NÚCLEOS BASALES

Description

Los núcleos basales (ganglios basales) y sus conexiones.
Uriel Galvez
Flashcards by Uriel Galvez, updated more than 1 year ago More Less
Ivan Medina
Created by Ivan Medina almost 8 years ago
Uriel Galvez
Copied by Uriel Galvez over 5 years ago
39
1

Resource summary

Question Answer
Los ganglios basales o núcleos basales ¿Qué son? ¿Qué papel desempeñan? Conjunto de masas de sustancia gris situadas dentro de cada hemisferio cerebral. Desempeñan un papel importante en el control de la postura y del movimiento.
Cuerpo estriado ¿Dónde se encuentra? ¿Qué divide en núcleos caudado y lenticular? ¿Cuál es su función? Está situado por fuera del tálamo. La cápsula interna (banda de fibras nerviosas) divide en núcleo caudado y núcleo lenticular. Su función está relacionada con el movimiento muscular.
¿Qué es el neoestriado o estriado? El núcleo caudado y el putamen juntos, pues la cabeza del núcleo caudado se continúa por debajo con el putamen del núcleo lenticular.
Puntos importantes del NÚCLEO CAUDADO del cuerpo estriado.... --> El núcleo caudado es una gran masa en forma de C de sustancia gris. --> La cabeza junto con el putamen constituyen el neoestriado. --> El cuerpo del núcleo caudado forma parte del piso del cuerpo del ventrículo lateral. --> La cola termina anteriormente en el núcleo amigdalino.
Situado en el lóbulo temporal cerca del uncus. Se considera parte del sist. límbico. NÚCLEO AMIGDALINO Puede influir en la respuesta del organismo a los cambios ambientales. Por ejemplo, en la sensación de miedo (frec. cardíaca, presión, color de piel, frec. respiratoria).
Las neuronas de (1) ______ son dopaminérgicas e inhibidoras con conexiones en el cuerpo estriado. Las neuronas de (2) _____ son glutaminérgicas y excitadoras con conexiones en el globo pálido y la sustancia negra. 1.- LA SUSTANCIA NEGRA 2.- LOS NÚCLEOS SUBTALÁMICOS
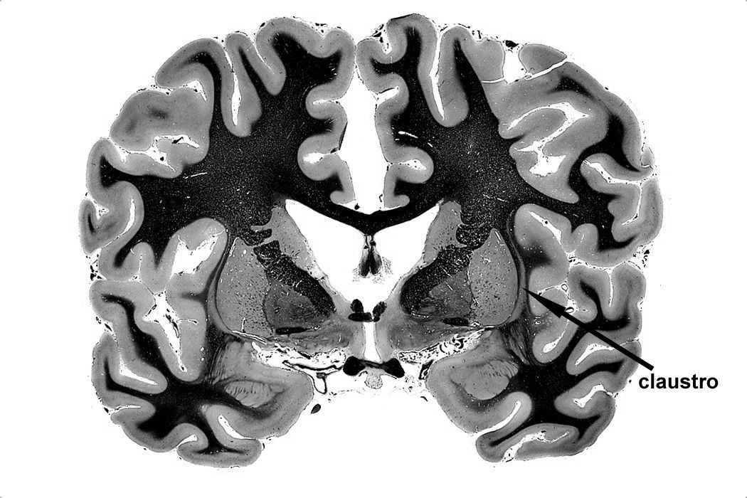
Es una fina capa de sustancia gris que está separada de la superficie lateral del núcleo lenticular por la cápsula externa.. CLAUSTRO Lateral al claustro se encuentra la sustancia blanca subcortical de la ínsula.
Forma el principal lugar a partir del cual los estímulos de salida abandonan los núcleos basales. EL GLOBO PÁLIDO
Su neurotransmisor es el glutamato FIBRAS AFERENTES Corteza -> núcleo caudado + putamen neoestriado
Núcleos intralaminares del tálamo -> núcleo caudado + putamen FIBRAS TALAMOESTRIADAS
Su neurotransmisor es la dopamina Se considera que estas fibras tienen función inhibidora FIBRAS NIGROESTRIADAS Neuronas de sustancia negra -> núcleo caudado + putamen
Su neurotransmisor es la serotonina Se considera que estas fibras tienen función inhibidora FIBRAS ESTRIADAS DEL TALLO CEREBRAL Tallo -> núcleo caudado + putamen
Son las fibras eferentes del cuerpo estriado ESTRIATOPALIDALES --> GABA ESTRIATONÍGRICAS --> GABA/Acetilcolina/ sustancia P
Son las fibras aferentes del cuerpo estriado CORTICOESTRIADAS -> Glutamato TALAMOESTRIADAS NIGROESTRIADAS -> Dopamina ESTRIADAS DEL TALLO CEREBRAL -> Serotonina
Fibra aferente del globo pálido que tienen GABA como neurotransmisor FIBRAS ESTRIATOPALIDALES Pasan desde el núcleo caudado y el putamen hasta el globo pálido
LAS FIBRAS ESTRIADOPALIDALES SON... Fibras eferentes en las conexiones del cuerpo estriado Fibras aferentes en las conexiones del globo pálido
SON LAS FIBRAS PALIDOFUGALES Asa lenticular -> núcleos talámicos Fascículo lenticular -> subtálamo Palidotegmentarias -> teg. cau. del mesencéfalo Palidosubtalámicas -> núcleos subtalámicos
Funciones de los ganglios basales... LA INFORMACIÓN SE INTEGRA DENTRO DEL. .... CUERPO ESTRIADO
Los núcleos basales tienen como función... Controlar movimientos musculares al influir en la corteza cerebral y ayudan en la regulación del movimiento voluntario y al aprendizaje de las habilidades motoras.
Show full summary Hide full summary

Similar

Anatomía cabeza
Diego Santos
Anatomía cabeza
maca.s
Articulaciones y Músculos
Paola Mendoza
Aparato CIRCULATORIO
JL Cadenas
Definiciones CARDIOLOGÍA
Vivi Riquero
T9. Enfermedades Inflamatorias
Vivi Riquero
Fichas para oposiciones de auxiliar de enfermería
leyvamiri
Oftalmología - ENARM
Emilio Alonsooo
Hematología - ENARM
Emilio Alonsooo
Aparato CIRCULATORIO - De Mapa Mental
JL Cadenas
Infecciones Quirúrgicas
Exero