volumen de sangre arteriolar
  • Salida de sangre fuera de un vaso sanguíneo

Question 9

Question
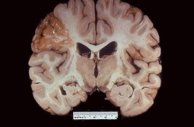
La patología que se visualiza en la imagen se le denomina
Answer
  • Edema
  • Ascitis
  • Derrame abdominal
  • hiperemia

Question 10

Question
Se le denomina oclusión de un vaso por una masa arrastrada por la circulación como
Answer
  • Embolismo
  • Hemopericardio
  • Hiperemia
  • Ninguna de las anteriores

Question 11

Question
se define macula como
Answer
  • Cambio de color de la pie sin alteración de relieve consistencia o espesor
  • Elevación de la piel
  • Elevación circunscrita de la piel de contenido purulento
  • Ninguna de las anteriores

Question 12

Question
las escamas son tipo de lesión
Answer
  • secundaria
  • primaria
  • Ninguna de las anteriores

Question 13

Question
Que patología cutánea se puede visualizar en la imagen
Answer
  • Queratosis
  • Vesícula
  • Nódulo
  • Ampolla

Question 14

Question
Cuando hay un defecto en el septum interauricular generando un orificio comunicando las dos aurículas a esta patología cardíaca se le denomina comunicación interauricular
Answer
  • True
  • False

Question 15

Question
Se define aneurisma como
Answer
  • dilatación permanente y localizada de una arteria que tiene al menos el 50% de aumento en el diámetro
  • Engrosamiento de la pared de una arteria con perdida de la elasticidad
  • inflamación de los vasos venosos
  • Todas las anteriores

Question 16

Question
como se define el asma
Answer
  • hiperreactividad bronquial
  • Dilatación anormal de los bronquios
  • hipersecreción de moco

Question 17

Question
Derrame pleural es la acumulación de liquido en el espacio pleural
Answer
  • True
  • False

Question 18

Question
Se conoce la colelitiasis como
Answer
  • presencia de cálculos en la vesícula biliar
  • Inflamación de la pared vesicular
  • infección de la via biliar secundaria
  • Ninguna de las anteriores

Question 19

Question
Se denomina colangitis a la infección de la vía biliar secundaria
Answer
  • True
  • False

Question 20

Question
El páncreas anular hace referencia a que el primordio pancreático ventral queda fijo y el otro se ubica alrededor del duodeno
Answer
  • True
  • False

Question 21

Question
La apendicitis aguda incipiente es
Answer
  • reacción inflamatoria de la serosa
  • Reacción fibrinopurulenta sobre la serosa
  • ulceración hemorragica de la mucosa
Show full summary Hide full summary

Similar

Patología
Mariana Olivares