DENTICIÓN TEMPORAL

Description

CARACTERÍSTICAS Y ASPECTOS DE LA DENTICIÓN TEMPORAL
kamila.17-12
Slide Set by kamila.17-12, updated more than 1 year ago
kamila.17-12
Created by kamila.17-12 over 9 years ago
444
0

Resource summary

Slide 1

    DENTICIÓN TEMPORAL
    Los dientes temporales o dientes de leche, cumplen importantes funciones para el normal crecimiento y desarrollo del niño, por lo que deben ser vigilados y tratados como si de la dentición permanente se tratara.

Slide 2

    DESARROLLO - DENTICIÓN TEMPORAL
    Los dientes temporales empiezan a formarse ya a las 6 o 7 semanas de vida intrauterina, se van desarrollando dentro de los huesos maxilares y normalmente empiezan a hacer erupción en la boca del niño alrededor de los 6 meses de edad.Generalmente, a los 3 años de edad los 20 dientes temporales han hecho su erupción. Cada diente debe salir a una determinada edad, aunque variaciones de 6 meses a 1 año en la fecha de aparición pueden considerarse completamente normales.

Slide 3

Slide 4

    Cuando se prevé que la erupción del dientes definitivo va a tardar tiempo, se debe colocar un mantenedor de espacio que permitirá que los dientes no se junten, impidiendo la erupción del permanente. Estos tratamientos se pueden aplicar sea cual sea la causa de la pérdida dentaria prematura.
    Caption: : MANTENEDOR DE ESPACIO

Slide 5

    CUIDADO Y CONTROL DE LOS DIENTES
     Es IMPORTANTE que el niño habitué desde pequeño a mantener un cuidado adecuado de su boca mediante costumbres dietéticas, higiénicas, etc., adquiridas en casa, y mediante la visita periódica al dentista.

Slide 6

    ERUPCIÓN DENTAL
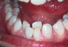
    La erupción dental es un proceso fisiológico, por el cual el dientes se desplaza desde su posición inicial en los maxilares hasta su posición en boca.Este procedimiento se repite dos veces en todas las personas, la primera con los dientes temporales ( a partir de los 6 a los 3 años) y la segunda con los dientes permanentes ( a partir de los 6 años). 
    Caption: : ERUPCIÓN DE LOS DIENTES TEMPORALES

Slide 7

    FUNCIONES FISIOLÓGICAS
    ACCIÓN MASTICATORIA ESTABLECIMIENTO DE UNA LÍNEA Y PLANO DE OCLUSIÓN  MANTENIMIENTO DE LA DIMENSIÓN VERTICAL INICIACIÓN DE LA FONACIÓN MANTENIMIENTO DEL ESPACIO PARA LA CORRECTA ERUPCIÓN DE LOS DIENTES PERMANENTES

Slide 8

    FUNCIONES BIOLÓGICAS
    RELACIÓN DE PROXIMIDAD CON LOS PERMANENTES ACTUACIÓN EN EL PROCESO DE ERUPCIÓN DE LOS PERMANENTES ACCIÓN ESTIMULANTE EN EL CRECIMIENTO DE LOS MAXILARES
Show full summary Hide full summary

Similar

FUNDAMENTOS DE REDES DE COMPUTADORAS
anhita
Test: "La computadora y sus partes"
Dayana Quiros R
Abreviaciones comunes en programación web
Diego Santos
Seguridad en la red
Diego Santos
Excel Básico-Intermedio
Diego Santos
Evolución de la Informática
Diego Santos
Introducción a la Ingeniería de Software
David Pacheco Ji
Conceptos básicos de redes
ARISAI DARIO BARRAGAN LOPEZ
La ingenieria de requerimientos
Sergio Abdiel He
TECNOLOGÍA TAREA
Denisse Alcalá P
Navegadores de Internet
M Siller