null
US
Sign In
Sign Up for Free
Sign Up
We have detected that Javascript is not enabled in your browser. The dynamic nature of our site means that Javascript must be enabled to function properly. Please read our
terms and conditions
for more information.
Next up
Copy and Edit
You need to log in to complete this action!
Register for Free
8262464
Enfermedad vascular mesentérica
Description
Isquemia mesentérica
No tags specified
enarm
cirugía general
intestino delgado y colon
enarm
Flowchart by
Eder C.
, updated more than 1 year ago
More
Less
Created by
Eder C.
over 8 years ago
69
1
0
Resource summary
Flowchart nodes
ENFERMEDAD VASCULAR MESENTÉRICA
Clasificación
Arteriooclusiva
No oclusiva
Trombosis mesenterica
Forma mas común
Colitis isquémicamas prevalente
Mortalidad >50%
Factores de riesgoFibrilaciónSAAFEstados protrombóticos
Cuadro clínico
Dolor no proporcionado
SOH o STD
Choque
Diagnóstico
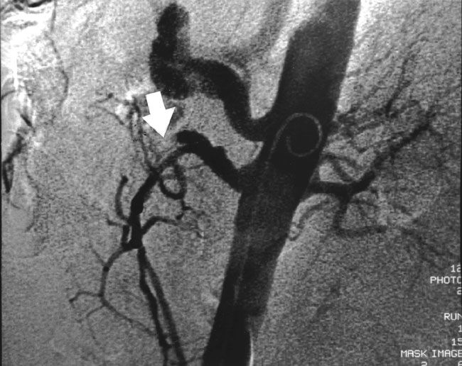
ArteriografíaGold-Standar
USG DupplexTACAngioTAC
Sx Huella digital
Tratamiento
LAPE o colonoscopia
Papaverina
Resección de segmentos necróticos
Dificulta el Dx inicial
682a6496-92c2-4ed0-bb9e-98f310230c67.gif (image/gif)
8f3fe329-5103-4828-845c-6f5e6254cfc2 (image/jpg)
Show full summary
Hide full summary
Want to create your own
Flowcharts
for
free
with GoConqr?
Learn more
.
Similar
Oftalmología - ENARM
Emilio Alonsooo
Hematología - ENARM
Emilio Alonsooo
Alergología - Práctica para el ENARM
Emilio Alonsooo
Simulacro ENARM
Libros Médicos
Crisis Hipertensivas
jasiz
Síntomas de la artritis reumatoide
valenciaarangod
Aparato circulatorio
crisferroeldeluna
enarmcurso.com - DEMO ENARM
Oscar Llamas Miranda
Hipertensión arterial
ruben32_93
Ginecología y obstetricia: Anatomia
yfigter
OSTEOARTRITIS
Jovanni Romero
Browse Library