Sindrome de Down 3

Description

Resumen del sindrome de Down.
CKUN RAMOS
Slide Set by CKUN RAMOS, updated more than 1 year ago
CKUN RAMOS
Created by CKUN RAMOS about 10 years ago
13
0

Resource summary

Slide 1

    Sindrome de Down
    Es un trastorno genético causado por la presencia de una copia extra del cromosoma 21 (o una parte del mismo), en vez de los dos habituales, por ello se denomina también trisomía del par 21. Se caracteriza por la presencia de un grado variable de discapacidad cognitiva y unos rasgos físicos peculiares que le dan un aspecto reconocible.

Slide 2

Slide 3

    El primer informe documentado de un niño con SD se atribuye a Étienne Esquirol en 1838,6 denominándose en sus inicios “cretinismo”7 o “idiocia furfurácea”. P. Martin Duncan en 1886 describe textualmente a “una niña de cabeza pequeña, redondeada, con ojos achinados, que dejaba colgar la lengua y apenas pronunciaba unas pocas palabras”.8
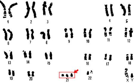
    Las células del ser humano poseen cada una en su núcleo 23 pares de cromosomas. Cada progenitor aporta a su descendencia la mitad de la información genética, en forma de un cromosoma de cada par. 22 de esos pares se denominan autosomas y el último corresponde a los cromosomas sexuales (X o Y).

Slide 4

    El síndrome de Down se produce por la aparición de un cromosoma más en el par 21 original (tres cromosomas: “trisomía” del par 21) en las células del organismo. La nomenclatura científica para ese exceso cromosómico es 47, XX,+21 o 47, XY,+21; según se trate de una mujer o de un varón, respectivamente. La mayor parte de las personas con este síndrome (95%), deben el exceso cromosómico a un error durante la segunda división meiótica (aquella por la que los gametos, óvulos o espermatozoides, pierden la mitad de sus cromosomas) llamándose a esta variante, “trisomía libre” o regular.

Slide 5

    Caracteristicas:
    Hipotonía muscular marcada (falta de fuerza en los músculos). Retraso mental. Fisonomía característica con pliegues epicánticos y abertura palpebral sesgada hacia arriba y afuera (pliegue de piel en el ángulo interno del ojo) y raíz nasal deprimida. Hipoplasia maxilar y del paladar que determina la protrusión de la lengua (el hueso maxilar de la cara está poco formado y la boca es pequeña, de modo que la lengua no cabe en ella y sale hacia afuera).
    Anomalías internas, principalmente del corazón y del sistema digestivo: defectos del tabique ventricular, conducto arterioso permeable, atresia o estenosis duodenal (estrechez o falta de desarrollo de una parte del intestino). Dedos cortos con hipoplasia de la falange media del quinto dedo (falta de desarrollo de la falange media del meñique). Dermatoglifos característicos con el surco simiesco en la palma (huella dactilar alterada con un pliegue en la palma de la mano de forma transversal, similar al del mono).
Show full summary Hide full summary

Similar

Antonio López de Santa Anna.
Aranzazú Castillo Miranda
PROPIEDAD INDUSTRIAL
Paola Ruiz
Juan Carlos Espinoza
jcrlosespinoza07
test-prueba
aranzazu_luna
FISICA 1
Sara Flores
Cortometraje
Gary Ernesto
FILOSOFIA DEL DERECHO
Didi pel
Sociología C-3
Joha Espinal