Test Diagnóstico a través de examen

Description

El siguiente test permite que estudiantes de medicina practiquen sus habilidades de diagnóstico médico en la cual se presentan casos médicos reales donde los estudiantes deben diagnosticar al paciente de acuerdo a una serie de alternativas
Felipe Andres Hi
Quiz by Felipe Andres Hi, updated more than 1 year ago
Felipe Andres Hi
Created by Felipe Andres Hi almost 10 years ago
109
0

Resource summary

Question 1

Question
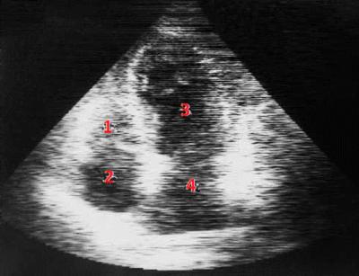
Ecocardiografía Doppler: 
Hipertrofia del septo interventricular y del ventrículo izquierdo. Identifique según los números.
Answer
  • Aurícula derecha, Ventrículo derecho, Aurícula izquierda y Ventrículo izquierdo.
  • Ventrículo derecho, Aurícula derecha, Aurícula izquierda y Ventrículo izquierdo.
  • Ventrículo derecho, Aurícula derecha, Ventrículo izquierdo y Aurícula izquierda.
  • Aurícula izquierda, Aurícula derecha, Ventrículo izquierdo y Ventrículo derecho.

Question 2

Question
Ecocardiografía Doppler: 
Hipertrofia del septo interventricular y del ventrículo izquierdo. ¿Cuál es el diagnóstico?
Answer
  • Neumotorax espontáneo con pleura visceral separada de la pleura parietal por aire el cual ocupa el potencia espacio pleural.
  • Opacidad en lóbulo medio derecho obturando el borde cardíaco derecho.
  • La Rx tórax muestra una opacidad en el lóbulo inferior derecho con broncograma aéreo sugestivo de neumonía.

Question 3

Question
Paciente asintomático. Esta fue su radiografía. ¿Cuál es el diagnóstico?
Answer
  • Neumotorax espontaneo con pleura visceral separada de la pleura parietal poraire el cual ocupa el potencial espacio pleural.
  • Hemotórax, acumulación de sangre en el espacio existente entre la pared torácica y el pulmón (la cavidad pleural).
  • Lóbulos amigos, rara anomalía del pulmón donde fisura del ácigos resulta visible por el hecho de poseer un recubrimiento pleural consistente en 4 capas, las cuales se reparten dos a cada lado.

Question 4

Question
Paciente de 70 años con anemia ferropénica, exploraciones biológicas y endoscopia digestiva alta negativas. Se presenta colonoscopia. ¿Cúal es el diagnóstico?
Answer
  • Cáncer ulcerado vegetante en recto superior, con bordes prominentes, irregulares y duros al tacto con la pinza de biopsia.
  • Colitis ulcerosa activa, afección en la cual el revestimiento del intestino grueso (colon) y el recto resultan inflamados.
  • Neoplasia en el ciego (carcinoma) cancer maligno con posibles ramificaciones en el cuerpo.
  • Enfermedad de Crohn donde el sistema inmunitario del individuo ataca su propio intestino produciendo inflamación.

Question 5

Question
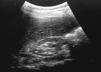
Paciente de sexo femenino, de aproximadamente unos 20 años con antecedentes de Hipertensión. Se presenta Ecografía de riñón. ¿Cuál es el diagnóstico?
Answer
  • Riñón en estado normal para un paciente con Hipertensión.
  • Una disminución del grosor y un aumento de la ecogenicidad de la cortical posiblemente causado por una insuficiencia renal crónica
  • Riñón poliquístico acompañado por un alargamiento del riñón.
  • Cancer renal.

Question 6

Question
Paciente de sexo femenino de profesión costurera, aproximadamente de unos 40 años acusa dolor en sus manos y articulaciones. Se presenta radiografía de manos. ¿Cuál es su diagnóstico?
Answer
  • Manos sanas, se recomienda reposo de las manos, evitando trabajos intensivos, aplicar hielo.
  • Osteoporosis, caracterizada por una disminución de la densidad del tejido óseo, causando fragilidad exagerada de los huesos.
  • Artropatía  que ataca tanto al cartílago como al tejido sinovial (por donde circula el líquido sinovial), endureciendo el cartílago de las manos.
  • Artrítis reumatoide, mostrando en sus características erosiones.

Question 7

Question
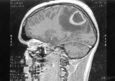
Paciente varón de 43 años. Se presenta Resonancia Magnética. ¿Cuál es su diagnóstico?
Answer
  • Absceso cerebral con acumulo de pus en el parénquima cerebral.
  • Metástasis de adenocarcinoma Reproducción o extensión de una enfermedad o de un tumor maligno de un epitelio glandular.
  • Cerebro en condiciones normales.

