Repaso II

Description

Repaso de preparados para el segundo parcial de Histología veterinaria
Paula Cruzans
Quiz by Paula Cruzans, updated more than 1 year ago
Paula Cruzans
Created by Paula Cruzans over 9 years ago
299
1

Resource summary

Question 1

Question
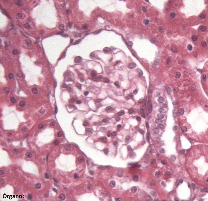
Escriba el nombre de las estructuras marcadas y del órgano (abajo a la izquierda). Nota: tenga en cuenta los acentos y las faltas de ortografía.
Answer
  • Mácula densa
  • Túbulo contorneado proximal
  • Riñón

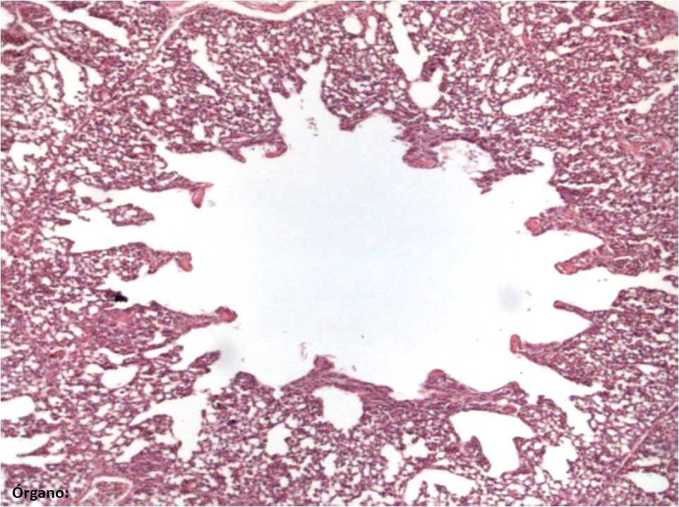
Question 2

Question
Escriba el nombre de las estructuras marcadas y del órgano (abajo a la izquierda) especificando si es de ave o mamífero (ej. molleja de ave). Nota: tenga en cuenta los acentos y las faltas de ortografía.
Answer
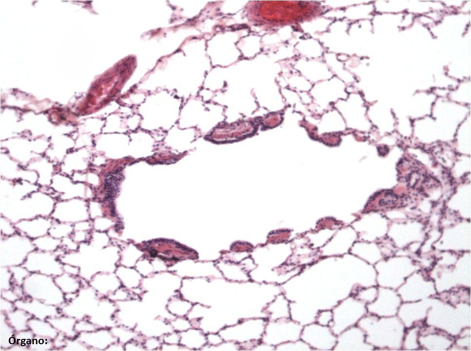
  • Pulmón de mamífero
  • Bronquiolo respiratorio
  • Saco alveolar
  • Conducto alveolar

Question 3

Question
Escriba el nombre de las estructuras marcadas (una sola palabra por cada estructura) y del órgano (abajo a la izquierda) especificando si es de ave o mamífero (ej. molleja de ave). Nota: tenga en cuenta los acentos y las faltas de ortografía.
Answer
  • Parabronquio
  • Atrio
  • Infundíbulo
  • Pulmón de ave

Question 4

Question
Escriba el nombre de las estructuras marcadas (dos palabras por cada estructura) y del órgano (abajo a la izquierda). Nota: tenga en cuenta los acentos y las faltas de ortografía.
Answer
  • Glándula submaxilar
  • Conducto intercalar
  • Acino mixto

Question 5

Question
Escriba el nombre de las estructuras marcadas (dos palabras por cada estructura) y del órgano (abajo a la izquierda). Nota: ojo con los acentos y las faltas de ortografía.
Answer
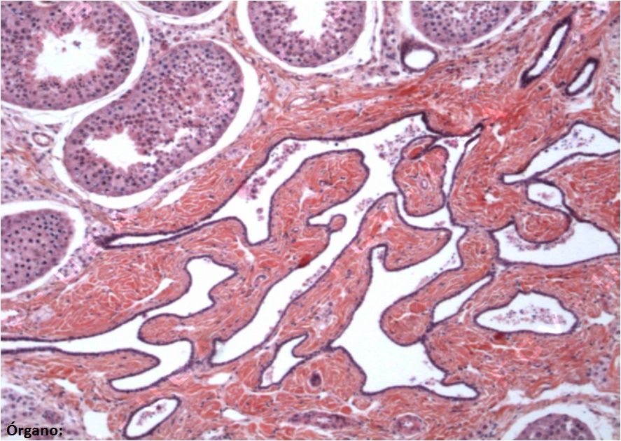
  • Testículo
  • Rete testis
  • Túbulo seminífero
  • Mediastino testicular

Question 6

Question
Escriba el nombre en singular de las dos células marcadas arriba de la foto y a la derecha del punto (incluir la palabra células en la denominación), de la sustancia acidófila (centro) y del órgano (abajo a la izquierda). Nota: tenga en cuenta los acentos y las faltas de ortografía.
Answer
  • Coloide
  • Célula parafolicular
  • Célula folicular

