Fichero de Hematología

Description

Fichero de la clase de hematología. Eritropoyesis
Angie Rodriguez 9930
Slide Set by Angie Rodriguez 9930, updated more than 1 year ago
Angie Rodriguez 9930
Created by Angie Rodriguez 9930 about 10 years ago
4023
21

Resource summary

Slide 2

    PROERITROBLASTO
    Tamaño 12-20 μm. Forma Redonda u oval Núcleo Redondo a ovalado, 1-2 nucléolos, cromatina fina Citoplasma Muy basófilo  Relación núcleo: citoplasma 8:1 División Mitosis, 2 pronormoblastos hijos Organelos y/o inclusiones Aparato de Golgi visible; observación de siderosomas y penachos pequeños en el citoplasma. Localización anatómica Medula ósea Tiempo de tránsito (horas en M.O.) 12(Rodak, 2004).

Slide 3

    ERITROBLASTO BASÓFILO
    Tamaño 10-15 μm. Forma Redonda Núcleo Redondo, cromatina se condensa, 0-1 nucléolo Citoplasma Basófilo intenso  Relación núcleo: citoplasma 6:1 División Mitosis, 2 células hijas al madurar, normoblastos policromático   Organelos y/o inclusiones ­ síntesis de Hb, cantidades elevadas de ARN lo enmascaran Localización anatómica Medula ósea Tiempo de tránsito (horas en M.O.) 20(Rodak, 2004)

Slide 4

    ERITROBLASTO POLICROMÁTICO
    Tamaño 10-12 μm. Forma Redonda Núcleo Redondo, condensación de cromatina reduce tamaño de la célula Citoplasma Leve basofilia  Relación núcleo: citoplasma 4:1 División Mitosis, 2 células hijas,  normoblasto ortocromático  Organelos y/o inclusiones ­ síntesis de Hb; cantidades ¯ de ARN Localización anatómica Medula ósea Tiempo de tránsito (horas en M.O.) 30(Rodak, 2004).

Slide 5

    ERITROBLASTO ORTOCROMÁTICO
    Tamaño 8-10 μm. Forma Redonda Núcleo Redondo, picnótico y purpura. Se elimina de la célula. Citoplasma Leve acidofilia  Relación núcleo: citoplasma 1:2 Organelos y/o inclusiones Mitocondrias, RER y ribosomas son basófilos, dan un matiz azulado leve. ­ pigmento es la Hb. Localización anatómica Medula ósea Tiempo de tránsito (horas en M.O.) 48(Rodak, 2004)

Slide 6

    Tamaño 8-10 μm. Forma Redonda Núcleo No presenta Citoplasma Levemente acidófilo  Relación núcleo: citoplasma - Organelos y/o inclusiones Pigmento predominante es la Hb, tiene residuos de ARN, lo que le otorga el color. Localización anatómica Medula ósea y sangre periférica Tiempo de tránsito (horas en M.O.) 48-72, 24-48 (sangre periférica)(Rodak, 2004).
    RETICULOCITO

Slide 7

    ERITROCITO
    Tamaño 7-8 μm. Forma Disco aplanado bicóncavo   Núcleo No presenta Citoplasma  Acidófilo y más pálido en el centro Relación núcleo: citoplasma - Organelos y/o inclusiones Solo contiene hemoglobina y agua, no hay mitocondrias. Localización anatómica Sangre periférica Tiempo de tránsito (horas en M.O.) 12(Rodak, 2004).

