Casos para razonamiento clínico

Description

Para análisis en Informática Biomédica II
Eloisa Muñoz
Slide Set by Eloisa Muñoz, updated more than 1 year ago
Eloisa Muñoz
Created by Eloisa Muñoz about 10 years ago
56
0

Resource summary

Slide 1

    Paciente masculino de 28 años, fumador, que llega a urgencias y se queja de cuadro abdominal de inicio súbito, el cual comenzó 3 días después de su visita a la playa de Casitas, Veracruz. Refiere diarrea acuosa, deshidratación, mareo, estupor y vómitos frecuentes. Las heces presentan motas de mucosidad y no son sanguinolentas. Su novia menciona que durante el viaje comieron sólo comida "típica" de las playas, y él pidió ostras con limón poco antes de regresar. Comenta que, en su última visita médica, su médico tratante le diagnosticó gastritis "causada por un bichito", pero que no recuerda el nombre.
    Caso clínico 1

Slide 2

    Caso clínico 2
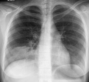
    Paciente femenina de 20 años, estudiante de primer año de medicina en época de exámenes de diciembre, la cual refiere cuadro de inicio brusco, caracterizado por escalofríos, fiebre de 40°, debilidad, tos productiva y purulenta, esputo sanguinolento, "dolor en la espalda" el cual es punzante y aumenta al respirar o toser.Comenta que había tenido una "infección de garganta" unos dos días antes de comenzar con el cuadro, con tos productiva y secreción transparente, rinorrea hialina y malestar general.EF: estertores basales, taquicardia, polipnea Rx tórax: infiltrados en lóbulo inferior izquierdo
    Caption: : Radiografía de tórax de la paciente
Show full summary Hide full summary

Similar

PRINCIPALES FUENTES DE INFORMACIÓN
Roxana Hdz
PRÁCTICA 5: INFECCIONES DE VÍAS RESPIRATORIAS
Ketzalzin Meza Aupart
Práctica No.4 : Cultivo de Flora Bacteriana de Piel
Ketzalzin Meza Aupart
Mycoplasma
Pablo Arturo Sada
Ecuación de Starling
Aura Moreno
Incertidumbre y probabilidad en Medicina
Ketzalzin Meza Aupart
Protistas superiores Eucariotas
Elvira De León
Personajes históricos en la microbiología
Will A
Mycobacterium test
Jhon Kevin Fuent