PREGUNTAS HISTOLOGÍA SISTEMA DIGESTIVO

Description

Preguntas sobre histología de sistema digestivo
patricia cordova alfaro
Quiz by patricia cordova alfaro, updated more than 1 year ago
patricia cordova alfaro
Created by patricia cordova alfaro almost 9 years ago
8167
2

Resource summary

Question 1

Question
Identifique las estructuras indicadas en la imagen:
Answer
  • Conducto biliar
  • Rama de la vena porta
  • Rama de la arteria hepática
  • Vena central
  • Capilar sinusoide
  • rama de la arteria hepática
  • rama de la vena porta
  • conducto biliar
  • vena central
  • capilar sinusoide
  • rama de la vena porta
  • vena central
  • rama de la arteria hepática
  • conducto biliar
  • capilar sinusoide

Question 2

Question
Identifique las estructuras indicadas en la imagen:
Answer
  • Capilar sinusoide
  • Rama de la vena porta
  • Vena central
  • Conducto biliar
  • Rama de la arteria hepática
  • Lobulillo hepático

Question 3

Question
Indique a qué órgano corresponde esta preparación
Answer
  • Estómago
  • Hígado
  • Intestino delgado
  • Intestino grueso
  • Esófago

Question 4

Question
¿Cuál(es) de los siguientes tipos de células se encuentran en el hígado?
Answer
  • Células de Paneth
  • Células de Kupffer
  • Hepatocitos
  • Células de Ito
  • Neumocitos

Question 5

Question
De las glándulas de Brunner es correcto indicar que:
Answer
  • Secretan ácido clorhídrico
  • Forman parte de la mucosa del intestino grueso
  • Se encuentran en la submucosa del duodeno
  • Secretan mucus
  • Secretan lisozima

Question 6

Question
De las células parietales u oxínticas es correcto indicar que:
Answer
  • Se encuentran en las criptas de Lieberkün
  • Secretan ácido clorhídrico
  • Secretan pepsinógeno y lipasa gástrica
  • Secretan el factor intrínseco
  • Se encuentran en la mucosa del duodeno

Question 7

Question
El factor intrínseco es importante para:
Answer
  • Estimular la secreción ácida
  • Permitir la absorción de la vitamina A
  • Estimular la secreción de pepsina
  • Permitir la absorción de la vitamina B12
  • Todas las alternativas son correctas

Question 8

Question
Las glándulas de Brunner se ubican en la [blank_start]submucosa[blank_end] del [blank_start]duodeno[blank_end] y secretan [blank_start]mucus[blank_end].
Answer
  • submucosa
  • mucosa
  • muscular externa
  • serosa
  • duodeno
  • ileon
  • colon
  • estómago
  • esófago
  • mucus
  • pepsinógeno
  • ácido clorhídrico
  • lisozima

Question 9

Question
Indique cuál alternativa relaciona correctamente el órgano con el tipo de epitelio de la mucosa:
Answer
  • Esófago - epitelio simple plano
  • Intestino delgado - epitelio simple cilíndrico ciliado
  • Intestino delgado - epitelio pseudoestratificado cilíndrico ciliado
  • Intestino grueso - epitelio simple cilíndrico con microvellosidades
  • Estómago - epitelio simple cúbico con microvellosidades

Question 10

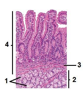
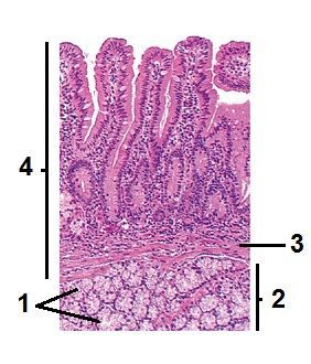
Question
Identifica las partes indicadas en la siguiente imagen
Answer
  • Epitelio
  • Lámina propia
  • Muscular de la mucosa
  • Mucosa
  • Submucosa
  • Serosa
  • Muscular externa

Question 11

Question
Indique a cuál de los siguientes órganos corresponde este corte histológico.
Answer
  • Estómago
  • Intestino grueso
  • Esófago
  • Intestino delgado
  • Faringe

Question 12

Question
Indique a qué órgano del sistema digestivo corresponde esta muestra histológica
Answer
  • Estómago
  • Esófago
  • Intestino delgado
  • Intestino grueso

Question 13

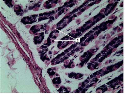
Question
La imagen corresponde a una muestra histológica de estómago, las células indicadas con el número 1 corresponde a:
Answer
  • Células principales o zimógenas
  • Células parietales u oxínticas
  • Células de Paneth
  • Célula mucosa de superficie

Question 14

Question
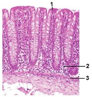
Identifique las partes indicadas en la imagen:
Answer
  • Muscular externa
  • Serosa
  • Submucosa
  • Mucosa
  • Muscular de la mucosa
  • Capa oblicua de la muscular externa
  • Capa circular de la muscular externa

Question 15

Question
La estructura indicada con el número 1 en esta imagen corresponde a:
Answer
  • Vena central
  • Triada portal
  • Rama de la vena porta
  • Conducto biliar
  • Capilar sinusoide

Question 16

Question
¿A cuál de los siguientes órganos corresponde esta muestra histológica?
Answer
  • Parótida
  • Páncreas
  • Estómago
  • Hígado
  • Tiroides

Question 17

Question
Identifique las estructuras indicadas
Answer
  • Glándulas de Brunner
  • Muscular externa
  • Submucosa
  • Muscular de la mucosa
  • Serosa
  • Mucosa

Question 18

Question
¿A cuál de los siguientes segmentos del tubo digestivo pertenece esta muestra histológica?
Answer
  • Estómago
  • Duodeno
  • Yeyuno
  • Ileon
  • Colon
Show full summary Hide full summary

Similar

PASAPALABRA  sobre  ANATOMÍA
JL Cadenas
Práctica de Biología para la Prepa 1
Raúl Fox
1. LA CÉLULA
Vivi Riquero
Examen de Repaso de Biología
Diego Santos
TEST MICROBIOLOGÍA e INMUNOLOGÍA
VICTOR MANUEL VITORIA RUIZ
Biología para la PSU
Lolo Reyes
Práctica de Biología para la Prepa 2
Raúl Fox
test del sistema nervioso central
johana elizabeth lopez ceron
Huesos del Cuerpo Humano
Diego Santos
Animales y sus Características
Diego Santos
Juego de 10 Preguntas de Ciencia
maya velasquez