Slide 8

Slide 9

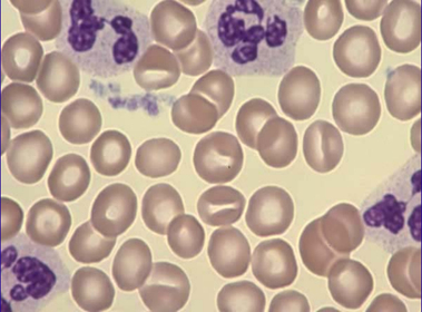
    GRANULOCITOS/POLIMORFONUCLEARES
    Caption: : Fuente: Keck Medicine of USC. (2014). Granulocito. Recuperado: http://keckmedicine.adam.com/content.aspx?productId=118&pid=5&gid=003440
    Son leucocitos que poseen un núcleo segmentado, dentro de su citoplasma contienen gránulos con diferentes proteínas que ayudan en la respuesta inmune. Son tres tipos de granulocitos, los neutrófilos, eosinófilos y basófilos.  (Rodak, 2004; Keck, 2014)

Slide 10

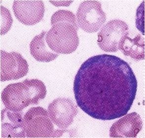
    MIEOLOBLASTO
    Tamaño 15-20 μm. Forma Redonda u oval Núcleo Cromatina fina, con nucléolo prominente Citoplasma Escaso, poca basofilia División Mitosis---promielocito Organelos y/o inclusiones Escaso retículo endoplasmático rugoso, aparato de Golgi en desarrollo   Localización anatómica Medula ósea (Rodak, 2004, Sauer, 2012)
    Caption: : Fuente: Mundo Biomedico. (2014). Maduración de los segmentados. Recuperado: http://mundobiomedico.com.br/tag/mieloblastos/

Slide 11

    PROMIELOCITO
    Caption: : Fuente: Mundo Biomedico. (2014). Maduración de los segmentados. Recuperado: http://mundobiomedico.com.br/tag/mieloblastos/
    Tamaño Es variable, puede ser mayor a 20 μm. Forma Redonda u oval Núcleo Excéntrico. Condensación leve de la cromatina, nucléolo comienza a desaparecer. Citoplasma Mayor cantidad de citoplasma, basófilo División Mitosis----mielocito Organelos y/o inclusiones Concentración de gránulos primarios en todo el citoplasma. Localización anatómica Medula ósea (Rodak, 2004; Sauer, 2012)

Slide 12

    MIELOCITO
    Caption: : Fuente: Mundo Biomedico. (2014). Maduración de los segmentados. Recuperado: http://mundobiomedico.com.br/tag/mieloblastos/
    Tamaño 13-18 μm. Forma Redonda u oval Núcleo Redondeado, cromatina condensada. No hay nucléolos. Citoplasma Disminuye la basofilia. División Mitosis----metamielocito Organelos y/o inclusiones Aparecen granulosa secundarios específicos, estos alteran la afinidad tintorial. Localización anatómica Medula ósea (Rodak, 2004; Sauer, 2012)

Slide 13

    METAMIELOCITO
    Caption: : Fuente: Mundo Biomedico. (2014). Maduración de los segmentados. Recuperado: http://mundobiomedico.com.br/tag/mieloblastos/
    Tamaño 12-15 μm. Forma Redonda u oval Núcleo Indentado, cromatina densa.   Citoplasma Disminuye la basofilia. División Ya no hay mitosis Organelos y/o inclusiones Posee ambos tipos de gránulos, primarios y secundarios. Localización anatómica Medula ósea (Rodak, 2004; Sauer, 2012).

Slide 14

    BANDA
    Tamaño 12-14 μm. Forma Redonda u oval Núcleo Forma de C o S Citoplasma Disminuye la basofilia. División Ya no hay mitosis Organelos y/o inclusiones Posee un tercer tipo de gránulos.   Localización anatómica Medula ósea y sangre periférica (Rodak, 2004; Sauer, 2012).
    Caption: : Fuente: Mundo Biomedico. (2014). Maduración de los segmentados. Recuperado: http://mundobiomedico.com.br/tag/mieloblastos/

Slide 15

    POLIMORFONUCLEAR NEUTRÓFILO
    Caption: : Fuente: Sauer, J. (2012). Granulocitos: granulopoyesis y funcionamiento leucocitario. Recuperado: http://www.hematologia.hc.edu.uy/images/stories/presentacin_granulopoyesisintroductorio.pdf
    Tamaño 9-12 μm. Forma Redonda u oval Núcleo Segmentado. De 3-5 segmentos nucleares unidos por puentes finos de cromatina. Citoplasma   División Ya no hay mitosis Organelos y/o inclusiones Posee gránulos primarios y secundarios. Localización anatómica Sangre periférica (Rodak, 2004; Sauer, 2012).

