null
US
Sign In
Sign Up for Free
Sign Up
We have detected that Javascript is not enabled in your browser. The dynamic nature of our site means that Javascript must be enabled to function properly. Please read our
terms and conditions
for more information.
Next up
Copy and Edit
You need to log in to complete this action!
Register for Free
6973181
Examen de Neurología
Description
examen
No tags specified
exam 1
exam 2
exam 3
medicina
Quiz by
DAVID Castro
, updated more than 1 year ago
More
Less
Created by
DAVID Castro
almost 9 years ago
12
0
0
Resource summary
Question 1
Question
la triada de la meningitis es?
Answer
cefalea, mialgias, perdida del estado de alerta
cefalea, rigidez de nuca , alteraciones del estado mental
perdida del estado de alerta, mareos , naúseas
rigidez de nuca, cefalea, fiebre
fiebre, alteraciones del estado de alerta, rigidez de nuca
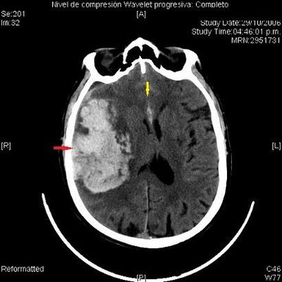
Question 2
Question
que tipo de hemorragia cerebral es?
Image:
2847673d-6e5b-442e-9cbe-77a87a9530c5 (image/jpeg)
Answer
Hemorragía subaracnoidea.
hematoma subdural.
hematoma epidural.
hemorragia intraparenquimatosa.
hematoma subgaleal
Question 3
Question
el TCE es una contraindicacion para la trombolisis en EVC isquemico?
Answer
True
False
Question 4
Question
CUAL ES EL DIAGNÓSTICO ELECTROCARDIOGRAFICO?
Image:
15444cc7-52b2-4728-aaa4-c64257c8f3d3 (image/jpeg)
Answer
FIBRILACIÓN AURICULAR
MIGRACIÓN DEL MARCAPASOS
RITMO SINUSAL
INFARTO AL MIOCARDIO
TAQUICARDIA VENTRICULAR.
Question 5
Question
SON CARACTERÍSTICAS CLÍNICAS DE MENINGITIS ?
Answer
RIGIDEZ DE NUCA
FIEBRE
MAREOS
NAUSEAS
ENCEFALOPATIA
Show full summary
Hide full summary
Want to create your own
Quizzes
for
free
with GoConqr?
Learn more
.
Similar
Definiciones CARDIOLOGÍA
Vivi Riquero
T9. Enfermedades Inflamatorias
Vivi Riquero
Anatomía cabeza
Diego Santos
Fichas para oposiciones de auxiliar de enfermería
leyvamiri
Oftalmología - ENARM
Emilio Alonsooo
Hematología - ENARM
Emilio Alonsooo
Anatomía cabeza
maca.s
Infecciones Quirúrgicas
Exero
FUNDAMENTOS DE LA EMBRIOLOGÍA.
fperezartiles
Tema 15: Características del sistema respiratorio
Marlopcar López
Alergología - Práctica para el ENARM
Emilio Alonsooo
Browse Library