Revalida - 2014
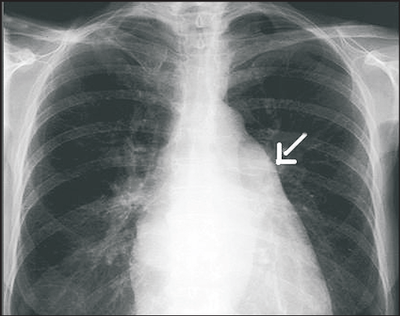
Uma mulher, com 76 anos de idade, apresenta antecedentes de hipertensão arterial, dislipidemia e obesidade, e faz uso de enalapril - 20 mg/dia e sinvastatina - 20 mg/dia. A paciente deu entrada no Pronto-Socorro com quadro de dor abdominal de início súbito há cerca de sete horas, de forte intensidade, em região epigástrica, com irradiação para o dorso, sem relação com a alimentação e acompanhada por náuseas e vômitos. Refere haver leve melhora da dor com a inclinação do corpo para frente. Na admissão hospitalar estava consciente, orientada, anictérica, com palidez cutâneo-mucosa. Temperatura axilar = 36 ºC, pressão arterial = 100 × 60 mmHg, frequência cardíaca = 105 bpm, frequência respiratória = 18 irpm, índice de massa corporal = 34,2 kg/m2 (Valor de referência = até 30 kg/m2 ). As auscultas cardíaca e pulmonar não demonstraram alterações. Abdome obeso, muito doloroso à palpação superficial e profunda em epigástrio, sem massas ou organomegalias palpáveis. Ruídos hidroaéreos ausentes. Não havia edema de membros inferiores. Os exames laboratoriais iniciais revelaram: Leucócitos = 14.500/mm3 (Valor de referência: 4.500 - 11.000/mm3 ), com 84% de segmentados, 0% de eosinófilos, 10% de linfócitos); hemoglobina = 13,0 g/dL (Valor de referência: 12-16 g/dL); hematócrito = 39% (Valor de referência: 36%- 46%); plaquetas = 231.000/mm3 (Valor de referência: 150.000-350.000/mm3 ); glicemia = 106 mg/dL (Valor de referência: 80-100 mg/dL); ureia = 70 mg/dL (Valor de referência: 20-35 mg/dL); Creatinina = 1,2 mg/dL (Valor de referência: 0,8-1,2 mg/dL); amilase = 2560 U/L (Valor de referência: 4-400 U/L); AST = 26 U/L (Valor de referência: <35 U/L); ALT = 31 U/L (Valor de referência: < 35 U/L); bilirrubina total = 1,5 mg/dL (Valor de referência: 0,3 - 1,2 mg/dL); bilirrubina direta = 0,4 mg/dL (Valor de referência: < 0,2 mg/dL); bilirrubina indireta = 0,8 mg/dL (Valor de referência: <1,0 mg/dL); LDH = 200 U/L (Valor de referência: 135-214 U/L). Considerando o diagnóstico da paciente, assinale a alternativa que contém critérios clínicos e/ou laboratoriais de maior gravidade e pior prognóstico e que sugerem a necessidade de internação em Unidade de Tratamento Intensivo.
Select one of the following: