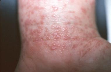
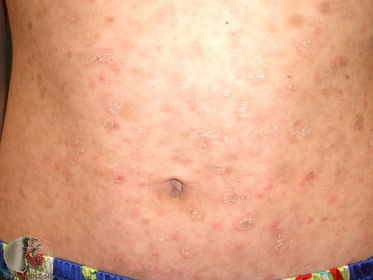
Chicken Pox vs. PLEVA Mucosal involvement = ?
Chicken Pox vs. PLEVA NO mucosal involvement = ?
Chicken Pox vs. PLEVA Lasts 2 weeks = ?
Chicken Pox vs. PLEVA Lasts 9-12 months = ?
Left = ? Right = ?