PARCIAL HEMATOLOGIA ESPECIAL

Description

Biología Flashcards on PARCIAL HEMATOLOGIA ESPECIAL, created by ANA MARIA ARANGO FORERO on 24/03/2021.
ANA MARIA ARANGO FORERO
Flashcards by ANA MARIA ARANGO FORERO, updated more than 1 year ago
ANA MARIA ARANGO FORERO
Created by ANA MARIA ARANGO FORERO over 4 years ago
14
0

Resource summary

Question Answer
QUE INCLUYEN LAS CONDICIONES ANALITICAS TIPO DE MUESTRA (toma menos a 2 horas, EDTA, en capilar veras agregados plaquetarios) PACIENTE (edad, los niños tienen mayor cantidad de linfocitos, raza, medicamentos, estres) eritromicina (neutrofilia) dipirona (neutropenia) penicilinicos (eosinoinofilia)
TEMPERATURAS DE INCUBACION DE LA MUESTRA 2 HORAS A 37ºC 4 HORAS A 4ºC
ASPECTOS A VALORAR EN OBSERVACION DE FSP EN 10X 1.VALORACION: GENERAL 2. DISTRIBUCION: VER SI HAY FENOMENO DE ROULEAUX (INFLAMACION, INFECCION O MIELOMA) O AGLUTINACION (SE DEBE INCUBAR A 37º PARA VER SI SON AGLUTININAS) 3. AGREGADOS PLAQUETARIOS 4. EVALUACION PRESUNTIVA: PLASMOCITOS O BLASTOS
POSIBLES CAUSAS DE LEUCOCITOSIS INFECCION INFLAMACION NEOPLASIAS
POSIBLES CAUSAS DE NEUTROPENIA DESTRUCCION PERIFERICA NEOPLASIA. DROGA CITOTOXICA
QUE EVALUAMOS EN LOS GLOBULOS ROJOS (FSP) 1. HIPO O POLICROMATOFILIA 2. ANISOCITOSIS 3. ANISOCITOSIS (tamaño) 4. POIQUILOCITOSIS (forma) 5. INCLUSIONES 6. % NORMOBLASTOS 7. FENOMENO DE ROULEAUX
QUE EVALUAMOS EN LOS GLOBULOS BLANCOS (FSP) 1. normalidad en numero y forma 2. recuento diferencial 3. cuerpor de dohle, vacuolas, hiposegmentacion, hipogranulacion, granulaciones citotoxicas
QUE EVALUAMOS EN LAS PLAQUETAS (FSP) 1. normalidad en numero y forma 2. macroplaquetas, plaquetas gigantes, micromegacariocito, plaqueta hipogranular 3. agregados plaquetarios
CAMPO IDEAL SERIE ROJA GR APENAS TOCANDOSE
TIPOS DE ALTRERACIONES DE LA SERIE ROJA COLOR TAMAÑO FORMA INCLUSIONES
ALTERACIONES DE COLOR EN GLOBULOS ROJOS HIPOCROMIA: deficiencia de hemoglobina, anemia ferropenica, anemia sederoblastica, talasemia e infeccion POLICROMATOFILIA: material ribosomico, anemia hemolitica
ALTERACIONES EN TAMAÑO DE LOS GLOBULOS ROJOS ANISOCITOSIS: volumen del VCM menor a 80Fl, HB anormal, anemia ferropenia, sideroblastica o talasemia MACROCITOSIS: VCM mayor a 100Fl anemia megaloblastica, aplasica, ingesta de alcohol o enfermedad hepatica
