null
US
Sign In
Sign Up for Free
Sign Up
We have detected that Javascript is not enabled in your browser. The dynamic nature of our site means that Javascript must be enabled to function properly. Please read our
terms and conditions
for more information.
Next up
Copy and Edit
You need to log in to complete this action!
Register for Free
2977632
Macroaneurisma retiniano (576) y Retinopatía por radiación (587)
Description
Macroaneurisma retiniano y Retinopatía por radiación
No tags specified
macroaneurisma retinano
retinopatia por radiacion
kanski
residentes oftalmo
Quiz by
Oftalmo HCM
, updated more than 1 year ago
More
Less
Created by
Oftalmo HCM
over 10 years ago
91
0
0
Resource summary
Question 1
Question
¿En qué porcentaje el macroaneurisma retiniano es unilateral?
Answer
90%
30%
60%
10%
Question 2
Question
¿En qué porcentaje se encuentra el macroaneurisma retiniano asociado a hemorragia retiniana?
Answer
50%
30%
90%
10%
Question 3
Question
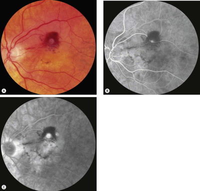
Con la siguiente imagen clínica, ¿De qué patología retiniana sospecharía?
Image:
4dc85578-3751-4eac-8962-9d50fe20882c (image/jpg)
Answer
Macroaneurisma retiniano
Enfermedad de Coats
Retinopatía diabética
Retinopatía hipertensiva
Question 4
Question
¿Cuál es la enfermedad crónica que más se relaciona con el macroaneurisma retiniano?
Answer
Hipertensión arterial sistémica
Diabetes mellitus tipo 2
Hipotiroidismo
Hipertiroidismo
Question 5
Question
¿En qué pacientes está indicada la hialoidotomía con YAG láser por hemorragia preretiniana?
Answer
Hemorragias grandes que involucran la mácula y no se absorben
Hemorragias con mas de 3 diámetros de disco en retina periférica
Hemorragias con mas de 2 diámetros de disco en retina ecuatorial
Hemorragias con mas de 2 diámetros de disco en retina periférica
Question 6
Question
¿Indicación para uso de fotocoagulación en pacientes con macroaneurisma retiniano?
Answer
Edema o exudados duros que implican o amenazan la fóvea
Hemorragias preretiniana
Desprendimiento de retina
Macroaneurisma con exudados duros
Question 7
Question
Intervalo de tiempo más común para la aparición de retinopatía por radiación
Answer
6 meses - 3 años
3-5 años
2-6 meses
2 meses- 1 año
Question 8
Question
¿Cuál de los siguientes signos NO es visto en la retinopatía por radiación?
Answer
Oclusión capilar leve con circulación colateral
Edema y exudados retinianos
Microaneurismas, exudados algodonosos, hemorragias en llama
Vitreítis
Question 9
Question
¿Cuáles son los signos de mal pronóstico en pacientes con retinopatía por radiación?
Answer
Papilopatia y retinopatia proliferativa
Retinopatia proliferativa y exudados algodonosos
Exudados duros que afectan la mácula
Macroaneurisma retiniano
Show full summary
Hide full summary
Want to create your own
Quizzes
for
free
with GoConqr?
Learn more
.
Similar
DESPRENDIMIENTO DE RETINA REGMATOGENO
Oftalmo HCM
REACCIONES PUPILARES (812-823)
Oftalmo HCM
Síndrome de puntos blancos. Pag. 457468
Oftalmo HCM
Queratitis intersticial página 191-201
Oftalmo HCM
Browse Library