¿Cual de estas afirmaciones no es cierta en lo referente al material genético de las células procariotas?
Pueden contener plásmidos, que proporcionan información genética adicional.
Su material genético se concentra en una zona denominada nucleoide.
No poseen cromosomas
No presenta compartimentación celular, por lo que el ADN está libre en el citoplasma.
Las histonas...
Son proteínas globulares que forman parte de la membrana nuclear.
Son proteínas globulares que mantienen la estructura del ADN regulando su nivel de compactación.
Son proteínas fibrilares que actúan como almacén de aminoácidos para la síntesis de proteinas ribosómicas.
Son proteínas ribosómicas.
Las proteínas ribosómicas...
Se sintetizan en el nucleolo.
Se importan del citoplasma hacia el nucleolo.
Se ensamblan con el ARNm sintetizado en el nucleolo para formar subunidades ribosómicas.
Son las histonas y se sintetizan en el retícolo endoplasmático rugoso.
Si un carácter X es recesivo para los machos y dominante para las hembras...
Un macho con el genotipo Xx para ese carácter lo mostrará en su fenotipo.
Un macho con genotipo homocigótico recesivo para ese carácter lo mostrará en su fenotipo.
Una hembra con genotipo xx para ese carácter lo mostrará en su fenotipo.
Será imposible que un macho muestre ese carácter en su fenotipo.
¿ Qué es un cariograma?
Una representación gráfica del conjunto de los cromosomas mitóticos de una célula eucariótica.
Una representación gráfica de la disposición de un determinado gen en un cromosoma.
Una representación gráfica del código genético.
Una representación gráfica de los cromosomas mitóticos de una célula eucariótica, tomando solamente uno de cada pareja de homólogos.
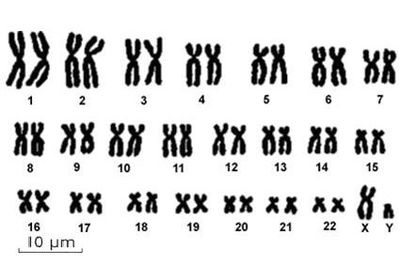
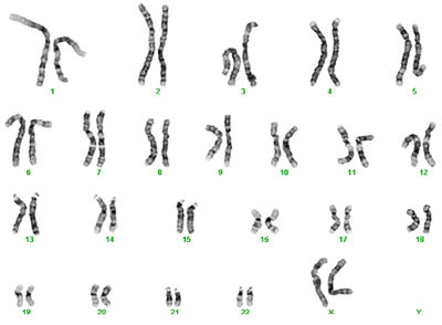
Determina cual de las siguientes imágenes representa un cariograma de un individuo masculino de la especie humana.
Opción 1
Opción 2
Opción 3
Opción 4
¿Cual de las siguientes moléculas no forma parte de la estructura general de un ribonucleótido ?
Ácido fosfórico
Ribosa
Base nitrogenada
Desoxirribosa
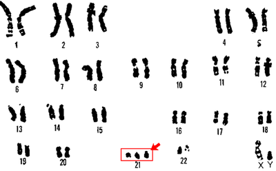
¿Que anomalía humana padece el individuo al que se le ha realizado el cariograma aquí mostrado?
Trisomía 13: Síndrome de Patau
Trisomia 18: Síndrome de Down
Síndrome del duplo Y
Trisomía 13: Síndrome de Down
El término que define la mutación que ha sufrido el cromosoma representado se denomina delección.
Las mutaciones representadas en este esquema son...
Euploidias
Aneuploidias
Génicas
Cromosómicas
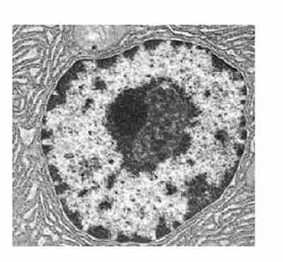
¿Que estructuras celulares se observan en esta imagen tomada con microscopio electrónico?
Ribosomas
Núcleo
Retículo endoplasmático
Nucleolo
Nucleoide
Membrana nuclear
Cual de las siguientes afirmaciones sobre el corpúsculo de Barr es incorrecta:
En humanos, solo puede apreciarse en células de individuos masculinos.
En humanos, solo puede apreciarse en células de individuos femeninos.
En humanos, es fruto de una aneuploidía.
En humanos nunca aparece.
El daltonismo...
Es una enfermedad recesiva ligada al cromosoma X, por lo que no existen hombres daltónicos.
Es una enfermedad dominante ligada al cromosoma Y, por lo que solo hay hombres daltónicos.
