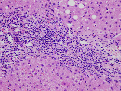
29. Hombre ADVP de 32 años de edad que acude a urgencias por fractura de peroné. La exploración física general rutinaria muestra hepatomegalia. La analítica muestra una ligera disminución de las proteinas totales y la albúmina con un incremento de los valores de ALT y AST. Los anticuerpos séricos anti-VHC son pósitivos así como los los antiVHBs. Tras el tratamiento de su fractura se le realiza biopsia hepática percutánea que se muestra en la imagen. ¿Cuál es el diagnóstico más probable?
Select one of the following: