|
|
Created by YORDI ALDAIR BARRIOS MERIDA
about 4 years ago
|
|
| Question | Answer |
| Neoplasias del Riñón Grupo 3 | Yordi Barrios Mérida 2200-18-948 Wendy Escobar Lemus 2200-18-2171 Katherin Cárdenas Argueta 2200-18-1848 Lesli Chuvac Morales 2200-18-2727 |
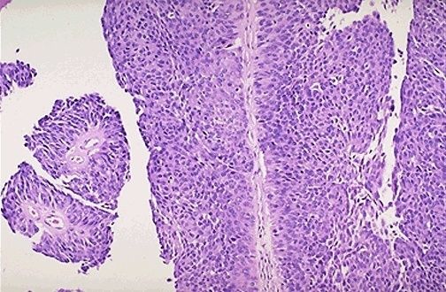
| Carcinoma urotelial de vejiga |
Image:
Blad069 (image/jpeg)
|
| Carcinoma urotelial de vejiga |
Image:
Blad060 (image/jpeg)
|
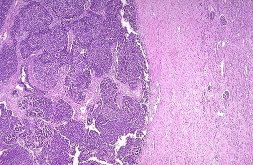
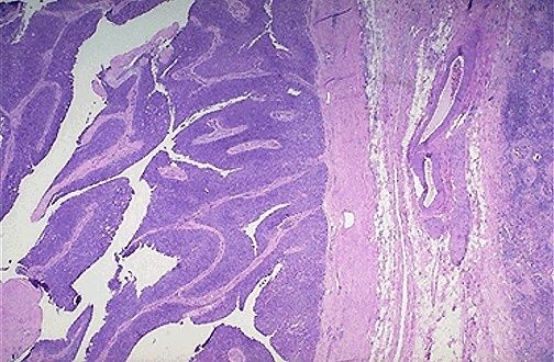
| Carcinoma urotelial de pelvis renal |
Image:
Renal063 (image/jpeg)
|
| Carcinoma urotelial de pelvis renal |
Image:
Renal056 (image/jpeg)
|
| Carcinoma urotelial microscópico de bajo aumento |
Image:
Blad063 (image/jpeg)
|
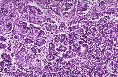
| Carcinoma urotelial microscópico de alta potencia |
Image:
Blad064 (image/jpeg)
|
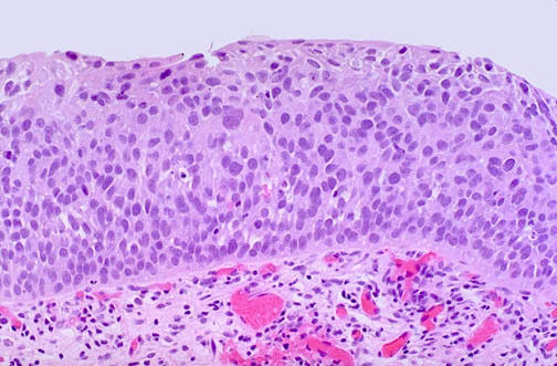
| Carcinoma urotelial in situ |
Image:
Blad058 (image/jpeg)
|
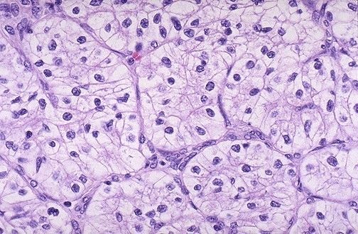
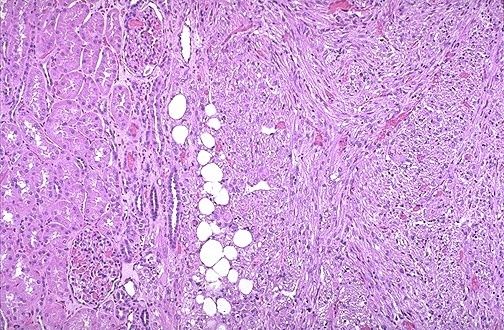
| Carcinoma de células renales |
Image:
Renal062 (image/jpeg)
|
| Carcinoma de células renales |
Image:
Renal052 (image/jpeg)
|
| Carcinoma de células renales |
Image:
Renal053 (image/jpeg)
|
| Carcinoma de células renales con invasión de la vena renal |
Image:
Renal054 (image/jpeg)
|
| Carcinoma de células renales, vista microscópica |
Image:
Renal055 (image/jpeg)
|
| Metástasis al riñón, vista macroscópica |
Image:
Renal051 (image/jpeg)
|
| Tumor de Wilms |
Image:
Renal057 (image/jpeg)
|
| Tumor de Wilms |
Image:
Renal058 (image/jpeg)
|
| Tumor de Wilms |
Image:
Renal059 (image/jpeg)
|
| Angiomiolipoma |
Image:
Renal115 (image/jpeg)
|
| Angiomiolipoma |
Image:
Renal106 (image/jpeg)
|
| Fibroma medular |
Image:
Renal155 (image/jpeg)
|
| Oncocitoma |
Want to create your own Flashcards for free with GoConqr? Learn more.