Es una enfermedad recesiva ligada al cromosoma X, por lo que, en caso de portar el alelo del daltonismo, pueden existir mujeres enfermas y portadoras, pero los hombres solo pueden ser enfermos.
Es una enfermedad dominante ligada al cromosoma X, por lo que toda la población humana es daltónica.
La secuencia AUA AAG CCU ...
Codificaría la misma secuencia de aminoácidos en todos los organismos, puesto que el código genético es universal.
Codificaría un péptido diferente en cada especie, puesto que el código genético es propio de cada una de ellas.
No codificaría ningún péptido, dado que no contiene timina.
Se correspondería con la secuencia de ADN: TAT TTC GGT
La electroforesis en gel...
Separa los fragmentos de ADN según su tamaño y peso molecular.
Separa los fragmentos de ADN según su composición.
Separa los fragmentos de ADN según su procedencia.
Separa los fragmentos de ADN según su carga eléctrica.
¿Cual es la función del ARNm?
Forma parte de los ribosomas donde se lleva a cabo la síntesis de proteínas.
Codifica la información genética de un individuo mediante la secuencia de desoxirribonucleótidos que lo componen.
Actúa como transmisor de la información genética desde el ADN del núcleo hasta los ribosomas.
Regula el proceso de replicación.
Selecciona las mutaciones génicas
Sustitución
Duplicación
Inversión
Monoploidia
Desfasamiento
Delcción
¿Que es un PCR?
Un procedimiento mediante el que se consiguen millones de copias de una secuencia génica determinada en poco tiempo.
Un procedimiento mediante el que se inserta una secuencia concreta en un plásmido bacteriano.
Un procedimiento mediante el que un virus introduce su genoma en el cromosoma circular de una bacteria.
Un procedimiento mediante el que se inserta, artificialmente, un plásmido, en una bacteria.
¿En que proceso participa la enzima helicasa? ¿Que función lleva a cabo?
Participa en el proceso de traducción, uniendo el ARNm al ribosoma que va a traducir la secuencia.
Participa en el proceso de replicación, insertando los fragmentos de Okazaki en los puntos necesarios.
Participa en el proceso de replicación, separando las dos hebras de ADN para permitir que actúen el resto de enzimas.
Participa en el proceso de transcripción, extrayendo los intrones del ARNm inmaduro.
Determina cual de las siguientes proteínas no participa en el proceso de replicación.
Proteínas SSB
ADN polimerasas
ATPasa
ARN polimerasas
Señale las afirmaciones verdaderas sobre el ARNm
Se sintetiza a partir de un fragmento de una de las hebras del ADN
Dado que las células procariotas no tienen núcleo delimitado, no necesitan ARNm.
Se sintetizan en el proceso de transcripción, en el que los ribonucleótidos que deberían ser de guanina se sustituyen por ribonucleótidos de uracilo.
No contiene timina.
El ARNm eucariótico sufre un proceso de maduración antes de poder ser funcional.
No contiene uracilo.
En las células eucariotas, solamente se mantiene activo un 70% del material genético total.
¿Como se llama el porcentaje de cromatina que pasa de forma funcional a forma compacta durante el periodo de diferenciación celular?
Eucromatina
Heterocromatina facultativa
Heterocromatina constitutiva
Corpúsculo de Barr
¿Cual de estos organismos es el modelo biológico por excelencia en genética?
Drosophila melanogaster
Mus musculus
Homo sapiens
Ceratitis capitata
La determinación cromosómica del sexo se realiza o bien mediante sistema XY o bien mediante sistema ZW.
¿Durante la maduración de que molécula se genera una denomina cola de poli A en el extremo final de dicha molécula? ¿Que función realiza esta cola de poli A ?
Durante la maduración del ADN. La cola de poli A facilita la compactación de los cromosomas.
Durante la maduración del ARNr. La cola de poli A permita la unión de este ARN a las proteínas ribosómicas.
Durante la maduración del ARNm. La cola de poli A protege a la molécula de parte de la degradación que podría sufrir en el citosol, por lo que alarga su tiempo de vida.
Durante la maduración del ARNt. La cola de poli A funciona como nexo de unión entre estas moléculas y los aminoácidos que recogen.
Todas las células de un organismo contienen exactamente la misma información genética.
Identifica que células pueden contener variaciones de algún tipo en la información genética que contienen.
Eritrocitos
Limfocitos
Neuronas
Osteocitos
Espermatozoides
Adipocitos
En un organismo eucariota pluricelular para el que n=4, identifica el número de cromosomas y cromátidas que tendrá una célula que nace por meiosis.
