Gastritis

Description

Estas diapositivas te hablaran de los tipos de Gastritis, patogenia y tratamiento.
lili lili
Slide Set by lili lili, updated more than 1 year ago More Less
Cristobal Cruz Torres
Created by Cristobal Cruz Torres almost 9 years ago
lili lili
Copied by lili lili over 7 years ago
0
0

Resource summary

Slide 1

    GASTRITIS
     Etimológicamente procede del griego: gaster= estómago + itis= inflamación.  INFLAMACIÓN DEL ESTÓMAGO Médicamente se define como una inflamación de la mucosa gástrica. Dicha inflamación puede ser: AGUDA : con infiltración  neutrofilica CRÓNICA: con predominio de linfocitos o células plasmáticas  

Slide 2

    Gastritis Aguda
    La gastritis aguda es un proceso inflamatorio agudo de la mucosa generalmente transitorio. La inflamación puede acompañarse de hemorragia en la mucosa superficial. La forma erosiva grave es una causa importante de hemorragia digestiva.

Slide 3

    CRITERIOS ETIOLÓGICOS
    De acuerdo a evaluaciones etiológicas, endoscópicas y patológicas referidas se está progresivamente llegando a estudiar, definir y evaluar cada vez mejor el espectro de los cuadros de gastritis, clasificándose  en tres categorías: GASTROPATÍAS: No existe componente inflamatorio pero si daño epitelial o endotelial denominándolas endoscópicamente como “gastritis” erosivas o hemorrágicas 

Slide 4

    “Gastritis “erosivas y hemorrágicas, las causas más comunes son:       Medicamentos (AINES) Estrés Gastropatía hipertensiva portal, (asociada a la presencia de Hipertensión Portal)
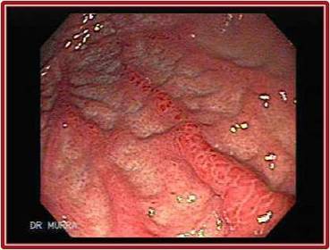
    GASTRITIS EROSIVA

Slide 5

    GASTRITIS NO EROSIVA
    Gastritis no erosivas o no especificas, en las que en algunos casos son endoscópicamente normales pero histológicamente se demuestra componente inflamatorio. En las Gastritis no erosivas o no especificas, la causa más común es  infección por Helicobacter pylori. Existen casos de gastritis de tipo autoinmune, biliar, linfocítica y las no especificas.

Slide 6

    Gastritis de tipo específico, en las que existe hallazgos histológicos específicos. Se incluyen un grupo variado de entidades o procesos como infecciones bacterianas, virales, parasitarias y micóticas, como también gastritis granulomatosas, gastritis colagenósica, gastritis eosinofílica, gastropatías hipertróficas, gastritis urémica 

Slide 7

    Patogenia
    El daño de la mucosa gástrica depende del tiempo de permanencia del factor o factores injuriantes, jugando un rol importante la capacidad que tiene la mucosa gástrica a través de la denominada barrera gástrica para resistir a estos factores o a los efectos deletéreos de sus propias secreciones. La barrera gástrica está constituida por componentes pre epiteliales, epiteliales y sub epiteliales ( La patogenia de estas lesiones es mal conocida, parte porque lo mecanismos normales para la protección de la mucosa gástricas no están claros la gastritis aguda se asocia frecuentemente a:

Slide 8

    Consumo abusivo de AINES.
    La aspirina acetila la COX-1 y la COX-2. Se piensa que COX-2 es la vía más importante de la respuesta inflamatoria puesto que COX-2 es inducible por citoquinas mientras la COX-1, no. La inhibición de la COX-2 por la aspirina deprime la producción de las prostaglandinas de la serie de E y F.   Estas prostaglandinas inducen vasodilatación y aumentan la permeabilidad tisular, que a su vez, promueve el influjo de líquidos y leucocitos. Estos fenómenos favorecen la aparición de los síntomas clásicos de la inflamación: edema, rubor, calor y dolor.  

Slide 9

    TABAQUISMO INTENSO:
    Fumar es un mal hábito que también afecta a la gastritis, ya que la nicotina que contiene tabaco incrementa la producción del  ácido clorhídrico, favoreciendo la aparición de gastritis crónica. }Al principio la gastritis se presenta como hiperacidez y ardor en el estómago, el consumo de cigarro provoca irritación y puede desarrollar una  gastritis tóxica con hipoacidez.

Slide 10

    CONSUMO EXCESIVO DE ALCOHOL
    El consumo prolongado de alcohol, causa gastritis, ya que los productos químicos presentes en el alcohol (sulfitos) destruyen la mucosa gástrica mediante la secreción de ácido clorhídrico en exceso. La ingesta de alcohol ocasional no causa gastritis.