Question 7

Question
Escriba el nombre en singular de las células marcadas y del órgano (abajo a la izquierda). Nota: tenga en cuenta los acentos y las faltas de ortografía.
Answer
  • Célula de Sertoli
  • Espermatocito primario
  • espermatogonia
  • espermátide
  • Testículo

Question 8

Question
Escriba el nombre en singular de las células marcadas (a la derecha del punto, incluya la palabra célula) y del órgano (abajo a la izquierda). Nota: tenga en cuenta los acentos y las faltas de ortografía.
Answer
  • Célula principal
  • Célula parietal
  • Estómago

Question 9

Question
Escriba el nombre en singular de las células marcadas (a la derecha del punto, incluya la palabra célula) y del órgano (abajo a la izquierda). Nota: tenga en cuenta los acentos y las faltas de ortografía.
Answer
  • Neurona posganglionar
  • Célula glial satélite
  • Ganglio autónomo

Question 10

Question
Escriba el nombre de las estructuras marcadas y del órgano (abajo a la izquierda) especificando si es de mamífero o ave (ej. molleja de ave). Nota: tenga en cuenta los acentos y las faltas de ortografía.
Answer
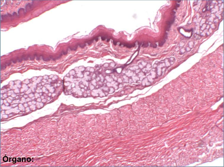
  • conducto primario
  • Glándula proventricular
  • Proventrículo de ave

Question 11

Question
Escriba el nombre de la estructura marcada (una palabra) y del órgano (abajo a la izquierda) especificando si es de mamífero o ave (ej. pulmón de mamífero) Nota: tenga en cuenta los acentos y las faltas de ortografía.
Answer
  • Molleja de ave
  • Cutícula

Question 12

Question
Escriba el nombre del órgano (abajo a la izquierda). Nota: tenga en cuenta los acentos y las faltas de ortografía.
Answer
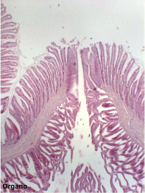
  • Esófago

Question 13

Question
Escriba el nombre del órgano (abajo a la izquierda) y de las partes (pars) del mismo que se distinguen (utilizar una sola palabra). Nota: tenga en cuenta los acentos y las faltas de ortografía.
Answer
  • Hipófisis
  • nervosa
  • intermedia
  • distalis

Question 14

Question
Escriba el nombre de las estructuras marcadas (dos palabras por cada estructura) y del órgano (abajo a la izquierda). Nota: tenga en cuenta los acentos y las faltas de ortografía.
Answer
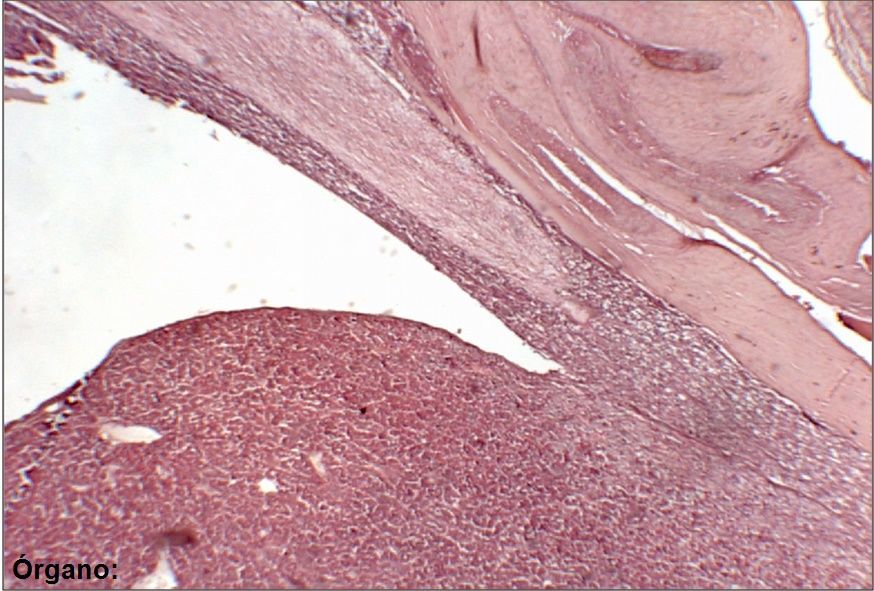
  • Conducto biliar
  • Arteria hepática
  • Vena porta
  • Hígado

Question 15

Question
Escriba el nombre de las estructuras marcadas (dos palabras por cada estructura) y del órgano (abajo a la izquierda). Nota: tenga en cuenta los acentos y las faltas de ortografía.
Answer
  • Sustancia gris
  • Sustancia blanca
  • Canal ependimario
  • Médula espinal
Show full summary Hide full summary

Similar

Test: Terapia con animales
karime.navarro33
Sistema Digestivo II
Israel García
Terminología
Jess Chiquin
Láminas de Histología
Mario Ripalda
Test de Geografía
maya velasquez
TEST REPASO BIOLOGÍA CELULAR
VICTOR MANUEL VITORIA RUIZ
Repaso de tiempos verbales en inglés
maya velasquez
Inglés - Repaso de Preposiciones
maya velasquez
Ramas y etapas de la Filosofía
maya velasquez
Diferencias entre la Química y Física
maya velasquez
MATEMÁTICAS PRIMARIA
Ulises Yo