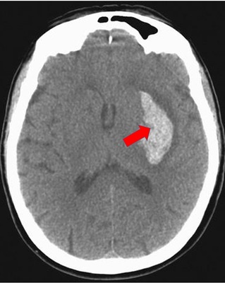
En la siguiente imagen de su libro de texto se nos muestra un ejemplo de Hemorragia por hipertensión, Mediante un TAC sin medio de contraste a través de los ganglios basales, que indica la presencia de un hematoma que afecta el putamen izquierdo, el individuo es casi seguro que presento hemiparesia derecha de inicio y evolución rápidos.
Select one of the following: