Quiz - Semiología del sistema respiratorio

GoConqr Review

Llegó el momento de poner a prueba todo lo que sabes con este fabuloso test sobre semiología del sistema respiratorio. ¿Podrás responder todas las preguntas del cuestionario? Averígualo aquí y recuerda verificar tus resultados al finalizar.
ayudantesdocentes Cuenta Pasaporte Genérica
Quiz by ayudantesdocentes Cuenta Pasaporte Genérica, updated more than 1 year ago
ayudantesdocentes Cuenta Pasaporte Genérica
Created by ayudantesdocentes Cuenta Pasaporte Genérica about 9 years ago
27753
13

Resource summary

Question 1

Question
En una Rx de tórax, un derrame pleural masivo puede reconocerse por
Answer
  • La presencia de un nivel hidroaéreo
  • La desviación del mediastino hacia el mismo lado del derrame
  • La desviación del mediastino hacia el lado contrario al derrame
  • La presencia de un broncograma aéreo
  • Velamiento del ángulo costodiafragmático

Question 2

Question
Usted evalúa un paciente con reciente diagnóstico de asma bronquial, trae una radiografía de tórax que seguramente presenta:
Answer
  • Horizontalización de las costillas
  • Ocupación de los ángulos costofrénicos
  • Normalidad de los campos pulmonares
  • Pérdida de la trama vascular hacia los vértices

Question 3

Question
En el postoperatoria de una cirugía de cadera, una paciente de 72 años presenta un cuadro brusco disnea, taquicardia, hipotensión y cianosis. Para orientarse al diagnóstico usted debe buscar:
Answer
  • Trombosis venosa profunda
  • Frotes pericárdicos
  • Petequias
  • Dolor retroesternal

Question 4

Question
Un paciente de 55 años relata tener tos desde hace 15 años, de predominio matinal, con periodo de exacerbaciones en las que se hace mas intensa y mas productiva, dirigidamente usted debe buscar elementos clínicos y de laboratorio para fundar el diagnóstico de:
Answer
  • Enfisema pulmonar
  • Asma bronquial
  • Bronquitis crónica
  • Insuficiencia Cardiaca

Question 5

Question
Un paciente de 60 años tabáquico, refiere unos 5 años de disnea de grandes esfuerzos, sin nicturia ni edema de extremidades inferiores, ocasionalmente presenta tos. Al examen hay tórax en tonel, dirigidamente usted debe buscar elementos clínicos y de laboratorio para fundar el diagnóstico de:
Answer
  • Enfisema pulmonar
  • Asma bronquial
  • Bronquitis crónica
  • Insuficiencia Cardiaca

Question 6

Question
Una paciente con antecedentes de asma bronquial, ingresa a Urgencia con un cuadro de disnea importante, al parecer se trata de una crisis, pero se considera que debe ser hospitalizada ya que presenta signos de gravedad. ¿Cuál de los siguientes es mas ominoso (de peor pronóstico)?
Answer
  • Hipertension Arterial
  • Taquicardia
  • Sibilancias
  • Ausencia de Murmullo pulmonar

Question 7

Question
Un paciente de 24 años que es traído de urgencia tras sufrir un accidente de tránsito, acusa disnea y dolor en el hemitórax derecho. Pulso = 120, F.R. = 24 y franca abolición del murmullo pulmonar a la derecha. Al completar el examen pulmonar usted concluye que presenta un neumotórax derecho , ya que encuentra:
Answer
  • Matidez y aumento de vibraciones vocales
  • Hipersonoridad y abolición de vibraciones vocales
  • Egofonía y pectoriloquia áfona
  • Soplo tubario

Question 8

Question
Hombre de 72 años, fumador y con diagnóstico de cáncer pulmonar, presenta tos frecuente, húmeda, en absceso, bruscramente presenta un cuadro de disnea importante. Usted encuentra vibraciones vocales ausente, matidez y ausencia de murmullo pulmonar en el hemitorax derecho . ¿Qué diagnóstico plantea?
Answer
  • Condensación
  • Derrame pleural
  • Neumotorax
  • Atelectasia

Question 9

Question
Pedro de 65 años presentó un cuadro característico de neumonia y fue dado de alta, dos días despues presenta fiebre y disnea, al examen presenta matidez y disminucion del murmullo pulmonar en la base derecha, donde además las vibraciones vocales están disminuidas. ¿Qué tiene al paciente?
Answer
  • Derrame pleural como complicacion de su neumonia
  • Atelectasia como complicación de su neumonia
  • Un nuevo episodio de neumonia
  • Un neumotorax basal por rutura de un absceso

