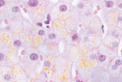
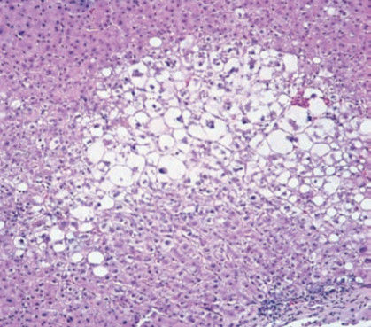
A 62-year-old man is brought to the emergency room in a
disoriented state. Physical examination reveals jaundice,
splenomegaly, and ascites. Serum levels of ALT, AST, alkaline
phosphatase, and bilirubin are all elevated. A liver biopsy
demonstrates alcoholic hepatitis with Mallory bodies. These
cytoplasmic structures are composed of interwoven bundles
of which of the following proteins?
Select one of the following: