Vida media de un eritrocito
120 dias
20 dias
30 dias
60 dias
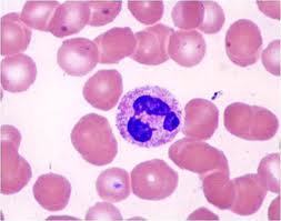
Identifique la célula de la imagen
Neutrofilo
Linfocito
Eosinofilo
Monocito
Cual de estas imágenes no pertenece a los componentes sanguineos
Valores de referencia de la Hemoglobina
12 - 16 mg/ dl mujeres
14- 18 mg/ dl Hombres
20-25 mg/ dl mujeres
15-16 mg/ dl hombres
composición del glóbulo rojo
Dos cadenas Beta
Dos cadenas Alfa
Hierro y un grupo Hemo
Plasma
La hemoglobina esta contenida en los globulos rojos
VSG significa velocidad de sedimentacion del glóbulo blanco
El tratamiento por elección para la anemia ferropenica es el Sufato Ferroso
La disminución en las tres lineas celulares se denomina Pancitopenia
Las plaquetas las encontramos en el plasma