|
Created by newsha
over 10 years ago
|
|
A. Name
B. Location (organ?)
C. [[[Name cavities, in pic, lined by epithelium]]]
D. general function
E. two other locations
A. name
B. location (organ?)
C. ONE other location
D. TWO FUNCTIONS
E. [[[3 types of active transport in this epithelium's function]]]
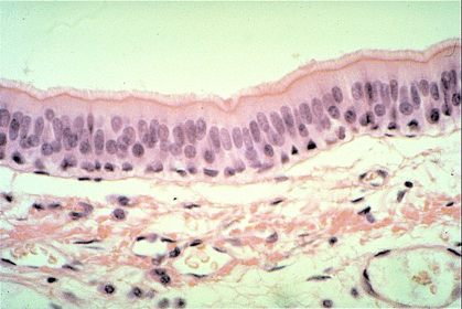
A. name
B. 3 locations
C. two functions
D. what are the opaque, lighter appearing cells?
E. [[[how is the apical surface modified? (name + function)]]]
F. type of protein incorporated in above structure? (E)
****
A. name
B. TWO LOCATIONS
C. structures @ apical surface
D. protein component of above structure (C)
E. TWO FUNCTIONS
F. [[[how can this be distinguished from other simple epi.?]]]
****
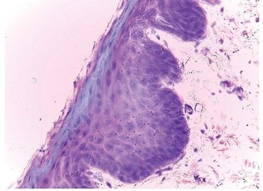
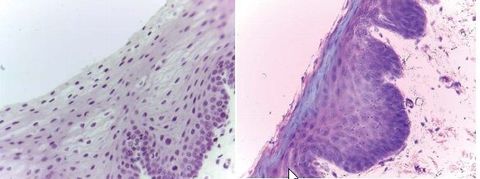
A. name
B. simple or stratified?
C. TWO LOCATIONS
D. function
E. junction types between cells and function of these junctions
F. [[[how can this be distinguished from other multilayered epithelia?]]]
****
A. name
B. two locations
C. membrane type at base of all epithelium
D. function
E. [[[is this epi water tight? how do you know?]]]
****
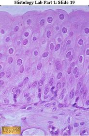
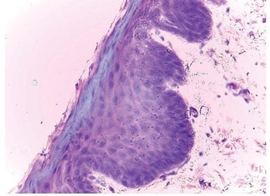
A. name
B. Bottom Layer
C. [[[what cellular junction accounts for the spiny looking cells in the second layer?]]]
D. protein that makes this epi water tight?
E. clear area between living and dead cell layers
****
A. name
B. [[[top dead layer]]]
C. last living layer
D. pigment cells in bottom layer
E. name of individual cells
****
A. name
B. location
C. function
D. [[[general term for a cavity or opening against the apical surface]]]