Granulocitos

Description

Anormalidades de los granulocitos
Cathy  Fuentes
Flashcards by Cathy Fuentes, updated more than 1 year ago
Cathy  Fuentes
Created by Cathy Fuentes about 11 years ago
268
0

Resource summary

Question Answer
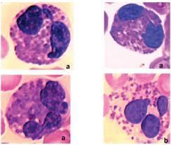
1-Alteraciones cualitativas de los neutrofilos: 1.1 Granulaciones toxicas: Son gránulos basofilos mas oscuros que lo normal y se observan durante el transcurso de infecciones severas y estadios tóxicos. Imagen recuperada de: http://flickrhivemind.net/User/dione1986/Timeline Vacuolas toxicas : Se observan en el citoplasma de los neutrofilos durante infecciones severas y estados tóxicos. Imagen recuperada de: http://www.scielo.org.ar/scielo.php?pid=S0325-29572009000400013&script=sci_arttext
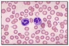
1.3 Cuerpos de Dohle: Son áreas teñidas de azul en el citoplasma de los polimorfonucleares neutrofilos y se encuentran en infecciones, especialmente en neumonias. (Villatoro, 2004). Imagen Recuperada de:http://www.gechem.net/php/index.php?option=com_kunena&Itemid=56&func=view&catid=10&id=2088 1.4 Polisegmentacion: Son neutrofilos con 5 o mas lobulaciones. Se observa en las anemias por deficiencia de vitamina B-12 y ácido folico. (Garcia,2004). Imagen Recuperada de http://rotacionpatologiaclinica.blogspot.com/2010/02/caso-clinico.html
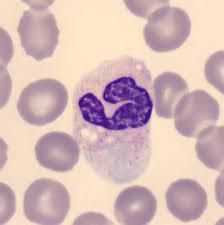
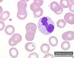
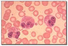
OTRAS ANORMALIDADES EN NEUTROFILOS 1.5 Desviación a la izquierda: Aumento de formas inmaduras dentro de los neutrofilos, puede observarse en infecciones e intoxicaciones. (Rodak, 2004). Imagen Recuperada de: http://quimicaclinicauv.blogspot.com/2006/10/desviacin-la-izquierda-de-leucocitos.html 1.6 a la derecha: Corresponde a la hipersegmentacion nuclear, ocurre en anemia perniciosa, leucemias mieloides afecciones hepáticas y hipersegmentacion constitucional hereditaria. (Rodak, 2004). Imagen Recuperada de: http://quimicaclinicauv.blogspot.com/2006/10/desviacin-laderecha-de-leucocitos.html
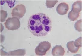
EOSINOFILOS 1.1 Eosinofilia. Es el aumento anormal de los eosinofilos y puede relacionarse en caso de infecciones parasitarias, reacciones alergicas, enfermedades cutaneas o neoplasias. (Rodak,2004). Imagen recuperada de: http://www.mancia.org/foro/casos-clinicos/21837-clinica-caso-raro-dificultad-pte-masculino-38a-2.html BASOFILOS: 1.1 Basofilia: Un amento en el numero de basofilos en la sangre periferica puede deberse a una leucemia. (Rodak, 2004). Imagen Recuperada de: http://www.conganat.org/linfo.tortosa/conf/cap1/iconogr3.htm
Referencias Bibliográficas -Garcia, C., (2004). Manual técnico superior de laboratorio de análisis clinico. España: Editorial MAD. -Rodak, B., (2004). Hematologia: Fundamentos y aplicaciones clínicas. Buenos Aires: Editorial Medica Panamericana. - Villatoro. L., (2004). Obtención de muestras sanguíneas de calidad analítica. España: Editorial Medica Panamericana
Show full summary Hide full summary

Similar

Examen 2: Células del sistema inmune
Ester Biescas
LEUCOCITOS - ELISEO - GRUPO 401503_32
Geidy Manquillo
Granulocitopoyesis
Steban Alejandro Vaca Ortiz
Leucocitos
Ester Biescas
LEUCOCITOS - ELISEO - GRUPO 401503_32
Monse Martinez
Granulocitopoyesis
Steban Alejandro Vaca Ortiz
Granulocitopoyesis
Steban Alejandro Vaca Ortiz