Slide 11

    FISIOPATOLOGÍA
    Está relacionada con la enfermedad ácido-péptica ya que es una enfermedad producida por la agresión del acido clorhídrico, pepsina y sales biliares en aquellas partes del sistema digestivo que están expuestas al  jugo gástrico que resulta de un desequilibrio entre estos factores agresores y los protectores de la barrera de la mucosa. Se localiza principalmente en el duodeno y estómago.

Slide 12

    FISIOPATOLOGÍA
    Aquello da un conjunto de padecimientos del aparato digestivo, en la cual la sobreproducción  de ácido y pepsina producen inflamación habitualmente la gastritis y duodenitis

Slide 13

    FISIOPATOLOGÍA
    El fondo está formado por epitelio altamente especializado que se encarga de la secrección del ácido clorhídrico (HCl) pepsina y factor intrínseco El antro tiene en su mucosa células encargadas de la secrección de la gastrina la que es regulada por la liberación vagal de acetilcolina y el pH del antro.

Slide 14

    Manifestaciones Clínicas
    Las Gastritis pueden ser totalmente asintomáticas y en caso de existir síntomas estos no son propios, sino atribuibles a ella, como: presencia de ardor, dolor o molestias postprandiales en epigastrio, náusea, distensión abdominal, síntomas que también pueden estar presentes en dispepsia no ulcerosa, úlceras o neoplasias gástricas o duodenales y aún en el colon irritable. Además pueden manifestarse con hemorragias crónicas o agudas que podrían llegar a ser masivas con hematemesis y melena. 

Slide 15

    TRATAMIENTO
    Ante la presunción clínica de gastritis y mientras se lleve a cabo la endoscopia y confirmación histológica se indican medidas terapéuticas que alivien los síntomas del paciente, prescribiéndose una dieta sin sustancias irritantes (café, tabaco, alcohol, ) así como también drogas que contrarresten la agresión de la barrera gástrica indicando ya sea antiácidos orales, citoprotectores de la mucosa gástrica (sucralfato, bismuto, misoprostol), antagonistas de receptores H2, Inhibidores de la bomba de protones, a los que se puede añadir gastrocinéticos. 

Slide 16

    TRATAMIENTO
    Gastritis por AINES: Los síntomas pueden mejorar con el retiro, reducción o la administración de la medicación con alimentos, en aquellos pacientes en quienes persisten los síntomas se les debe someter a endoscopía diagnostica y estudio histológico para confirmar la etiología por AINES. 

Slide 17

    Tratamiento Farmacológico
    OMEPRAZOL .El omeprazol permite que el esófago cicatrice y previene más daños esofágicos. También se utiliza para tratar las afecciones en las que el estómago produce demasiado ácido MECANISMO DE ACCION }Cuando llega a la célula parietal, a través de la circulación sanguínea, esta base débil queda atrapada en los conductos secretorios. El omeprazol “protonado” se convierte en un ácido sulfénico y una sulfenamida. La sulfenamida interactúa en sitios cruciales del dominio extracelular de la H+/K+-ATPasa (bomba de protones), inhibiéndola por completo. De esta manera no pueden unirse los átomos de cloro e hidrógeno y por lo tanto se bloquea la producción de HCl ( ácido clorhídrico).

Slide 18

    DIETA VEGETARIANA Y JUGOTERAPIA (cambio de hábitos alimentarios) LIMPIEZA DE COLON,  LIMPIEZA HEPÁTICA Y DE LA VESÍCULA BILIAR (Andreas Moritz) AYURVEDA NATUROPATÍA Y FITOTERAPIA MEDICINA TRADICIONAL CHINA MEDICINA DE HAMMER  
    TRATAMIENTOS MEDICINA ALTERNATIVA

Slide 19

    GRACIAS :)
Show full summary Hide full summary

Similar

TEST TEMA 23: PRIMEROS AUXILIOS
vicengin .
NOM-045 INFECCIONES NOSOCOMIALES
Maximo Anastasio Flores Lozada
Rápido recordatorio de los puntos clave
Rafa Tintore
NEUMONÍA ADQUIRIDA EN LA COMUNIDAD (NAC)
Mary Coronel
CLIMATERIO
Mary Coronel
INSUFICIENCIA CARDÍACA
Claudia Llorca
Taller De Repaso III Control Microbiano
Jorge Esteban Jimenez Mosquera
NEUMONÍA ADQUIRIDA EN LA COMUNIDAD (NAC)
Jessica Cristina Ludeña Chamba
Tema 15. ENFERMEDADES AUTOINMUNES
Claudia Llorca