Question 10

Question
Al examinar un paciente se concluye que presenta una pleuritis, ya que encuentra
Answer
  • Abolición del murmullo pulmonar
  • Abolición de vibraciones vocales
  • Frotes pleurales
  • Abombamiento del hemitorax comprometido

Question 11

Question
Un paciente de 18 años, consulta por episodios repetidos de tos intensa, hasta asociar disnea que se presenta cada vez que hace esfuerzo, como tratar de subir escalas.Al interrogatorio dirigido refiere los mismos sintomas desde la época escolar, con menos intensidad y ademas cuando se expone al frio. ¿Diagnostico?
Answer
  • Bronquitis crónica
  • Asma
  • Bronquiolitis
  • Obstrucción laríngea

Question 12

Question
Paciente de 36 años se hospitaliza por un cuadro respiratorio de tos, expectoración, disnea y fiebre. Adopta en su cama el decubito lateral derecho. ¿de entre las siguientes cual puede explicar la posición adoptada?
Answer
  • Absceso pulmonar izquierdo vaciado a bronquio
  • Derrame pleural masivo derecho
  • Infarto pulmonar izquierdo
  • Edema pulmonar agudo

Question 13

Question
Paciente de 64 años, sexo femenino, con antecedentes de HTA, DM 2 y e IC consulta por tos. Refiere un cuadro de 6 dias de evolucion caracterizado por tos con expectoración mucopurulenta, sensación febril, y disnea. El ultimo dia se agregó dolor tipo pleurítico, EVA 6/10, en hemitórax derecho. Al examen físico destaca T 38,5°C, taquipnea, aumento de las vibraciones vocales y matidez en base pulmonar derecha, crépitos difusos en campo pulmonar derecho.
Answer
  • Bronquitis Aguda
  • Neumonía
  • Derrame Pleural
  • Tuberculosis

Question 14

Question
Imágenes nodulares de bordes imprecisos, confluentes y limitados por una cisura, le hacen pensar en:
Answer
  • neumonía
  • atelectasia
  • absceso pulmonar
  • enfisema
  • quiste hidatídico

Question 15

Question
Ante el diagnóstico de neumotórax, ud esperaría encontrar:
Answer
  • aumento de la vascularización del pulmón sano
  • despegamiento pleural ápico lateral del lado sano
  • disminución de los espacios intercostales del lado sano
  • descenso del hemidiafragma contralateral
  • ninguna de las anteriores

Question 16

Question
Cuando enfrentamos a un paciente con derrame pleural podemos encontrar los siguientes signos clínicos:
Answer
  • Disminución de espacios intercostales y aumento de vibraciones vocales
  • Respiración soplante y pectoriloquia
  • Egofonía y matidez
  • Soplo tubarico y pectoriloquia
  • Abolición del murmullo pulmonar e hipersonoridad pulmonar

Question 17

Question
¿Cuál de los siguientes signos sugiere obstrucción de la vía aérea extra torácica?
Answer
  • Estridor
  • Sibilancias monofónicas
  • Retracción intercostal
  • Espiración prolongada
  • Roncos difusos

Question 18

Question
Son signos de gravedad de una obstrucción bronquial aguda los siguientes, excepto:
Answer
  • Pulso paradójico
  • Abolición del murmullo pulmonar
  • Sibilancias y roncus fáciles de auscultar
  • Compromiso de conciencia
  • Ingurgitación yugular

Question 19

Question
Un paciente de 17 años ingresa al servicio con historia de dolor pleurítico izquierdo de aparición brusca que se agrega disnea rápidamente progresiva sin síntomas ni traumas previos. Se espera encontrar al examen del hemitorax izquierdo:
Answer
  • Aumento de las vibraciones vocales
  • Matidez a la percusión
  • Hipersonoridad a la percusión
  • Retracción inspiratoria intercostal
  • Desviación del corazón al mismo lado

Question 20

Question
Indique a que corresponde la siguiente descripción radiológica: “Campos pulmonares amplios, costillas horizontalizadas, espacios intercostales anchos, diafragma aplanado”.
Answer
  • Crisis de asma bronquial
  • Enfisema
  • Fibrosis pulmonar
  • Parálisis diafragmática
  • Insuficiencia cardiaca

Question 21

Question
Sujeto que fuma 10 paquetes/año equivale a:
Answer
  • 5 cigarrillos diarios durante 4 años.
  • 10 cigarrillos diarios durante 40 años.
  • 20 cigarrillos diarios durante 1 año.
  • 10 cigarrillos durante 20 años.
  • 2 paquetes diarios durante 20 años.

