Fichas anomalías

Description

Flashcards on Fichas anomalías, created by oihanajardon on 12/11/2013.
oihanajardon
Flashcards by oihanajardon, updated more than 1 year ago
oihanajardon
Created by oihanajardon almost 12 years ago
55
1

Resource summary

Question Answer
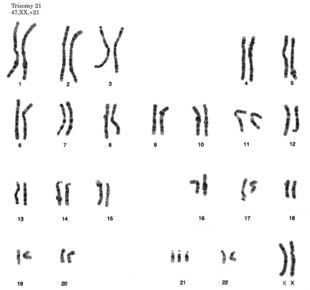
Trisomia 21 (síndrome de down)
Características de Síndrome de Klinefelter Se observa en varones, en la pubertad, esterilidad, hialinización de los túbulos seminíferos, ginecomastia y 47 cromosomas con un complemento cromosómico sexual XXY.
Mutaciones de genes Se atribuye a un cambio en la estructura o la función de un gen, pueden ocasionar errores congénitos del metabolismo.
Aneuploidía cualquier número de cromosomas que no sea euploide y e general, se aplica a los casos de presencia de un cromosoma de más (trisomía) o de menos (monosomía).
Monosaicismo Resultado de la no disyunción que ocurre durante la mitosis en una células embrionarias durante las primeras divisiones celulares. En el cual algunas células tienen un número anormal de cromosomas y otras son anormales.
Impronta genómica Personas que muestran una expresión diferencial, que depende del material genético heredado de la madre o del padre.
Show full summary Hide full summary

Similar

Anatomía cabeza
Diego Santos
Anatomía cabeza
maca.s
Definiciones CARDIOLOGÍA
Vivi Riquero
T9. Enfermedades Inflamatorias
Vivi Riquero
Fichas para oposiciones de auxiliar de enfermería
leyvamiri
Hematología - ENARM
Emilio Alonsooo
Oftalmología - ENARM
Emilio Alonsooo
Infecciones Quirúrgicas
Exero
FUNDAMENTOS DE LA EMBRIOLOGÍA.
fperezartiles
Tema 15: Características del sistema respiratorio
Marlopcar López
Alergología - Práctica para el ENARM
Emilio Alonsooo