null
US
Sign In
Sign Up for Free
Sign Up
We have detected that Javascript is not enabled in your browser. The dynamic nature of our site means that Javascript must be enabled to function properly. Please read our
terms and conditions
for more information.
Next up
Copy and Edit
You need to log in to complete this action!
Register for Free
2935431
Autoevaluación histología del globo ocular
Description
m
No tags specified
m
n
p
Quiz by
mmarin5213
, updated more than 1 year ago
More
Less
Created by
mmarin5213
over 10 years ago
715
0
0
Resource summary
Question 1
Question
Marque la opción correcta de acuerdo a la estructura señalada:
Image:
5dce47c3-094e-4cd4-86bf-711994bd836a (image/png)
Answer
Cámara anterior
Cámara posterior
Cuerpo Vítreo
Question 2
Question
Marque la opción correcta de acuerdo a la estructura señalada
Image:
4746bf96-bb4d-4b03-a9da-d5ed26f3094d (image/png)
Answer
Iris
Cuerpo ciliar
Limbo esclero corneal
Question 3
Question
Marque la opción correcta de acuerdo a estructura y capa señalada
Image:
9c1bb4e3-981a-4983-9ac4-0592ca729604 (image/png)
Answer
Retina, capa de fotorreceptores
Coroides, capa de fotorreceptores
Retina, capa plexiforme externa
Question 4
Question
Marque la opción correcta de acuerdo a estructura y capa señalada
Image:
ae8f54bc-6d49-4468-98fa-ddca25dabc56 (image/png)
Answer
Retina, capa nuclear interna
Retina, capa nuclear externa
Retina, capa de células ganglionares
Question 5
Question
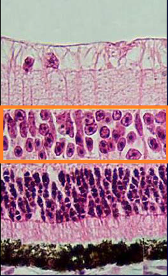
Marque la opción correcta de acuerdo a estructura y capa señalada
Image:
92f66834-c43f-4e2b-b1b0-2d41c2d4d8d2 (image/png)
Answer
Retina, capa plexiforme interna
Retina, capa nuclear interna
Retina, capa de células ganglionares
Question 6
Question
Marque la opción que corresponde a la estructura señalada
Image:
c9b55e4f-a660-41fd-893f-d5e15abc1c12 (image/png)
Answer
Cuerpo ciliar
Córnea
Iris
Question 7
Question
Marque la opción que corresponde a la estructura señalada
Image:
3a996a72-a62b-46b0-9ad3-bc26f3cad23f (image/png)
Answer
Proceso ciliar
Cristalino
Córnea
Question 8
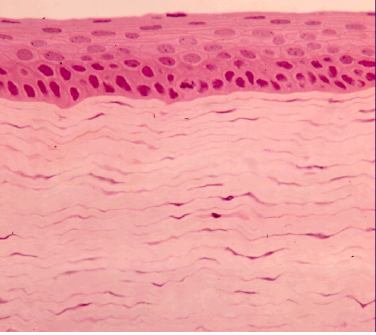
Question
La presente fotografía corresponde a
Image:
25bc6272-893d-4ca6-b1f0-758a79ce9606 (image/png)
Answer
Córnea
Coroides
Retina
Question 9
Question
La estructura señalada corresponde a
Image:
1aed7582-7f63-4c86-9eb4-de180f4b3edf (image/png)
Answer
Músculos extraoculares
Nervio óptico
Cuerpo vítreo
Question 10
Question
Marque la opción que corresponde a la estructura señalada
Image:
acad991a-cd26-4375-b353-23164fa140f2 (image/png)
Answer
Primordio del ojo
Primordio del párpado
Primordio de la córnea
Question 11
Question
Los axones de las neuronas ganglionares conforman el nervio óptico.
Answer
True
False
Question 12
Question
La túnica media esta formada por la retina
Answer
True
False
Question 13
Question
La capa externa de la córnea esta compuesta por epitelio estratificado plano
Answer
True
False
Question 14
Question
La coroides es avascular
Answer
True
False
Question 15
Question
El musculo ciliar no modifica su actividad a lo largo de la vida del individuo.
Answer
True
False
Question 16
Question
Los fotorreceptores se ubica en la capa más interna de la retina
Answer
True
False
Question 17
Question
Las células bipolares hacen sinapsis con los fotorreceptores
Answer
True
False
Question 18
Question
Las células amácrinas posee largos axones que establecen sinapsis con los fotorreceptores
Answer
True
False
Question 19
Question
Capa plexiforme externa esta compuesta por contactos sinápticos entre los fotorreceptores e interneuronas (células horizontales y células bipolares)
Answer
True
False
Question 20
Question
La cámara anterior está limitada por la córnea y el iris
Answer
True
False
Show full summary
Hide full summary
Want to create your own
Quizzes
for
free
with GoConqr?
Learn more
.
Similar
Independencia de Los Estados Unidos
miguele.marin21
Declaración de los Derechos del Hombre y del Ciudadano
castrodaniela31
Nic 41
es.orellana7
CATÁSTROFES NATURALES.
Denisse Hermosilla
Sindrome de neurona motora
itziar borbolla
clases de animales
Nuñez Clauida
Fenómenos ondulatorios
Julian Gonzalez
Scientific and technological advances
Luca Canteli
Constitución liberal
César Palma
Periféricos
Bilal Mohamed Haddu
Modelo Delegante
Omar Del Aguila Martinez
Browse Library