PROERITROBLASTO
ERITROBLASTO BASÓFILO
ERITROBLASTO POLICROMÁTICO
ERITROBLASTO ORTOCROMÁTICO
RETICULOCITO
ERITROCITO
MIELOBLASTO
PROMIELOCITO
MIELOCITO
METAMIELOCITO
BANDA O CAYADO
NEUTRÓFILO
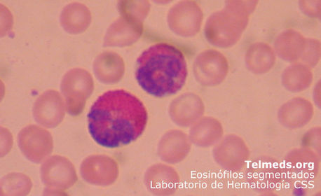
EOSINÓFILO
BASÓFILO
MONOBLASTO
PROMONOCITO
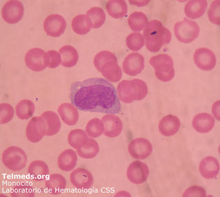
MONOCITO
LINFOBLASTO
PROLINFOCITO
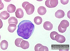
LINFOCITO
MEGACARIOBLASTO
PROMEGACARIOCITO
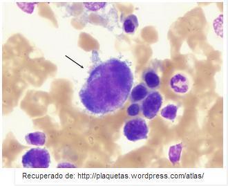
MEGACARIOCITO
PAQUETAS
ANEMIA NORMOCÍTICA NORMOCRÓMICA
ANEMIA MICROCÍTICA HIPOCRÓMICA
ANEMIA MACROCÍTICA NORMOCRÓMICA
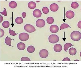
ANEMIA HEMOLÍTICA
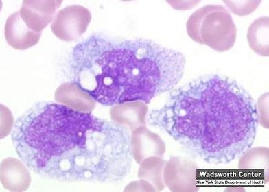
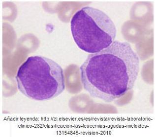
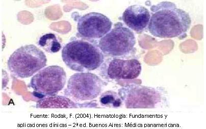
LEUCEMIA MIELOIDE AGUDA
LEUCEMIA MIELOIDE CRÓNICA
LEUCEMIA LINFOIDE AGUDA
LEUCEMIA LINFOIDE CRÓNICA
REFERENCIAS
-Ross, M. (2008). Histología: texto y atlas a color con biología celular y molecular. Buenos Aires: Médica panamericana.
- Manascero, A. (2003). Hematología herramienta para el diagnóstico: atlas de morfología celular, alteraciones y enfermedades relacionadas. Colombia: CEJA.
- Rodak, F. (2004). Hematología: Fundamentos y aplicaciones clínicas – 2ª ed. Buenos Aires: Médica panamericana.