CAUSAS DE ALTERACION EN LAS FORMAS DE GLOBULOS ROJOS 1. ERITROPOYESIS ANORMAL (EXTRINSECA): hemoglobinopatias, defectos de membrana, defectos enzimaticos 2. DEFECTO EXTRINSECO (DESPUES DE LA FORMACION): toxinas, drogas, calor o accidentes
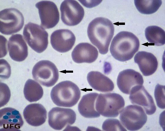
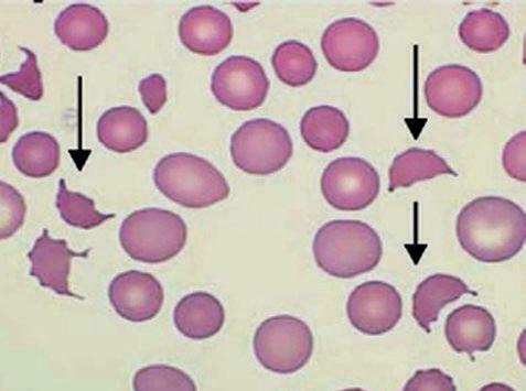
ESFEROCITO esfera densa esquistocitosis hereditaria anemia hemolitica adquirida lesiones quimicas anemias inmunologicas
CELULAS DE BURR (4 CELULAS) Esquistocito equinocito queratocito acantocito
ESQUISTOCITO celula roja lesionada perdida de Hb en deformacion anemia diseritropoyetica o talasemia anemia hemolitica adquirida (valvula cardiaca)
QUERATOCITO 1 o 2 pares de espiculas por daño mecanico o esplenectomia
EQUINOCITO espiculas cortas y equidistantes muestra mal almacenada exanguinotransfusion en bebe insuficiencia renal cronica hepatopatias
ACANTOCITO espiculas de diversas longitudes enfermedades hepaticas alcoholcas post esplenectomia
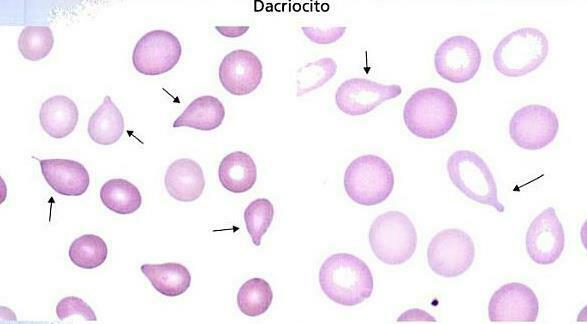
GLOBULOS ROJOS CRENADOS (6 CELULAS) LEPTOCITOS CODOCITOS ESTOMATOCITOS DACRIOCITOS DREPANOCITOS ELIPTOCITOS
LEPTOCITO deficiencia de hierro o grave talasemia enfermedad hepatica
CODOCITO talasemia enfermedades hematicas post esplenectomia
ESTOMATOCITO alteracion de proteinas de membrana estomatocitosis hereditaria cirrosis VPH
DACRIOCITOS Mielofibrosis primaria talasemia anemia mieloptisica anemia megaloblastica
DREPANOCITOS forma delgada y alargada hemoglobina S, C o F
ELIPTOCITOS Anemia hereditaria eliptocitosis u ovalocitosis hereditaria
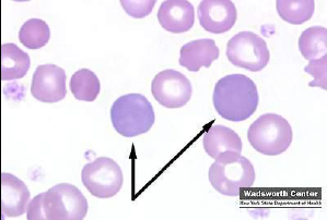
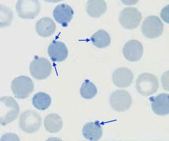
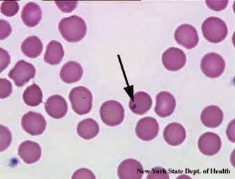
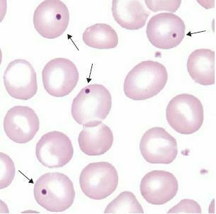
CUALES SON LAS INCLUSIONES ERITROCITARIAS cuerpos de Howell Jolly punteado basofilo cuerpos de Pappenheimer Cuerpos de Heinz
POR QUE VEMOS INCLUSIONES ERITROCITARAS EN FSP ANEMIA HEMOLITICA ANEMIA MEGALOBLASTICA ANEMIA FERROPENIA
CUERPOS DE HOWELL JOLLY Restos de ADN En VIH y toma de antivirales
PUNTEADO BASOFILO resto de ADN con coloracion de Wright SINDROME MIELODISPLASICO: granulos finos INTOXICACION POR METALES PESADOS: granulos densos
CUERPOS DE PAPPENHEIMER acumulos de Hierro Síndromes mielodisplásicos · Talasemia · Anemia sideroblástica · Anemias deseritropoyéticas · Alcoholismo · Toxicidad por isoniazida.