Slide 16

    POLIMORFONUCLEAR EOSINÓFILO
    Posee un núcleo bilobulado, unido con un puente fino de cromatina. Gránulos acidofilos en el citoplasma.  Sus estadios de maduracion, mieloblasto y promielocito son como los descritos anteriormente. EL mielocito eosinófilo presenta numerosos gránulos grandes y redondos que contienen una proteína cristaloide grande. Estos pasan menos de una semana en la sangre periférica, porque estos son mayormente encontrados en los tejidos donde ejercen su acción inmune.  (Rodak, 2004; Sauer, 2012). 
    Caption: : Fuente: Rodak, B. (2004). Hematología: fundamentos y aplicaciones clínicas. Argentina: Medica Panamericana

Slide 17

    POLIMORFONUCLEAR BASÓFILO
    Redondo de 10-13 μm. Núcleo 2-3 lubulaciones con puentes de cromatina fina. En el citoplasma se observan gránulos basófilos grandes e irregulares que cubren en núcleo.Posee las mismas etapas de maduración que los anteriores. Estos son los menos comunes en la sangre periférica, en promedio menos del 1%. (Rodak, 2004; Sauer, 2012). 
    Caption: : Fuente: Sauer, J. (2012). Granulocitos: granulopoyesis y funcionamiento leucocitario. Recuperado: http://www.hematologia.hc.edu.uy/images/stories/presentacin_granulopoyesisintroductorio.pdf

Slide 18

    AGRANULOCITOS/MONONUCLEARES
    Son glóbulos blancos que su núcleo no es segmentado y no poseen gránulos en su citoplasma. Los monocitos son células que al migrar a los tejidos van a cumplir con función de fagocitosis. Los linfocitos que son células especializadas principalmente en la inmunidad adquirida, pueden producir anticuerpos. Estos maduran en los tejidos linfoides, como los son el timo, ganglios linfáticos y el bazo. (Rodak, 2004). 

Slide 19

    SERIE MONOCITICA: MONOBLASTO
    Caption: : Fuente: Amaya, B. (2014). Diferenciación de las células linfociticas y monociticas. Recuperado: http://www.proasecal.com/front/index.php?option=com_content&view=article&id=492:muestra-137&catid=16:hematologia-morfologia
    Tamaño 14-20 μm. Forma Redonda  Núcleo Excéntrico. Ovoide o redondeado con muesca, cromatina fina y dispersa, nucléolos prominentes.  Citoplasma  Basófilo  División Mitosis--- promonocito  Organelos y/o inclusiones No posee gránulos  Localización anatómica Médula osea  (Rodak, 2004; Amaya, 2014).

Slide 20

    PROMONOCITO
    Caption: : Fuente: Amaya, B. (2014). Diferenciación de las células linfociticas y monociticas. Recuperado: http://www.proasecal.com/front/index.php?option=com_content&view=article&id=492:muestra-137&catid=16:hematologia-morfologia
    Tamaño 12-20 μm. Forma Redonda  Núcleo Irregular con muesacas profundas, cromatina fina y con pliegues.  Citoplasma  Irregular, basófilo  División Ya no hay mitosis Organelos y/o inclusiones Posee abundantes gránulos azurofilos finos  Localización anatómica Médula osea  (Rodak, 2004; Amaya, 2014). 

Slide 21

    MONOCITO
    Caption: : Fuente: Amaya, B. (2014). Diferenciación de las células linfociticas y monociticas. Recuperado: http://www.proasecal.com/front/index.php?option=com_content&view=article&id=492:muestra-137&catid=16:hematologia-morfologia
    Tamaño 12-18 μm. Forma Redonda  Núcleo Muy irregular forma de herradura y posee múltiples pliegues, cromatina laxa.  Citoplasma  Abundante, levemente basófilo  División Ya no hay mitosis Organelos y/o inclusiones Granulos diminutos dispersos en remolinos, que producen una apariencia turbia al citoplasma.  Localización anatómica Sangre periférica, tejidos  (Rodak, 2004; Amaya, 2014).