Question 22

Question
Un paciente de 75 años, fumador, consulta por compromiso del estado general, cefalea y aletargamiento. Al examen físico llama la atención un edema de cabeza, cuello, hombros y EESS distribuido en esclavina. Se debe plantear:
Answer
  • Tumor del mediastino.
  • Lesión de ganglio simpático cervical.
  • Tumor del vértice pulmonar.
  • Parálisis diafragmática.
  • Bocio endotorácico.

Question 23

Question
Indique el cuadro correspondiente a la siguiente descripción radiológica de tórax; “Campo pulmonar derecho disminuido de volumen y completamente radioopaco, hemidiafragma derecho ascendido y el mediastino desplazado hacia la derecha”.
Answer
  • Derrame pleural derecho
  • Atelectasia pulmonar derecho
  • Neumotorax derecho
  • Derrame pleural izquierdo

Question 24

Question
El examen más importante para distinguir una enfermedad pulmonar obstructiva de una restrictiva es:
Answer
  • Radiografía de Torax
  • Gases en sangre arterial
  • Espirometría
  • PPD
  • Flujometría

Question 25

Question
En un paciente con crisis asmática se espera encontrar en el examen torácico:
Answer
  • Matidez pulmonar y vibraciones vocales disminuidas
  • Aumento de la sonoridad y vibraciones vocales aumentadas
  • Matidez pulmonar y vibraciones vocales aumentadas
  • Aumento de la sonoridad y vibraciones vocales disminuidas

Question 26

Question
Paciente de 24 años alérgico a la primavera, presenta hace un año crisis recurrentes de tos y sensación de pecho apretado asociado a sibilancias. Consulta porque estos síntomas se han hecho más frecuentas e intensos en este último tiempo. Se le diagnostica:
Answer
  • Asma bronquial
  • Enfermedad pulmonar obstructiva crónica
  • Neumonía
  • Neumotorax espontaneo
  • Bronquiectasias

Question 27

Question
Paciente de 68 años fumador, 20 paquetes/año, con antecedentes de TBC pulmonar extensa hace 40 años presenta que infecciones respiratorias con frecuencia. Consulta por presentar expectoración purulenta de cantidad creciente en los últimos tres meses, actualmente una taza de té por día, no acusa fiebre pero sí compromiso del estado general y baja de peso significativa. Se debe plantear el diagnostico de:
Answer
  • Tuberculosis pulmonar activa
  • Neumonía
  • Bronquiectasias sobreinfectadas
  • Limitación crónica al flujo aéreo
  • Fibrosis pulmonar

Question 28

Question
Paciente de 55 años, ganadero, proveniente de la Araucanía. Consulta por cuadro caracterizado por tos productiva de aproximadamente 1 mes de evolución que en ocasiones se acompaña de eliminación de un “líquido amargo, con un contenido similar a los hollejos de uvas”. El presente hallazgo corresponde a:
Answer
  • Tos con expectoración purulenta
  • Hemoptisis
  • Vómica
  • Broncorrea

Question 29

Question
Dentro de las causas más frecuentes de hemoptisis se encuentran:
Answer
  • Várices esofágicas, cáncer laríngeo, tuberculosis
  • Tuberculosis ,bronquiectasias, cáncer pulmonar
  • Esófago de Barret, úlcera péptica, tromboembolismo pulmonar
  • Tromboembolismo pulmonar, bronquitis, tuberculosis

Question 30

Question
Paciente 70 años con EPOC, consulta por exacerbación de tos crónica y disnea. Al examen lsico, observa el tórax con aumento de los diámetro antero-posterior y transversal. ¿Cómo se denomina este hallazgo?
Answer
  • Pectum excavatum
  • Pectum carinatum
  • Tórax de cifoescoliosis
  • Tórax en tonel

Question 31

Question
Paciente femenina 55 años con antecedente de DM2, consulta por tos productiva, dolor torácico "de puntada" y fiebre de 5 días. A la auscultación confirma que murmullo vesicular es reemplazado por ruido laringotraqueal. ¿Cómo se denomina esta hallazgo?
Answer
  • Sibilancias
  • Roncus
  • Soplo tubario
  • Estertores húmedos

