tecnicas de auxiliar de enfermeria, anatomia

Description

tecnicas de axiliar de enfermeria
a Cruz
Flashcards by a Cruz, updated more than 1 year ago
a Cruz
Created by a Cruz over 9 years ago
559
10

Resource summary

Question Answer
registro continuo de impulsos eléctricos del corazón, los cuales son generados por un pequeño grupo de células conocidas como nodo sinusal. ELECTROCARDIOGRAFO
recoge la orina del paciente para llevar un control de la diuresis, se utiliza en pacientes inconcientes o incontenentes SISTEMA COLECTOR DE DIURESIS
aplicacion de una descarga electrica para corregir arritmiaso fibrilacion ventricular desfribilador
es un registro grafico y sonoro en un monitor, de la frecuencia cardiaca ,ritmo e intensidad , en todas las plantas, uvi, monitorizacion del feto en el parto para evtar sufrimiento fetal monitarizacion cardiaca
registro de la actividad cardiaca el sistema de conduccion electrico o intrinseco del corazon onda P: representa la difusion del impulso desde el nodulo sinusal a traves de las auriculas. complejos QRS representa la depotarizacion de ventriculos Ondas t refleja la relajacion de los ventriculos registro de la actividad cardiaca
prueba diagnostica que consiste en la monitorizacion ambulatoria del registro electrocardiografico por un tiempo prolongado, horas, habitualmente 24 hrs. en una persona que esta en movimiento holter
es un dispositivo que se coloca por intervencion quirurgica,desencadena la contraccion intrincesa, y sustituye el nodulo sinoauricular marcapaso artificial
introducir un cateter en un vaso sanguine, canalizacion vascular (venosa o arterial), ya sea periferica o central, que se realiza con el fin de administrar , sueros , farmacos nutrientes, y medir la PVC cateterismo cardiovascular
cateter largo cava auricula derecha femoral cateterismo cardiovascular central
subclavia arteria braquial cateter corto tratamiento, se encuentra en el carro de parada cateterismo cardiovascular periferico
dilatacion de un vaso colocando un balon angioplastia coronaria
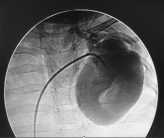
radiografia de contraste se inyecta una solucion de contraste, papilla de bario, se hace un placa y se ve el recorrido , se utiliza en infarto o angina de pecho angiografia coronaria
tecnica vascular, evita la zona dañada, une un vaso con un puente a otro punto no obstruido para que continue el riego sanguineo bypass
son pequeños dispositivos que se colocan debajo de la piel por debajo de la auricula de forma similar a los marcapasos, un sistema de desfibrilacion monitorizada continuamente el ritmo cardiaco desfibrilador automatico implantable desfibrilador interno DAI
contraccion de la musculatura lisa colico
colocacion de un liquido por una finalidad medicamentosa , lavados, irrigacion, liquidos de contraste irrigacion
procedimiento por el cual se va a introducir en la luz de un conducto una sonda en este caso , del meato urinario a la vejiga sondaje vesical
procedimiento de depuracion de la sangre de sustancias toxicas(creatinina, urea, acido urico, etc) cuando hay una insuficiencia renal. permite regular el equilibrio hidroelectrolitico y acido-basico dialisis
tras la intervencion quirurgica, sonda foley de una dos y tres vias, sonda stent,sonda de nefrostomia sondaje permanente
para evacuar el contenido vesical en un momento, antes de cirugias, partos, esploraciones, sonda Nelaton, RObinzon sondaje intermitente sondaje eventual sondaje no permanente
sondaje permanente
sonda de recogida de muestra
sondaje permanente
sondaje permanente
sondaje temporal
sondaje vesical
sondaje vesical
tubos endotraqueales
aspirador de secreciones
sonda nasogastrica levin
sondaje temporal robinson
cinta adesiva sonda permanente foley mascarilla irrigacion previo al sondaje guantes esteriles guantes desechables batea paños esteriles paños fenestrados gasas esteriles paño sin fenestrar, para depositar el material antiseptico lubricantes jeringilla 10 ml suero fisiologico bolsa de orina con soporte metalico en cama+ esparadrapo material para sondaje vesical permanente
es un mueble provisto de bandejas,cajones identificados o etiquetados, donde se distribuye el material, según pautas preestablecidas. esta en todas las plantas en UCI y UVI,servicio de urgencias carro de reanimacion cardiopulmonar carro de emergencias carro de parada carro de RCP
equipo de reanimacion y material de ventilacion e intubacion manometro para el control de PVC desfibrilador electrocardiografo cardio compresor reanimador manual AMBU tabla de parada laringoscopio pinzas endotraqueales MAGILL equipo aspirador de secreciones completo tubos endotraqueales dif, tamaños c/fiador,p/tubo y conexiones sondas y canulas de aspiracion de dif. tamaños mascarilla para la administracion de oxigeno diferentes medidas´ canulas de traqueotomia canulas de guedell p/aduto/niño