Slide 22

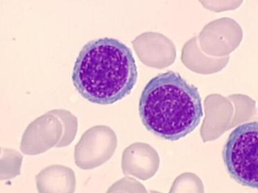
    SERIE LINFOCITICA: LINFOBLASTO
    Caption: : Fuente: Amaya, B. (2014). Diferenciación de las células linfociticas y monociticas. Recuperado: http://www.proasecal.com/front/index.php?option=com_content&view=article&id=492:muestra-137&catid=16:hematologia-morfologia
    Tamaño 10-18 μm. Forma Redonda  Núcleo Grande, cromatina muy fina, 1-2 nulcéolos prominentes, membrana nuclear densa.  Citoplasma Escaso, basofilia proporcional a la cantidad de ARN presente   División Linfoblasto--- prolinfocito  Localización anatómica  Médula osea (Rodak, 2004; Amaya, 2014).

Slide 23

    PROLINFOCITO
    Caption: : Fuente: Amaya, B. (2014). Diferenciación de las células linfociticas y monociticas. Recuperado: http://www.proasecal.com/front/index.php?option=com_content&view=article&id=492:muestra-137&catid=16:hematologia-morfologia
    Tamaño 10-12 μm. Forma Redonda u oval Núcleo Cromatina forma grumos, reducción de los nucléolos.  Citoplasma  Mayor cantidad que el anterior, pero aun escaso y basófilo. División Ya no hay mitosis Localización anatómica  Médula osea u órganos linfoides.  Localización anatómica (Rodak, 2004; Amaya, 2014). 

Slide 24

    LINFOCITOS
    Caption: : Fuente: Amaya, B. (2014). Diferenciación de las células linfociticas y monociticas. Recuperado: http://www.proasecal.com/front/index.php?option=com_content&view=article&id=492:muestra-137&catid=16:hematologia-morfologia
    Son muy variables de tamaño, por lo que se clasifican en:  L.infocito pequeño Tamaño: 7-10 μm. Núcleo: Cromatina condensada y en grumos. Puede presentar nucléolos Citoplasma: escaso, levemente basófilo Gránulos azurófilos Localización anatomica: Sangre periférica L.infocito grande Tamaño: 11-16 μm. Núcleo: Grande con cromatina grumosa y con muesca Citoplasma:Mayor cantidad, con basofilia periférica Gránulos azurofilos a veces prominentes Localización anatomica: Tejidos (Rodak, 2004; Amaya, 2014; Parham, 2006). 

Slide 25

    TROMBOPOYESIS
    Caption: : Fuente: Rodak, B. (2004). Hematología: fundamentos y aplicaciones clínicas. Argentina: Medica Panamericana
    Las plaquetas o trombocitos, son fragmentos de citoplasma provenientes de una célula llamada megacariocito. Encargadas de la formación de trombos primarios y mantener  la hemostasia.  (Rodak, 2004). 

Slide 26

    MEGACARIOBLASTO
    Tamaño 10-15 μm. Forma Redonda  Núcleo Nucleo grande, de 2 a 6 nucléolos.  Citoplasma Escaso, muy basófilo   División Endomitosis  Organelos y/o inclusiones No posee gránulos  Localización anatómica Médula osea  (Rodak, 2004). 
    Caption: : Rodak, B. (2004). Hematología: fundamentos y aplicaciones clínicas. Argentina: Medica Panamericana

Slide 27

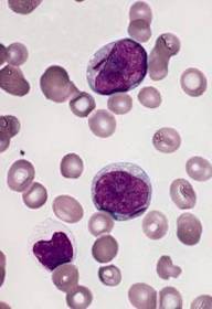
    PROMEGACARIOCITO
    Caption: : Fuente: Luca, D. (2012). Bone marrow: nonneoplastic Normal Megakaryocytes. Recuperado: http://www.pathologyoutlines.com/topic/bonemarrowmegakaryocytematuration.html
    Tamaño 80 μm. Forma Redonda irregular  Núcleo Muy grande e irregular  Citoplasma Mayor cantidad, basófilo.  División Endomitosis  Organelos y/o inclusiones Tres tipos de gránulos formados en el aparato de Golgi Localización anatómica Médula osea  (Rodak, 2004). 

