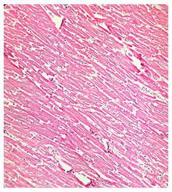
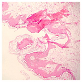
Láminas de Histología

Description

Laboratorio de histología, Bibliografía Ross Pawlina 5ta Edición.
Alondra Mayte Ibarra Espinosa
Flashcards by Alondra Mayte Ibarra Espinosa, updated more than 1 year ago More Less
Mario Ripalda
Created by Mario Ripalda about 10 years ago
Isaac Rodrigo Sarabia Vasquez
Copied by Isaac Rodrigo Sarabia Vasquez about 10 years ago
Alondra Mayte Ibarra Espinosa
Copied by Alondra Mayte Ibarra Espinosa about 10 years ago
58
2

Similar

Definiciones CARDIOLOGÍA
Vivi Riquero
T9. Enfermedades Inflamatorias
Vivi Riquero
Anatomía cabeza
Diego Santos
Fichas para oposiciones de auxiliar de enfermería
leyvamiri
Oftalmología - ENARM
Emilio Alonsooo
Hematología - ENARM
Emilio Alonsooo
Anatomía cabeza
maca.s
Infecciones Quirúrgicas
Exero
FUNDAMENTOS DE LA EMBRIOLOGÍA.
fperezartiles
Tema 15: Características del sistema respiratorio
Marlopcar López
Alergología - Práctica para el ENARM
Emilio Alonsooo