cateteres sondas y jeringas cateteres endovenosos de diferentes tipos y calibres para canalizar vias venosa sistema de presion venosa central llave de tre vias conexiones y adaptadores compresor de goma sistema completo de gotero sistema colector de diuresis sonda nasogastrica sonda vesicales jeringas diferentes tamaños agujas p/puncion IM,IV,SC
dialisis peritoneal metodo de filtracion artificial(depuracion extraterrenal) que utiliza la membrana peritoneal del propio paciente para el intercambio entre la sangre y el liquido dialisante. por lo que es intracorporeo.
hemodialisis es la extraccion de la sangre del paciente para hacerla pasar a traves de un dializador(riñon artificial), donde se van a eliminar los productos de desechos toxicos, depurandola, para que reingrese ya depurada en la circulacion sanguinea del paciente, durante el proceso se añade un anticoagulante (heparina) a la sangre extraida para facilitar su circulación por el dializador
accesos para la circulacion del paciente para dalisis fistula arteriovenosar derivacion o shunt arteriovenoso injerto cateterizacion venosa
fistula arteriovenosa procedimiento quirurgico se establece la union entre una arteria y una vena(por sus caras laterales).generalmente realizada a la altura de la muñeca, haciendo un orificio comun. este metodo permite introducir dos agujas de gran calibre, una en la via arterial y otra en la venosa.
derivacion o shunt arteriovenoso conecta una arteria y una vena a traves de un cateter. Este sale de la piel y forma un arco cerrado, en el que se encuentra un conector. con su separacion permite utilizar dos vias sanguineas (arterial y venosa).generalmente en zonas proximas a muñeca y tobillo
injerto consiste en colocar un heteroinjerto subcutaneo en el antebrazo, el brazo o la porción superior del muslo. el extremo distal se une con una arteria y el proximal con una vena.
cateterizacion venosa consiste en insertar un cateter unico en forma de Y, o de doble luz , en la vena subclavia o en la femoral(TECNICA D SHALDON) es un procedimiento de uso temporal, ya que dura un promedio de 1-2 semanas
dieta del paciente con dialisis pobre en sodio, para evitar la retencion de liquidos potasio pues altera el ritmo cardiaco proteinas, aumenta la urea en sangre agua evita retencion de liquidoy formacion de edemas
Síndrome nefritico Grupo de infecciones que produce infección en el glomerulo. Suele aparecer después de infecciones streptocochicas o trastornos autoinmunes
espirómetro de incentivo ejercitador para hacer expasiones toraxicas en pre operatorio y el pos-operatorio, ayuda al depuracion de vias aereas,previene colapso pulmonar al favorecer la insuflacion,retroalimenta visualmente al paciente mientras respira , recomendado para pacientes con respiracion dificil y dolorosa
fisioterapia respiratoria cojunto de procedimientos que tienen como objetivo ayudar al paciente a eliminar secreciones respiratorias, para evitar comprometer la ventilacion y la insuficiencia respiratoria pacientes inmovilizados pacientes con proceso respiratorios cronicos pacientes post-operados, pueden tener disminuido el flujo tusigeno) por la analgesia, evitan lo que les produce dolor, tienen menor movilidad
procedimientos de fisioterapia respiratoria ejercicios respiratorios drenajes posturales ejercicios de percusion y vibracion estos cuidados los realiza el fisioterapeuta, la enfermera o ambos, el auxiliar colabora con ellos
espirometria mide el volumen y la taza de flujo del aire que respira una persona para diagnosticar una enfermedad o determinar el progreso del tratamiento
percusion-vibración procedimiento de terapia respiratoria cuya finalidad es despegar secreciones profundas, se realiza con la mano(percusión) o aplicando un vibrador ultrasonico
ejercicios respiratorios ser realizan para conseguir una respiracion profunda, remover secreciones y mejorar la permeavilidad de las vias respiratorias , se emplean en preparacion pre-operatoria y se continua en el post-operatorio
temperatura grados relativos de temperatura, depende de la persona el grado de calorparticulas
temperura se mide en grados
temperatura hay zonas del cuerpo con diferentes sensiblidades y variacion del calor y el frio, la forma d trasmision varia entre
temperatura zonas del cuerpo para bajar la fiebre, pies estomago y cabezA. tambien es importante la edad, estado general. zona afectada.