Question 8

Question
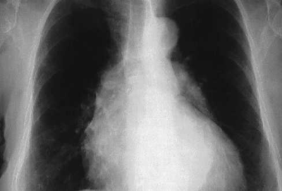
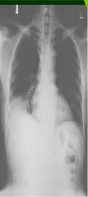
Paciente de sexo femenino, de 30 años aproximadamente, acusa antecedentes de obesidad tabaquismo sumado a una hipertensión arterial. Se presenta radiografía de corazón. ¿Cuál es su diagnóstico?
Answer
  • Un aumento del tamaño de la silueta cardíaca a expensas del ventrículo derecho y contracción aórtica.
  • Cardiopatía Hipertensiva sumado a un aumento del tamaño de la silueta cardíaca a expensas del ventrículo izquierdo y elongación aórtica.
  • Miocardiopatía restrictiva caracterizada porque el corazón se vuelve muy rígido y tiene dificultades para llenarse.
  • Miocardiopatía restrictiva. caracterizada porque el corazón se vuelve muy flexible teniendo dificultades en el bombeo de sangre.

Question 9

Question
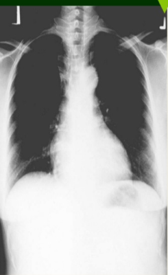
Paciente de sexo masculino de unos 60 años aproximadamente. Se presenta radiografía de tórax. ¿Cuál es su diagnóstico?
Answer
  • Tumor presente en el pulmón derecho, producido por abuso del tabaco.
  • Corazón “en zueco o en bota ", originado por un aumento del tamaño del ventrículo derecho, con elevación de la punta cardíaca.
  • Neumonía del lóbulo pulmonar derecho.
  • Neoplasia en el lóbulo pulmonar derecho.

Question 10

Question
Paciente refiere que hace aproximadamente 1 mes sufre caída de una altura aproximada de 50 cm de impacto con superficie dura, presenta dolor de gran intensidad, tipo continuo localizado en muslo derecho, sin irradiación que aumenta con la deambulación. Paciente manifiesta que primero lo llevan a un "sobador" quien le da masajes en el área afectada agudizando el cuadro motivo por el cual acude a médico particular.
Answer
  • Rotura de Rotula.
  • Rotura de Tibia.
  • Rotura de Perone.
  • Fractura de Femur.

Question 11

Question
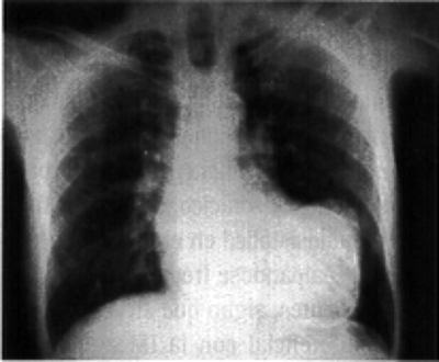
Mujer de 46 años sin antecedentes patológicos relevantes. No tiene alergia a medicamentos. Fumadora de 10 cigarros por día. Desde una semana antes de su ingreso comienza con fiebre de hasta 38º C y dolor torácico retroesternal de carácter punzante, que aumenta con la tos pero no con los movimientos y que cede con ibuprofeno. No expectoración. Pruebas complementarias: ECG: ritmo sinusal a 100 lats/min Hemograma: Leucocitos 15.39 10E3/µL, (N 89.3 %, L 4.4 %, M 4.5 %, Eo 0.7 %, B 0.2 %), Hb 11.4 g/dL, Hcto. 33.1 %, VCM 77.8 fL, Plaquetas 428 10E3/µL. Coagulación y bioquímica sin alteraciones relevantes. CPK y troponina Ic normales. La radiografía de tórax de la paciente se muestra en la figura 1. En ella lo más llamativo es la presencia de una discreta cardiomegalia. Se presenta radiografía. ¿Cuál es su diagnóstico?
Answer
  • Derrame pericárdico, es la presencia de líquido en la cavidad pericárdica o derrame pericárdico apreciandose una imagen del corazón en forma de "botella“ en la Rx.
  • Tamponamiento Cardíaco como como consecuencia de la acumulación de líquido a tensión, lo que anula el efecto de la presión negativa intratorácica sobre el llenado cardíaco y ofrece una resistencia a la expansión ventricular durante el llenado diastólico.
  • Pericarditis aguda idiopática, en la segunda radiografía aplicada se aprecia además de la cardiomegalia datos sugerentes de derrame pleural bilateral.
Show full summary Hide full summary

Similar

Anatomía cabeza
Diego Santos
Anatomía cabeza
maca.s
Definiciones CARDIOLOGÍA
Vivi Riquero
T9. Enfermedades Inflamatorias
Vivi Riquero
Fichas para oposiciones de auxiliar de enfermería
leyvamiri
Hematología - ENARM
Emilio Alonsooo
Oftalmología - ENARM
Emilio Alonsooo
Infecciones Quirúrgicas
Exero
FUNDAMENTOS DE LA EMBRIOLOGÍA.
fperezartiles
Tema 15: Características del sistema respiratorio
Marlopcar López
Alergología - Práctica para el ENARM
Emilio Alonsooo