|
|
Created by Luis Fernando Quirino Yescas
over 7 years ago
|
|
Paciente mujer con disuria, poliuria, pujo y tenesmo vesical
Paciente hombre con fiebre, tenesmo vesical, disuria, poliuria, urgencia y dolor en fosa renal
Paciente hospitalizado con fiebre, náuseas, dolor abdominal, diarrea con moco y mal oliente, tiene antecedente de antibioticoterapia
Paciente que acude a consulta con la lesión que se muestra en imagen
Paciente que acude a consulta con la lesión que se muestra en imagen
Paciente que acude con cefalea frontal, pesadez, rinorrea y fiebre. Con descarga retronasal
Paciente de 13 años de edad que acude por fiebre y odinofagia. Se encuentran adenopatias cervicales.
Paciente de 65 años de edad quien acude por presentar fiebre, malestar general y tos con expectoración purulenta.
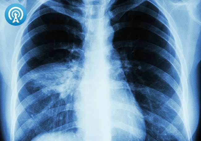
Paciente en VMI con 7 días de evolución, fiebre de 38° y Rx tórax con opacidad lobular.
Paciente de 15 años de edad con fiebre, náuseas, vómito en proyectil, cefalea, con signos meníngeos positivos
Paciente masculino de 20 años de edad con presencia de fiebre, soplo cardíaco de nueva aparición, con BRIHH, hemorragias en astilla, antecedente de procedimiento dental no especificado
Paciente masculino de 65 años de edad con antecedente de recambio valvular, quien acude por fiebre, soplo cardíaco de nueva aparición, con BRIHH, hemorragias en astilla.
Paciente masculino quien acude a consulta por presentar disuria y secreción uretral verdosa
Paciente femenino de 23 años de edad quien acude por prurito vaginal, secreción gris, olor a aminas.
Paciente femenino de 45 años de edad con antecedente de DM2, acude por prurito vaginal con secreción blanquecina espesa.
Paciente femenino de 25 años de edad quien acude por prurito vaginal, dispareunia, secreción amarillenta.
Hide known cards