CUERPOS DE HEINZ HB denaturalizada tincion supravital Deficid de G6PD
QUE TENEMOS EN CUENTA EN SCREENING DE ANEMIA HB menor a 12 en mujeres y 13 en hombres disminucion en la cantidad de globulos rojos si es secundaria a un proceso de base
ETIOLOGIAS GRAVES CAUSANTES DE ANEMIA DESTRUCCION GR: anemia hemolitica e inmune DISMINUCION PRODUCCION GR: leucemia aguda PERDIDA MASIVA DE SANGRE: transtorno gastrointestinal
PARAMETROS DEL HEMOGRAMA QUE SE TIENEN EN CUENTA PARA EL DIAGNOSTICO DE ANEMIA HB HTO VCM HCM CHCM
PARA QUE MEDIMOS RETICULOCITOS? para ver si la medula osea es regenerativa o arregenerativa
PARA QUE MEDIMOS CREATININA EN LAS ANEMIAS? Por que existen anemias asociadas a la disfuncion renal
PRUEBAS DE PERFIL HEMOLITICO LDH BILIRRUBINA INDIRECTA COOMBS HAPTOBLOBINA
PERFIL MEGALOBLASTOSIS MEDICION VITAMINA B12 ACIDO FOLICO HOMOCISTEINA
PARA QUE SE HACE ELECTROFORESIS DE PROTEINAS EN ANEMIA? Para ver si existe una cadena anormal de hemoglobina
FORMULA % RETICULOCITARIO %Reticulocito. =(#ret. contados)X100 --------------------------- 1000
INDICE RETICULOCITARIO solo para px con HTC menor a 30% IR= % ret. calculados X HTC Px --------------------------- HTO IDEAL (45%)
INDICE DE PRODUCCION RETICULOCITARIA (IPR) IPR= % ret. corregidos ---------------------- Fact. maduracion MAYOR A 3: MO REGENERATIVA MENOR A 2: MO ARREGENERATIVA
CUALES SON LOS FACTORES DE MADURACION RETICULOCITARIOS? HTO 45-36: 1 DIA 35-26: 1,5 DIAS 25-16: 2 DIAS MENOR A15: 2,5 DIAS
ANEMIA MAS COMUN A NIVEL MUNDIAL Anemia ferropenica
donde se encuentra la mayor partede hierro en el cuerpo hemoglobina y mioglobina
tipos de hierro no hemo: vegetales hemo: carne
causas de disminucion del hierro lactantes, embarazadas, mentruacion, adolescencia, perdidas de tipo gastrointestinal como el cancer o gastritis, infecciones con microorganismos dependientes de hierro, alteraciones en la absorcion, enfermedad cronica o hemolisis cronica
que enzima realiza la convercion del hierro no hemo a hemo ferrin reductasa
Manifestaciones cronicas de anemia ferropenica pica perdida de cabello coiloniquias cefalea sueño palidez
QUE ESTA DISMINUIDO EN EL ESTADIO I DE ANEMIA FERROPENICA FERRITINA
QUE ESTA ANORMAL EN EL ESTADIO II DE ANEMIA FERROPENICA VCM D Conteo hb reticulocitaria D sideremia D ferritina D TIBC A indice saturacion transferrina A receptor soluble de transferrina A
QUE ESTA ANORMAL EN EL ESTADIO III DE ANEMIA FERROPENICA VCM D Hb D Conteo hb reticulocitaria D sideremia D ferritina D TIBC A indice saturacion transferrina A receptor soluble de transferrina A
que funcion tiene la ferritina proteina de almacenamiento de hierro
que es TIBC capacidad total de union al hierro
ANEMIA POR ENFERMEDAD CRONICA POR IL-6, IL-1 O FNTALFA SE DIVIDEN EN 2 IPR MENOR A 2: ANEMIA FERROPENICA Y POR ENFERMEDAD CRONICA IPR MAYOR A 2: SOLO ENFERMEDAD CRONICA
MARCADORES ESPECIFICOS DE LLA-B CD19, CD7, CD22
MARCADORES ESPECIFICOS DE LLA-T CD3, CD7 CITOPLASMATICO
MARCADORES DE M0 A M2 DE LMA CD13, CD33, CD34, CD117
MARCADORES DE M3 CD13, CD33, CD117, MPO, CD45
