null
US
Sign In
Sign Up for Free
Sign Up
We have detected that Javascript is not enabled in your browser. The dynamic nature of our site means that Javascript must be enabled to function properly. Please read our
terms and conditions
for more information.
Next up
Copy and Edit
You need to log in to complete this action!
Register for Free
2985687
Histología
GoConqr Review
Llegó el momento de evaluar tus conocimientos sobre histología con este test. Responde las preguntas sobre los diferentes tipos de tejidos y al finalizar verifica tus respuestas.
No tags specified
tejido conectivo
tejido epitelial
tejido muscular
tejido nervioso
histologia
tejidos
Quiz by
carlos_lmsv7
, updated more than 1 year ago
More
Less
Created by
carlos_lmsv7
over 10 years ago
6705
2
0
Resource summary
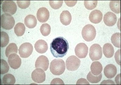
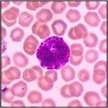
Question 1
Question
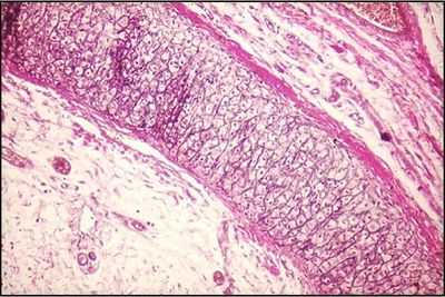
Señale el tipo de tejido:
Image:
da109e63-3b37-42b6-9df6-388c6213655a (image/jpg)
Answer
Basófilos
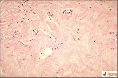
Tejido conectivo denso irregular
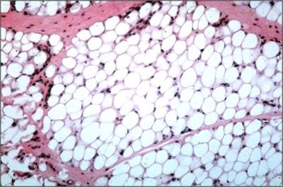
Tejido adiposo
Epitelio cúbico simple
Question 2
Question
Señale el tipo de tejido:
Image:
9032838b-e24b-4f6d-89e5-2b297ded76f9 (image/jpg)
Answer
Oligodendrocito
Eosinófilos
Basófilos
Neutrófilos
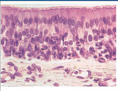
Question 3
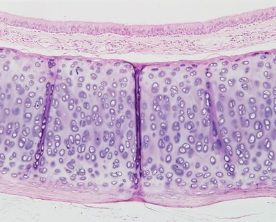
Question
Señale el tipo de tejido:
Image:
cf5ba0d7-348e-4039-9ab7-40e1a3e6733f (image/png)
Answer
Cartílago hialino
Epitelio plano estratificado no queratinizado
Epitelio plano estratificado queratinizado
Epitelio seudoestratificado
Question 4
Question
Señale el tipo de tejido:
Image:
7d73b53a-e105-4d8c-82ae-0f7d1a9e5359 (image/jpg)
Answer
Cartílago elástico
Cartílago hialino
Fibrocartílago
Tejido adiposo
Question 5
Question
Señale el tipo de tejido:
Image:
2293ca78-7add-4576-a98b-336a350102a7 (image/jpg)
Answer
Cartílago hialino
Cartílago elástico
Tejido adiposo
Fibrocartílago
Question 6
Question
Señale el tipo de tejido:
Image:
d3ce7fb6-96bf-45b9-a19a-1bde399ba500 (image/png)
Answer
Epitelio cúbico simple
Epitelio cilíndrico simple
Epitelio seudoestratificado
Epitelio plano simple
Question 7
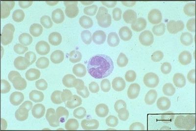
Question
Señale el tipo de tejido:
Image:
54f73089-3f73-4f71-8420-505c19ea3711 (image/jpg)
Answer
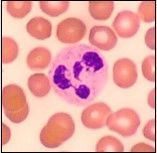
Neutrófilo
Basófilo
Eosinófilo
Linfocito
Question 8
Question
Señale el tipo de tejido:
Image:
c799d07b-d392-42c5-b606-ec3832a0ccec (image/jpg)
Answer
Tejido conectivo denso regular
Tejido conectivo denso irregular
Tejido conectivo laxo
Músculo liso
Question 9
Question
Señale el tipo de tejido:
Image:
ff4ffef4-8404-4d3f-b40d-65d6f5996ce1 (image/png)
Answer
Epitelio cilíndrico simple
Epitelio cúbico simple
Epitelio seudoestratificado
Epitelio plano simple
Question 10
Question
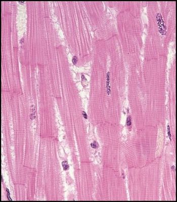
Señale el tipo de tejido:
Image:
9d6b8656-55e9-4385-a6c9-8e1908d847bd (image/jpg)
Answer
Músculo cardíaco
Músculo esquelético
Músculo liso
Tejido conectivo denso regular
Question 11