4 cromosomas. 4 cromátidas.
8 cromosomas. 16 cromátidas.
4 cromosomas. 8 cromátidas
2 cromosomas. 2 cromátidas
La leyes que rigen la herencia biológica fueron propuestas por...
Gregor Mendel
Charles Darwin
Watson y Crick
Rosalind Franklin
¿ Cual de los siguientes caracteres presenta una herencia del tipo poligénica?
Tono de piel (humanos)
Grupo sanguíneo (humanos)
Color de ojos (humanos)
Textura de la semilla (plantas de guisantes)
¿Cual de los siguientes caracteres presenta una herencia del tipo polialélica?
Color de las semillas (plantas de guisantes)
¿Que nombre recibe la proteína que se encarga de eliminar las tensiones producidas por la separación de la hebras de ADN en el proceso de replicación?
Topoisomerasa
ADNligasa
ARN polimerasa
Catalasa
La secuencia AUC AUG ACA ...
Pertenece a una hebra de ADN
Pertenece a una hebra de ARNm
Pertenece a una proteína
Pertenece a una molécula de ARNt
Si una determinada secuencia de ADN presenta en un composición un 30% de timina; ¿ cuanta proporción de citosina contendrá?
30%
20%
10%
45%
Qué es una molécula de ADN recombinante?
Un plásmido obtenido mediante ingeniería genética que contiene un fragmento de ADN de un organismo que se pretende introducir en una bacteria.
Una proteína que, una vez introducida artificialmente en una bacteria, modifica por completo su genoma.
Una molécula de ADN que se extrae de la célula que lo contiene y se modifica mediante ingeniería genética.
Una molécula de ADN que se origina durante el proceso de meiosis.
La transcripción inversa...
Puede ser llevada a cabo por el virus del SIDA.
Necesita de la enzima transcriptasa inversa.
Puede ser llevada a cabo por todas las células somáticas del organismo.
Parte de una molécula de ARN para sintetizar una doble cadena de ADN.
Es una técnica de ingeniería genética.
Es llevada a cabo por los retrovirus.
¿En que sentido se transcribe el ADN en ARNm?
En sentido 3' --> 5', por lo que los nucleótidos de disponen en sentido 5'-->3'
En sentido 5' -->3', por lo que los nucleótidos se disponen en sentido 3'--> 5'
En sentido 3' --> 5', por lo que los nucleótidos de disponen en sentido 3'-->5'
En sentido 5' -->3', por lo que los nucleótidos se disponen en sentido 5'--> 3'
Una célula somática de un individuo (no necesariamente humano) pluricelular sano puede contener:
23 cromosomas
24 cromosomas
25 Cromosomas
Todas son correctas
¿En que orden actúan las enzimas que corrigen errores postreplicativos?
Exonucleasa>endonucleasa>polimerasa>ligasa
Endonucleasa>exonucleasa>polimerasa>ligasa
Exonucleasa>polimerasa>endonucleasa>ligasa
Endonucleasa>exonucleasa>ligasa>polimerasa
Identifica cual de los siguientes nombres no se corresponde con un gen perteneciente al modelo del operón:
Gen operador
Gen promotor
Gen estructural
Gen regulador
Gen inversor
Se dice que el código genético es degenerado en el sentido matemático de la palabra porqué existen más combinaciones de bases posibles que aminoácidos codificados, por lo que cada aminoácido puede estar codificado por más de un codón diferente.
El modelo del operón regula la transcripción en todos los tipos de células.
Determina cuales de estos organismos poseen un sistema de determinación del sexo no cromosómico.
Xiphophorus
Bonellia Viridis
Ciertos reptiles
Ciertas aves
La reproducción asexual es más beneficiosa para el organismo que la posee que la sexual.
¿En que organismo se basó Mendel a la hora de realizar sus experimentos?
En las moscas del vinagre
En las plantas de guisantes
En las palmeras
En las mariposas monarca
En cuanto al color de ojos en humanos...
El alelo azul es dominante sobre el marrón.
El alelo marrón es recesivo sobre el azul.
El alelo marron es dominante sobre el azúl.
Los alelos azul y marrón son codominantes.
El ARNt se une a los aminoácido por...
el anticodón.
el grupo carboxilo.
el grupo amino
la cola de poli A
Todas las combinaciones posibles de bases nitrogenadas de código genético codifican aminoácidos.
El síndrome de Down...
Es consecuencia de una trisomia en el cromosoma 21
Es consecuencia de una monosomia en el cromosoma 21
Es consecuencia de una trisomia en el cromosoma 18
Es consecuencia de una delección en el cromosoma 18