MARCADORES DE M4 CD64, CD14, IREM 2 MONOCITICO
MARCADORES DE M5 CD14 MONOCITICO, CD64 PROMONOCITICO CD4
MARCADORES M6 GLICOFORINA A, HEMOGLOBINA A, CD36, CD105, CD11B,
MARCADORES M7 CD41, CD42, CD61
MORFOLOGIA BLASTOS LLA-L1 blastos pequeños, homogeneos, escaso citoplasma, cromatina densa a laxa, sin nucleolos o vacuolas a la vista L1 TIPICA
MORFOLOGIA BLASTOS LLA-L2 blastos mas grandes, citoplasma abundante, poblacion heterogenea, sin nucleolos o vacuolas ATIPICA
MORFOLOGIA BLASTOS LLA-l3 blastos muy grandes, citoplasma extemadamente basofilo, nucleolos prominentes, poblacion heterogenea BURKITT
ALTERACION GENETICA LLC del (13q,14)
ALTERACION GENETICA LLA-B t(9;22)
ALTERACION GENETICA LLA-B NOTCH-1
EDADES LEUCEMIA LINFOIDE AGUDA: 0-20 AÑOS CRONICA: MAYOR A 70 AÑOS
SIGNO CARACTERISTICO DE LLC sombras de Gumprecht
M0 sin diferenciacion Poca maduración, citquimica negativa <90% blastos simples,
M1 LMA de maduración minima citoquimica debil <90% blastos con granulos o bastones de auer
M2 Con maduración citoquImica positiva, maduracion, 20-80% de blastos >10% de granulocitos
M3 promielocitica aguda citoquimica muy positiva 20-50 años celulas de fagot Ma3 promielos (celula problema) tumorales Mb3 microgranulos ,CD2 DEBIL, HLA-DR-, CD33+, CD13+ Eos anormales multiples bastones de auer aleracion genetica para hacer el diacnostico T (15,17), T (11,17) fucion anormal del gen PML/RARa tramamiento ATRA sintomas: sangrado, petequias, anemia, fiebre, fatiga, perdida de peso, agrandamiento del bazo e higado
M4 Blastos mayores al 20% en celulas no eritroides componente monocitico mayor o igual al 20% EXISTE UNA VARIANTE: M4EO: 5% de los Px con LMA de novo, existen eosinofilos displasicos con granulos basofilicos y eosinofilicos anomalia genetica INV(16;16) M4 PURA t(3;3)
M5 BLASTOS myores o igual al 20% de celulas no eritroides MO con componente monocitico mayor al 80% M5A: mas del 80% del componente monocitico son monoblastos (COMUN EN ADULTOS MAYORES) M5B: mas del 80% del componente monocitico es diferenciado (promonocitos y monocitos) NO HAY BASTONES DE AUER
M6 M6A: eritroblastos mayores al 50% en MO, blastos mayor o igual al 20% de celulas no eritroides M6B: leucemia eritroide pura, mas del 80% son celulas eritroides
M7 MEGACARIOBLASTICA inv(3)(q21;q26)
LMC Policitemia vera: todo esta aumentado Trombocitemia escencial: Plt Mielofibosis: aumento megacariopoyesis
Fases de leucemia mieloide cronica cronica: hiperleucocitosis, bastos 0-9% Acelerada: 10-19%, basos 20% Blastica: mayor a 20%
alteracion genetica LMC JACK 2 t(9;22)
Show full summary Hide full summary

Similar

Examen Metabolismo
Diego Santos
TEST REPASO BIOLOGÍA CELULAR
VICTOR MANUEL VITORIA RUIZ
Biología Celular
maya velasquez
Niveles de Organizaciòn
Sofi :3
1. LA CÉLULA
Vivi Riquero
PASAPALABRA  sobre  ANATOMÍA
JL Cadenas
Examen de Repaso de Biología
Diego Santos
Práctica de Biología para la Prepa 1
Raúl Fox
TEST MICROBIOLOGÍA e INMUNOLOGÍA
VICTOR MANUEL VITORIA RUIZ
Biología para la PSU
Lolo Reyes
Aparato CIRCULATORIO - De Mapa Mental
JL Cadenas