Prueba Medicina

Description

Es un pequeño cuestionario de medicina
Alberto Prieto
Quiz by Alberto Prieto, updated more than 1 year ago
Alberto Prieto
Created by Alberto Prieto over 10 years ago
209
2

Resource summary

Question 1

Question
Mecanismo fisiopatológico para el desarrollo de catarata:
Answer
  • Proceso degenerativo del limbo y la conjuntiva
  • Parálisis del III par craneal
  • Infección crónica de las glándulas de Meibomio
  • Perdida degenerativa de la transparencia del cristalino

Question 2

Question
Paciente femenino de 55 años de edad la cual presenta parestesias en extremidades inferiores, palidez generalizada, equimosis y epistaxis de fácil aparición, fatiga y ansiedad. A la exploración física se encuentra con glositis y hepatoesplenomegalia. Se solicitan laboratoriales encontrando Hb 8.5 mg/dl, Htto 20%, VCM 130 um3, CMHG 33%, Leucos: 1000 mm3, Plaquetas 130,000 mm3, Neutros 55%, neutrófilos hipersegmentados. APP: Gastrectomía hace 6 meses. ¿Cuál es el diagnóstico probable de esta paciente?
Answer
  • Anemia ferropénica
  • Anemia perniciosa
  • LLA
  • Anemia aplásica

Question 3

Question
¿Cuál es el tratamiento para esta paciente?
Answer
  • Vincristina y cisplatino
  • Trasplante de medula ósea.
  • Hierro parenteral
  • Cianocobalamina parenteral

Question 4

Question
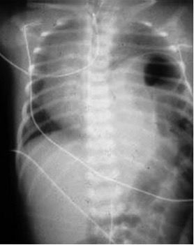
A newborn with respiratory distress within the first 24 h, with an excavated abdomen and a asymmetric chest. Auscultation with decreased breath sounds and peristaltic sounds on the affected hemithorax. The accompanying image shows the x-ray findings. What is the diagnosis?
Answer
  • Congenital diapragmatic hernia.
  • Intestinal obstruction
  • Pneumothorax
  • Pneumathocele

Question 5

Question
Paciente masculino 70 años con adicción a narcóticos, acude a urgencias por constipación grave y distensión abdominal. No presenta datos de irritación peritoneal y se encuentra deshidratado. Se realiza rx abdominal simple: ¿Cuál es el diagnóstico de este paciente?
Answer
  • Colitis isquémica.
  • Colitis pseudomembranosa.
  • Vólvulo sigmoideo.
  • Síndrome de Ogilvie.
Show full summary Hide full summary

Similar

Anatomía cabeza
Diego Santos
Anatomía cabeza
maca.s
Definiciones CARDIOLOGÍA
Vivi Riquero
T9. Enfermedades Inflamatorias
Vivi Riquero
Fichas para oposiciones de auxiliar de enfermería
leyvamiri
Hematología - ENARM
Emilio Alonsooo
Oftalmología - ENARM
Emilio Alonsooo
Infecciones Quirúrgicas
Exero
FUNDAMENTOS DE LA EMBRIOLOGÍA.
fperezartiles
Tema 15: Características del sistema respiratorio
Marlopcar López
Alergología - Práctica para el ENARM
Emilio Alonsooo