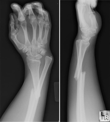
¿Cuantos Huesos Tiene La Mano Y La Muñeca Humana?
27
26
30
18
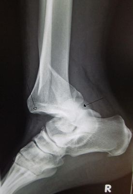
¿Es Una Fractura?
¿Que Tipo De Patología Consideras Que Es?
Esquince
Fractura
Luxación
Hernia Discal
Sistema Respiratorio. Selecciona La Opción Correcta:
Sistema Digestivo. Escribe El Nombre De La Parte Marcada En La Imagen:
Sistema Muscular. Selecciona Las Respuestas Correctas:
Sistema óseo. Escribe el nombre correspondiente.