Diapositivas

Description

Diapositivas acerca del sindrome down
Elizabeth Alas
Slide Set by Elizabeth Alas , updated more than 1 year ago
Elizabeth Alas
Created by Elizabeth Alas over 10 years ago
36
0

Resource summary

Slide 2

Slide 3

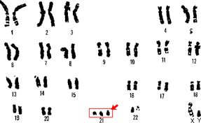
    Características
    Disminución del tono muscular Exceso de piel en la nuca Nariz achatada Un único pliegue en las palmas de las manos Manos cortas y anchas Ojos almendrados Boca pequeña

Slide 5

Slide 6

Slide 7

Slide 8

    Tratamiento
    A las personas con Sindrome Down es necesario brindarles una buena estimulación temprana; la cual ayudara a despertar y desarrollar al máximo sus capacidades. Támbien pueden ayudar los talleres ocupacionales o la terapia física.
Show full summary Hide full summary

Similar

Efecto Flynn
Betty Hurtado
COMPONENTES DEL MODELO DE GESTIÓN EDUCATIVA ESTRATEGICA
Judano Mtz
SISTEMA REPRODUCTOR
LUIS FERNANDO GUISAO RODRIGUEZ
Actividad sinónimos y antonimos
carla.vc
DIAPOSITIVAS
Jesus Ucero
Formato del fondo de diapositivas
Allan Sintuj Ramírez
Tajetas Imperialismo
Vianney Iniesta
Ciclo de vida de la game boy advance
danielgilberrio
AI5. Sistema nervioso y reproductivo
Joséph González
diapositivas de entidad y relacion
Evelyn Valdez
Dispositivos de informacion.
rogerchavezmelga7333