null
US
Sign In
Sign Up for Free
Sign Up
We have detected that Javascript is not enabled in your browser. The dynamic nature of our site means that Javascript must be enabled to function properly. Please read our
terms and conditions
for more information.
Next up
Copy and Edit
You need to log in to complete this action!
Register for Free
7669027
MAPA CAP2
Description
Flowchart on MAPA CAP2, created by perrito cagando on 14/02/2017.
Flowchart by
perrito cagando
, updated more than 1 year ago
More
Less
Created by
perrito cagando
almost 9 years ago
31
0
0
Resource summary
Flowchart nodes
CELULAS, ORGANOS Y MICROAMBIENTES DEL SISTEMA INMUNITARIO.
CELULAS MADRE HEMATOPOYETICAS
SE CARACTERIZA POR: CAPACIDAD DE AUTORRENOVARSE Y DE DIFERENCIARSE A CUALQUIER TIPO DE CELULA.
PROGENITOR MIELOIDE
PROGENITOR LINFOIDE
1.- CELULA DENDRITICA2.- MONOCITO - MACROFAGO3.- NEUTROFILO4.- EOSINOFILO5.- BASOFILO - MASTOCITO6.- PLAQUETAS7.- ERITROCITO
1.- CELULA DENDRITICA2.- NK3.- LINFOCITO Th 4.- LINFOCITO Tc5.- LINFOCITO B
67881032-0153-481e-b992-f8d6390d0026 (image/png)
SON LOS PRIMEROS EN RESPONDER, INNATA
GRANULOCITOS
f57be7a0-b757-4d71-99d8-c13104eadf50 (image/png)
4788e904-af55-491d-a088-f0e62f632b98 (image/png)
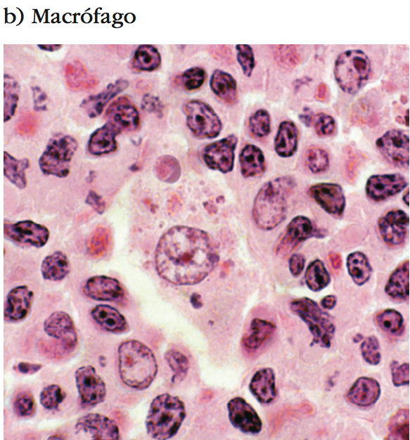
FAGOCITOS NO MOVILES, IGUAL QUE N Y B LIBERAN CITOCINAS
CELULA PRESENTADORA DE ANTIGENO "APC". SE LES LLAMAN PUENTES.
SE DIFERENCIAN A, MACROFAGOS Y CELULAS DENDRITICAS, 2 TIPOS: INFLAMATORIOS Y PATRULLA
PUEDEN SER: RESIDENTES A LARGO PLAZO EN TEJIDOS O INFLAMATORIOS
FUNCIONES: CAPTURA Y PRESENTACION DE ANTIGENOS; FAGOCITOSIS, ENDOCITOSIS MEDIADA POR RECEPTOR O PINOCITOSIS
c417dc09-7873-48fc-9da1-f5ea87ada62c (image/png)
8e32d726-4ea9-44f9-ba59-0e4c50decf1c (image/png)
7e5bf9ef-0744-4644-abba-3c34bb5aae25 (image/png)
LIBERAN HISTAMINA, RESPUESTA A HELMINTOS
LINFOCITOS
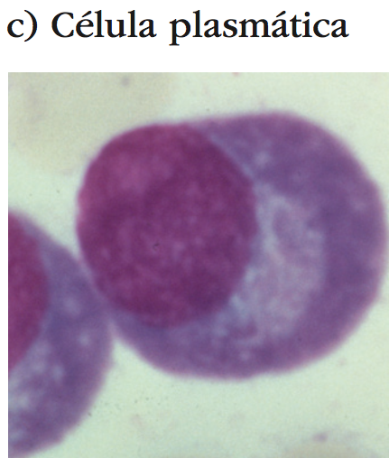
MADURAN EN LA BONE MARROW, PRESENTAN BCR SON CAPACES DE RECONOCER ANTIGENOS, AL ACTIVARSE PASA A CP Y A CELULAS DE MEMORIA
ESTAS CELULAS SE ENCARGAN DE LIBERAR LOS ANTICUERPOS PARA LA INFECCION
6a2490fb-80ab-43af-8166-22674756e02e (image/png)
2659e29e-6cc8-4d30-8599-c251fb57eda7 (image/png)
7453cc91-64b0-4d67-b517-4cb491178626 (image/png)
4eb1bc0f-bcfe-4b1b-8f83-2fb93d3f3566 (image/png)
LINFOS T
NK
Show full summary
Hide full summary
Want to create your own
Flowcharts
for
free
with GoConqr?
Learn more
.
Similar
Browse Library