|
Created by mattpalmer789
over 10 years ago
|
|
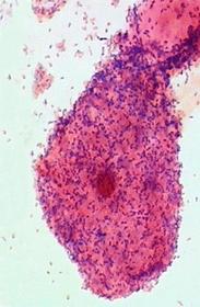
Which of the following best describes this Gram stain of a sputum specimen?
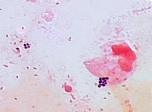
This cell is most likely a...
The Gram-positive objects in this image are most likely...
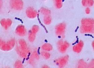
This image of a low power field from a sputum Gram stain suggests that...
This Gram stain of a male urethral discharge is suggestive of...
This Gram stain of a female genital specimen is...
This image of a Gram stain of a cerebrospinal fluid specimen taken from a two year old child with a fever is best described as ...?
This image contains the following…
A) White blood cell(s)
B) Epithelial cell(s)
C) Gram-positive bacteria
D) All of the above
This image of a low power field from a sputum Gram stain suggests that...
Which of the following best describes this field from a urine Gram stain?
Which of the following best describes this image of a wound Gram stain?
What can be determined from the results of this Gram stain from a stool specimen?
A) The patient has proctitis.
B) The patient has food poisoning.
C) The patient has an ulcer.
D) The patient is infected with a parasite.
E) None of the above
This cerebrospinal fluid specimen from a 33 year old male suggests which of the following?
This cell is most likely a ...
Which of the following best describes this image from a sputum Gram stain?
Which of the following best describes this image of a joint fluid Gram stain?
This image was most likely taken from what specimen site?
Which of the following best describes this image of a Gram stained urine specimen?
Which of the following best describes this image of a wound Gram stain?
Which of the following best describes this image of a Gram stained wound specimen?