Slide 28

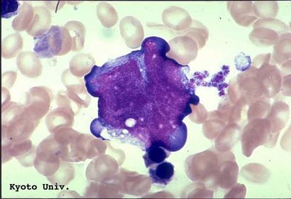
    MEGACARIOCITO
    Tamaño 30 μm. Forma Redonda  Núcleo Muy grande y lobulado  Citoplasma Abundante y basófilo   División No hay  Organelos y/o inclusiones Posee gránulos alfa, beta o densos y lisosómicos. Fenestraciones sinusoides medulares.  Localización anatómica Médula osea.  (Rodak, 2004). 
    Caption: : Fuente: Luca, D. (2012). Bone marrow: nonneoplastic Normal Megakaryocytes. Recuperado: http://www.pathologyoutlines.com/topic/bonemarrowmegakaryocytematuration.html

Slide 29

    PLAQUETAS
    Caption: : Fuente: Microscopia virtual. (s.f.). Plaquetas. Recuperado: http://griho2.udl.es/carles/medicina/sp/plaquetas.html
    Son fragmentos citoplasmaticos de 2-3 μm.  Poseen una membrana plaquetaria, un citoequeleto de filamento de actina y miosina y microtubulos. El citoplasma contiene aparato de Golgi, mitocondrias, glucógeno y tres tipos de gránulos alfa, densos y lisosómicos. (Rodak, 2004). 

Slide 30

    REFERENCIAS BIBLIOGRÁFICAS
    Amaya, B. (2014). Diferenciación de las células linfocíticas y monolíticas. Recuperado: http://www.proasecal.com/front/index.php?option=com_content&view=article&id=492:muestra-137&catid=16:hematologia-morfologia Chafuen, S. (2011). Hematopoyesis. Recuperado: http://www.nat-n-bio.santotomas.edu.bo/2011/05/conocimientos-generales-respuestas-11-a-20/ Luca, D. (2012). Bone marrow: nonneoplastic Normal Megakaryocytes. Recuperado: http://www.pathologyoutlines.com/topic/bonemarrowmegakaryocytematuration.html Microscopia virtual. (s.f.). Plaquetas. Recuperado: http://griho2.udl.es/carles/medicina/sp/plaquetas.html Mundo Biomédico. (2014). Maduración de los segmentados. Recuperado: http://mundobiomedico.com.br/tag/mieloblastos/ Perham, P. (2006). Inmunología. Argentina: Medica Panamericana Rodak, B. (2004). Hematología: fundamentos y aplicaciones clínicas. Argentina: Medica Panamericana Sauer, J. (2012). Granulocitos: granulopoyesis y funcionamiento leucocitario. Recuperado:  http://www.hematologia.hc.edu.uy/images/stories/presentacin_granulopoyesisintroductorio.pdf
Show full summary Hide full summary

Similar

Anatomía cabeza
maca.s
Anatomía cabeza
Diego Santos
FUNDAMENTOS DE LA EMBRIOLOGÍA.
fperezartiles
El Corazón
Frida Davalos
Resúmenes 3er Parcial.- Embriología, Histología y Anatomía
Mario Alberto Solis Villanueva
El Sistema Respiratorio
jruizzuniga
Primeros auxilios en casos de envenenamiento o intoxicación
María Juana Rincón
Invaginación intestinal
Fernando Reyes
primer MAPA DE SEMINARIO NUCLEAR tercer corte
ismael antonio naranjo polania
Hematología - ENARM
Emilio Alonsooo
Sufijos en medicina
Ros Leon