RCP A. VIA AEREA PERMEABLE B. VENTILACION C. CIRCULACIÓN D. . DEFICIT NEUROLOGICO E. EXPLORACION
PARADA CARDIORESPIRATORIA 1. PENSAR CON SEGURIDAD 2. COMPROBAR QUE LA VICTIMA RESPONDE 3. SI ES SI, DEJARLA EN POSICION ENCONTRADA 4. SI ES NO, SOLICITAR AYUDA 5. DETECTAR PULSO CAROTIDEO Y DILATACION PUPILAR, MANTENER VIAS ABIERTAS 6. IDENTIFICAR SI HAY MOV. TORAXICO 7. EMPEZAR CON COMPRESIONES CON EL TALOSN DE LA MANO EN EL CENTRO DEL TORAX.ENLACE LOS DEDOS 8. COMPRESIONES DE 30 A 60 + 2 INSUFLACIONES CON AMBU. 9. VALORAR EL ESTADO GLASGOW
MANIOBRA DE HELMICH 1. ABRAZAR POR LA ESPALDA CON DOS BRAZOS 2. LOCALIZAR EL SIFOIDES, CERRAR LA MANO ENCIMA DE LA OTRA 3. LOCALIZA EL CENTRO DEL ESTOMAGO Y LA MANO ROTARLA EN DIRECCION HACIA EL CORAZON 4. SI SE PIERDE EL CONOCIMIENTO APLICAR EL RCP, SEMIFLOWER
DISURIA INCONTINENCIA URINARIA ARDOR AL ORINAR DIFICULTAD PARA ORINAR DOLOR O SENSACION MOLESTA
POLIURIA ELIMINACION EXCESIVA DE ORINA
NICTURIA NECESIDAD NOCTURNA DE ORINAR
OLIGURIA ELIMINACION ESCASA DE ORINA
TELERRADIOGRAFIA LATERAL DE CRANEO SE UTILIZA EN ORTODONCIA PARA ESTUDIAR EL CRECIMIENTO DE LA CARA Y PLANIFICAR EL TRATAMIENTO. SE SITUA AL PACIENTE ALEJADO DEL CONO INDICADOR DE DIRECCION, PERO CON LA PLACA JUNTO A LA CARA LATERAL. SE FIJA LA CABEZA CON EL SISTEMA CEFALOSTATO. LA DISTORSION SERA MINIMA AL AUMENTAR LA DISTANCIA
LA RADIOGRAFIA PANORAMICA U ORTOPANOMOGRAFIA ES UN TIPO ESPECIAL DE TOMOGRAFIA. ESTAS SE CARACTERIZAN POR QUE EL TUBO DE RAYOS X Y LA PLACA SE MUEVEN ALREDEDOR DEL SUJERO, Y VAN IMPRESIONANDO LA PELICULA DE FORMA GRADUAL. COMO SI SE HICIERAN CORTES ANATOMICOS
TOMOGRAFIA COMPUTALIZADA TC O ESCANER UTILIZA RAYOS X Y UN SISTEMA INFORMATICO PARA LA OBTECION DE UNA IMAGEN MAS REAL SE OBTIENE IMAGENES DE CORTES ANATOMICOS INCLUSO IMAGENES TRIDIMENSIONALES DE LOS MAXILARES
PROYECCION DE WATERS MAS EMPLEADA EN OTORRINOLARINGOLOGIA, TRAUMATOLOGIAS
RESONANCIA MAGNETICA NUCLEAR RMN UTILIZA ONDAS DE RADIOFRECUENCIA QUE PERMITE OBTENER UMAGEN DE LOS TEJIDOS BLANDO, EN ODONTOLOGIA PARA EL ESTUDIO DE ATM, YA QUE VISUALIZA BIEN EL MENISCO DE LA ARTICULACION. TECNICAS REALIZADAS EN CENTROS DE RADIOLOGIA
