null
US
Sign In
Sign Up for Free
Sign Up
We have detected that Javascript is not enabled in your browser. The dynamic nature of our site means that Javascript must be enabled to function properly. Please read our
terms and conditions
for more information.
Next up
Copy and Edit
You need to log in to complete this action!
Register for Free
4125601
El núcleo celular test verdadero o falso
Description
test verdadero o falso según la estructura y composición del núcleo celular
No tags specified
biologia y geologia
ciencias naturales
celula
tercero
Quiz by
catalina pino román
, updated more than 1 year ago
More
Less
Created by
catalina pino román
almost 10 years ago
3791
1
0
Resource summary
Question 1
Question
El núcleo es un orgánulo que se encuentra en las células eucariontes
Answer
True
False
Question 2
Question
Los ribosomas son grandes complejos de proteínas que atraviesan la envoltura nuclear, lo cual tienen es una doble membrana que rodean el núcleo
Answer
True
False
Question 3
Question
La siguiente imagen representa el ADN
Image:
0cb5a048-9960-4958-b3e3-333f012bd178 (image/jpeg)
Answer
True
False
Question 4
Question
La función del retículo endoplasmatico es la síntesis y trasporte de proteínas de secreción o membrana
Answer
True
False
Question 5
Question
Se compone de dos membranas , una interna y otra externa , dispuestas en paralelo una sobre otra. Estamos hablando del nucléolo
Answer
True
False
Question 6
Question
La siguiente imagen representa el nucleoplasma
Image:
01060517-8748-4a22-a7f4-eaa4f59616ff (image/png)
Answer
True
False
Question 7
Question
Medio interno semilíquido del núcleo celular. Estamos hablando del nucleoplasma
Answer
True
False
Question 8
Question
La siguiente imagen representa en nucléolo
Image:
fb1437ed-04ef-4f97-b692-73e877e3eff8 (image/png)
Answer
True
False
Question 9
Question
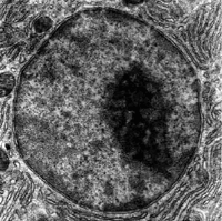
La siguiente imagen representa el núcleo celular
Image:
f25a1e74-998e-4086-99ac-8562a279f2b9 (image/jpeg)
Answer
True
False
Question 10
Question
Las células eucariontes son todas las células con un núcleo celular delimitado dentro de una doble capa lipídica , la envoltura nuclear , la cual es porosa y contiene su material hereditario, lo que seria su información genética
Answer
True
False
Show full summary
Hide full summary
Want to create your own
Quizzes
for
free
with GoConqr?
Learn more
.
Similar
Test Ciclo celular
valentina marchant
SISTEMA REPRODUCTOR
LUIS FERNANDO GUISAO RODRIGUEZ
PRUEBA DE CIENCIAS NATURALES PARA EL FORTALECIMIENTO EN GRADO NOVENO
articulacioncomercio
T7. Rocas Y Minerales
danielacero
Juego de 10 Preguntas de Ciencia
maya velasquez
TEST REPASO BIOLOGÍA CELULAR
VICTOR MANUEL VITORIA RUIZ
TEST DE ANATOMIA (MUSCULOS)
patotigre199
Partes de la célula animal y vegetal
Cami Puaque
LINEA DEL TIEMPO DE LA EVOLUCION DEL MICROSCOPIO
jesusceusodontol
Ecosistemas Tarjetas flash
aracelyrico1
Test de Ecología
Bea Trujillo
Browse Library