Select from the dropdown lists to complete the text.
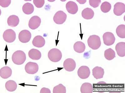
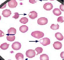
Platelet Count can be found by first scanning ( 10, 5, 50, 100 ) fields to find the average number/hpf. The normal range is between ( 8-10, 0-3, 1-5, 10-12 ) platelets/hpf. After the average is determined you multiply by ( 20,000, 20, 200, 2,000 ). If your results are less than 100,000 /uL your patient may have ( thrombocytopenia, hypopenia, platelet mass deficiency, vWD ).