RADIOLOGIA DIGITAL DIRECTA RADIOVISIOGRAFIA RDD O RD LOS RAYOS X SON RECOGIDOS POR UN CAPTADOR RIGIDO CON UN CABLE QUE SE CONECTA DIRECTAMENTE AL ORDENADOR. EL CAPTADOR SE PROTEGE CON UNA FUNDA DE PLASTICO DECHABLE LA IMAGEN SE VISUALIZA DIRECTAMENTE . TIENE ALTA RESOLUCION, CON TIEMPO DE EXPOSICION
RADIOLOGIA DIGITAL INDIRECTA LOS RAYOS X SON RECOGIDOS POR PLACAS ESPECIALES, FLEXIBLES CON FOSFORO AUTOESTIMULABLE REUTILIZABLES. LA PLACA SE INTRODUCE EN UN ESCANER ESPECIAL QUE TRASFORMA LA IMAGEN EN DIGITAL, Y BORRA LA INFORMACION DE LA PLACA PARA REUTILIZARLA LA IMAGEN DIGITALIZADA SE VISUALIZA EN EL ORDENADOR,TIENE MENOR RESOLUCION QUE LA RDD,PERO LA PLACA ES MAS COMODA PARA EL PACIENTE
CRITERIOS ALARA es un principio que indica que la exposicion a radiaciones debe ser tan baja como sea razonablemente posible
radiosensible organo o tejido que puede se facilmente dañados son aquellos que presenta una actividad celular importante, con mitosis y renovacion rapida, los principales efectos por exposision cronica, son tumores, leucemias , linfomas, asi como alteraciones en la descendencia, cristalino gonadas, timo, tiroides, medula osea, organos linfoides
medidas de proteccion en radiologia intraoral para el paciente utilizaar placas sensibles E y F, ajustar el aparato en funcion del diente , el peso, y tipo de pelicula empleo de collarin y delantal plomado empleo de soportes que facilitetsn la tecnicay no los mantenga el paciente zona mas segura 90 a 135ª del haz primario empleo de dosimetro personal alejese minimo 2 metros empleo de mamparas plomadasy prottectores procesar adecuadamente la placa
medidas de proteccion radiologica en tecnicas extraorales se requiere una sala especial diferenciada , con emplomado de paredes y un control y señalizacion de la radiacion mas estricto
proteccion radiologica en el consultorio dental clasificacion del personal, segun el riesgo de exposicion categoria A y B el personal dental vigilancia d la salud de los profesionales expuestos. controles medicos analiticos anuales señalizacion de las zonas expuestas a la radiacion dosimetria de area individual el dosimetro ambiental o de area es obligatorio y se recomienda el uso de dosimetros individuales de lectura mensual
consejo de seguridad nuclear organismo a nivel nacional que regula todo lo relativo a las radiaciones.