Question 32

Question
Al evaluar a un paciente con un cuadro pulmonar agudo. ¿Qué elemento al examen físico ayudaría a diferenciar una Neumonía de una atelectasia?
Answer
  • Auscultación Murmullo Vesicular
  • Percusión de Zona Afectada
  • Palpación de Vibraciones Vocales
  • Evaluación de la Expansión del Tórax

Question 33

Question
Consulta paciente al servicio de urgencia por cuadro respiratorio. Usted sospecha derrame pleural de base derecha. ¿Qué elemento del examen físico usted buscaría dirigidamente para apoyar su diagnostico?
Answer
  • Broncofonía
  • Egofonía
  • Pectoriloquia áfona
  • Abolición de transmisión de la voz

Question 34

Question
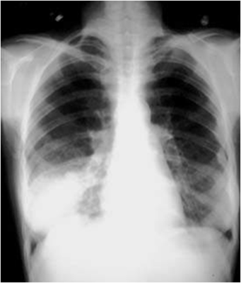
Paciente 68 años, Femenino, sin antecedentes mórbido. Consulta por cuadro de 4 días de evolución caracterizado por tos con expectoración mucopurulenta, disnea progresiva, dolor pleurítico en hemitórax derecho y sensación febril no objetivada. Al examen se evidencia matidez de región afectada, con murmullo pulmonar muy disminuido, sin otros ruidos agregados. Se toma la radiografía adjunta. ¿Qué diagnóstico propondría con estos antecedentes?
Answer
  • Derrame Pleural Derecho
  • Atelectasia de Lóbulo inferior derecho
  • Neumonía base derecha
  • Absceso pulmonar derecho

Question 35

Question
Paciente de 25 años, ectomorfo, deportista. Mientras se encuentra en un partido de baloncesto , presenta disnea de inicio súbito, asociado a dolor en hemitórax derecho con tope inspiratorio. Corresponde descartar de forma inmediata:
Answer
  • Infarto agudo al miocardio
  • Neumotórax espontáneo
  • Tromboembolismo pulmonar
  • Cáncer pulmonar

Question 36

Question
Un paciente de 23 años con antecedentes de “alergia a la primavera”, consulta por cuadro de un mes de evolución de tos seca y disnea que lo despierta durante la noche un par de veces a la semana. Actualmente está asintomático y el examen físico es normal. Si se pudiera examinar al paciente durante los períodos sintomáticos, ¿qué hallazgo apoyaría el diagnóstico de asma bronquial?
Answer
  • Tiraje
  • Tórax en tonel
  • Sibilancias
  • Respiración paradójica

Question 37

Question
Un hombre de 30 años, fumador de 5 cigarrillos al día, consulta por dificultad para respirar de inicio repentino, con tope inspiratorio. Al examen físico destaca disminución de las vibraciones vocales en el ápice derecho y murmullo pulmonar abolido en el mismo territorio. ¿Cuál es el diagnóstico más probable?
Answer
  • Empiema
  • Neumonía
  • Neumotórax
  • Derrame pleural

Question 38

Question
Acude a control una mujer de 45 años que se encuentra en tratamiento por una neumonía con antibióticos desde hace 1 semana. Refiere que se siente algo mejor pero aún persiste con dificultad para respirar. El día previo a la consulta comenzó nuevamente con sensación febril. En el examen físico se encuentra matidez en la mitad inferior del hemitórax derecho, asociada a disminución del murmullo pulmonar y vibraciones vocales abolidas. ¿Cuál es el diagnóstico más probable?
Answer
  • Absceso pulmonar
  • Neumotórax
  • Derrame pleural
  • Tromboembolismo pulmonar
Show full summary Hide full summary

Similar

T5. Derrames Pleurales
Vivi Riquero
T9. Enfermedades Inflamatorias
Vivi Riquero
Anatomía cabeza
Diego Santos
Fichas para oposiciones de auxiliar de enfermería
leyvamiri
Anatomía cabeza
maca.s
Definiciones CARDIOLOGÍA
Vivi Riquero
Oftalmología - ENARM
Emilio Alonsooo
Hematología - ENARM
Emilio Alonsooo
Infecciones Quirúrgicas
Exero
FUNDAMENTOS DE LA EMBRIOLOGÍA.
fperezartiles
Tema 15: Características del sistema respiratorio
Marlopcar López