Question
Señale el tipo de tejido:
Image:
467639df-3c26-4f1f-a811-d3b3b6fedca8 (image/jpg)
Answer
Monocitos
Linfocitos
Neutrófilos
Basófilos
Question 12
Question
Señale el tipo de tejido:
Image:
770be438-4a2e-4293-8bcc-89c6c116952b (image/jpg)
Answer
Cartílago hialino
Cartílago elástico
Fibrocartílago
Músculo cardíaco
Question 13
Question
Señale el tipo de tejido:
Image:
73013b89-9674-479a-bd05-10c75cda0e4f (image/jpg)
Answer
Monocito
Linfocito
Eusinófilo
Neutrófilo
Question 14
Question
Señale el tipo de tejido:
Image:
c3881297-92c2-4619-ac8d-725d265442fe (image/png)
Answer
Epitelio cilíndrico simple
Epitelio seudoestratificado
Epitelio cúbico simple
Epitelio plano simple
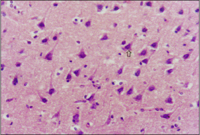
Question 15
Question
Señale el tipo de tejido:
Image:
3d7f5013-0d74-47c3-b782-4bd0ebfbb3c0 (image/png)
Answer
Cartílago hialino
Epitelio plano simple
Tejido nervioso
Cartílago elástico
Question 16
Question
Señale el tipo de tejido:
Image:
1a9b9a79-1af0-4ad5-98ea-943130c72259 (image/png)
Answer
Músculo liso
Músculo esquelético
Músculo cardíaco
Tejido conectivo denso regular
Question 17
Question
Señale el tipo de tejido:
Image:
e134301f-c0ac-4fcf-a54f-2545a7e6962a (image/jpg)
Answer
Músculo liso
Músculo esquelético
Músculo cardíaco
Tejido conectivo denso irregular
Question 18
Question
Señale el tipo de tejido:
Image:
547ecad4-d91d-4104-a229-80f9659d47ee (image/jpg)
Answer
Linfocitos
Neutrófilos
Monocitos
Basófilos
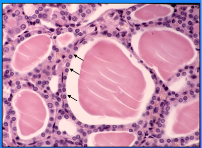
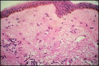
Question 19
Question
Señale el tipo de tejido:
Image:
521db429-49fc-416c-b855-ad1784d3f55c (image/png)
Answer
Epitelio seudoestratificado
Epitelio plano simple
Epitelio cilíndrico estratificado
Epitelio cúbico simple
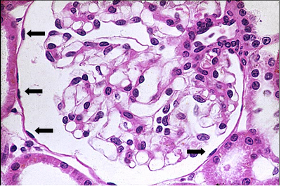
Question 20
Question
Señale el tipo de tejido:
Image:
f62e3612-4f4e-457f-b941-a8d3a2a91702 (image/jpg)
Answer
Tejido conectivo laxo
Tejido conectivo denso irregular
Tejido conectivo denso regular
Cartílago hialino
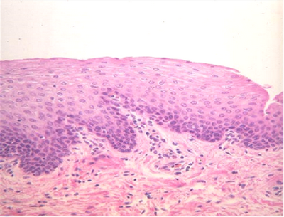
Question 21
Question
Señale el tipo de tejido:
Image:
0c026224-186b-4c93-8f9c-e3d73d3114a1 (image/png)
Answer
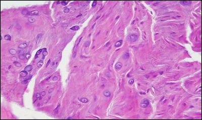
Epitelio plano estratificado queratinizado
Epitelio plano estratificado no queratinizado
Cartílago hialino
Cartílago elástico
Question 22
Question
Señale el tipo de tejido:
Image:
6febc1ac-ac49-4631-945a-1769fa4a00e4 (image/jpg)
Answer
Tejido conectivo denso regular
Tejido conectivo denso irregular
Tejido conectivo laxo
Cartílago hialino
Show full summary
Hide full summary
Want to create your own
Quizzes
for
free
with GoConqr?
Learn more
.
Similar
Tejido Conectivo (Histologia)
Lucas Abarzua
EPITELIO SIMPLE PLANO
Maria Gracia Suarez
Histo-Midterm
Guice Esmar
TEJIDO CONJUNTIVO
Ana Sakura Granados Romero
tejido nervioso
Shante Garay
TEJIDO EPITELIAL
Ana Sakura Granados Romero
3.2 TEJIDO EPITELIAL
Gonzalo Aix Caselles
Tipos de tejidos epiteliales
Silvina Garcete Carrizo
TEJIDO EPITELIAL DE REVESTIMIENTO
Braulio Alarcón
Tejido Epitelial y Conjuntivo
Sandra Martinez
HISTOLOGIA- TEJIDO EPITELIAL
lilie_nyu
Browse Library