traumatismos dentarios fisuras del esmalte- son lineas o grietas que se producen en el esmalte sin perder la extructura dental , ni desplazamiento de fragmentos fracturas dentarias- peden afectar a la corona y/o raiz las que tienen peor pronostico son aquellas que afectan a la pulpa lesiones del ligamento periodontal - la mas grave es la luxacion, que implica la rotura de parte del las fibras del ligamento con movimiento del diente. avulsion , con salida totall del diente de su alveolo
avulsion salida total del diente de su alveolo.siempre se debe de intentar la reimplantacion puede durar años , permite mantener el hueso alveolar para colocar implantes las principales causas de traumatismos dentales son accidentes escolares , deportivos, accidentes de trafico
indicacion ante una avulsion no se debe tocar la raiz del diente solo sujetarse por la corona y lavarse con suavidad bajo el grifo de agua fria Se debe volver a colocar en el alveolo o bien emplear leche , una solucion salina, o colocarlo bajo la lengua del propio sujeto. Si se ha vuelto a colocar en el alveolo, se muerde con suavidad, sobre un pañuelo, con el fin de retener el diente hasta la consulta no debe trascurrir mas de 45-60mns para tener buen pronostico
endorfinas sustancias que produce el propio organismo , con un efecto placentero y analgesico, y que actuan sobre receptores del sistema nervioso
opiaceos conjunto de farmacos, y sustancias analgesicas que actuan sobre los receptores del sistma nervioso
glucocorticoides conjunto de hormonas producidas en la corteza suprarrenal que intervienen en la adaptacion al estres y tienen efecto inmunosupresor
tolerancia propiedad de ciertos farmacos por la que es necesario un aumento progresivo de la dosis para mantener su efecto
dependencia mecanismo de adaptacion del organismo a una sustancia de modo que esta se vuelve imprescindible para su funcion
dolor tiene la mision de avisar de que esta ocurriendo algo extraño en el organismo. es una reaccion de defensa, se estimula en cierto tipo de fibras nerviosas perifericas, que estan en la piel las mucosas y los organos , sus sensaciones son trasmitidas a la hasta la medula espinal o el tronco del encefalo y de ahi a puntos concretos del cerebro para acerlas concientes.
indicaciones para AINES antiinflamatorios no esteroideos son mas utilizados, para el , dolor derivado de una infeccion o de algun traumatismo, ayudan a controlar el dolor, la fiebre, y la inflamacion, estan contraindicados en patologias gastricas
opiacios indicadon en enfermedades con dolor profundo e intenso suelen emplearse . deriban de la morfina pero rara vez se emplean en odontologia
corticoides o coticosteroides indicados en para el control de enfermedades autoinmunes bastantes frecuentes en la mucosa orala
opiacios+ indicados xontra el dolor moderado y severo, escaso en odontologia mecanismo de actuacion, disminuyen la percepcion del dolor en el sistema nervioso central del midmo modoo que las endorfinas efecto adverso, dependencia ejem. morfina codeina, tramadol
aine indicado en el contro de dolor asociado a inflamacion , habitual en odontologia mecanismo d actuacion, bloquean la formacionn de las prostlangandinas, que son sustancias proinflamatorias en todos los tejidos ejecto adverso, alteraciones gastro intestinales ibuprofeno, diclofenaco, aspirina
corticoides indicado en el control de la inflamacion severa, enfermedades autoinmunes mecanismo de actuacion, son farmacos derivados de las hormonas glucocorticoides, reducen la actividad de los leucocitos, y asi disminuyen la inflamacion ejecto adverso, multiple , requieren vigilancia estrecha. ejem prednisona, triamcinolona
carpule de anestecia es un cartucho cilíndrico de vidrio, de 1,8 ml, con uno del sus extremos sellado con un tapon fijo de goma , en el opuesto lleva un émbolo o tapón móvil. un carpule es una cantidad de anestesico que se utiliza para procedimientos sencillos en adultos, que no requieran larga duracion , como podria ser una obturacion
jeringa metálica de anestesia el cuerpo de la jeringa tiene una forma cilindrica hueca, para permitir la colocacion del carpuel este se puede introducir de forma lateral o desde detras . el émbolo de la jeringa representa a veces un arpón de él antes de inyectar. asi se comprueba, si al introducirla aguja en la zona a anestesiar se ha puncionado algún vaso sanguineo lo cual debe evitarse.
aguja de anestesia las agujas para anestesia bucal son especiales su diámetro es muy fino´poseen rosca para fijarse a la jeringa. tienen doble extremo el mas corto se inserta en el tapon fijo de goma del carpule y el mas corto se inserta en el tapon fijo de goma del carpule, y el mas largo es el extremo axtivo suele existir agujas largas (arcada inferior) y cortas (arcada superior)
anestesia locorregional los anestésicos locales suprimen la sensación dolorosa mediante el bloquieo de la conducción del estímulonervioso a través del axón de las neuronas sensitivs que recogne las sensaciones dolorosas, denominadas nociceptivas, lidocaina , mepivacaina articaina
para prolongar el efecto anestésico, se añade otro componente denominado vasoconstrictor, reduce el diametro de los vasos sanguineos locales , para mantener el anestesico mas tiempo actuando de forma local adrenalinao epinefrina existen dosis en funcion de la edad y el peso, corporal que siempresse deben respetar para evitar efectos adversos
bandeja de anestecia carpule de anestesia aguja de anestesia jeringa metalica de anestesia
tecnicas de anestesia locorregional en odontologia anestesia infiltrativa anestesia infiltrativa se inyecta la anestesia junto a las terminaciones nerviosas de la zona a la q se pretende trabajar. se realiza en la arcada superior y en la parte anterior de la mandibula
tecnica de anestesia locorregional en odontologia anestesia troncular con la anestesia troncular, el anestesico se inyecta en el trayecto del tronco nervioso y la anestesia afecra a un territorio mas amplio es la empleada en la arcada inferior
tipo de anestesia a emplear arcada superior tratamiento obturaciones y endodoncia tipo de anestesia,infiltrativa periapical ´ , territorio anestesiado,pulpa y encia vestibular
tipo de tratamiento arcada superior periodoncia y exodoncia infiltrativa periapical, territorio anestesiado pulpa y encia vestivular
tipo de tratamiento periodoncia y exodoncia infiltrativa palatina territorio anestesiado encia palatina
tipo de tratamiento arcada inferior tipo de anestesia, troncular del nervio dentario inferior tratamiento obturaciones y endodoncia territorio anestesiado pulpa de todos lis dientes inferior del mismo encia vestibular desde premolares a incisivos
tipo de tratamiento arcada inferior tratamiento periodoncia y exodoncia tipo de anestesia troncular del nervio dentario inferior , se inyecta detras del ultimo molar, cerca de la amigdala territorio anestesiado, pulpa de todos los dientes inferiores del mismo lado encia vestivular desde premolares a incisivos del mismo lado
tipo de tratamiento, periodoncia y exodoncia, arcada inferior troncular del nervio lingual, se inyecta cerca de la anterior, se aprovecha la misma puncion territorio anestesiado encia lingual de todos los dientes del mismo lado
tipo de tratamiento arcada inferior periodoncia y exodoncia tipo de anestesia troncular del nervio bucal , solo se administra si se trabaja con molares territorio anestesiado encia vestivular de los molares del mismo lado
anestesia general en la clinica dental se requiere la colaboracion de un anestesista, que la administre y monitorice las costantes vitales durante el procedimiento.
anestesia general permite suprimir todo tipo de sensaciones e incluso conducir a un nivel de inconsciencia compatible con la vida . utiliza gases que penetran en el organismo via inhalatoria, o bien anestesicos generales por via intravenosa
anestesia general en odontologia niños muy pequeños y con trastorno de conducta por inhalacion de gasespersonas con discapacidad mental contrastornos motores y /o de conducta cirugias de larga duracion, variso cordales , implantes. por via intravenosa
tecnica de sedacion conciente consiste en dejar al paciente en un estado de somnolencia, sin perder la conciencia , que le permite reducir su ansiedad y el dolor. se emplea oxido nitroso, es util en odontopediatria y en tratamientos largos, como los de raspados en periodoncia
sedacion conciente en clinicas odontologicas equipamiento especifico, con bombonas y conducciones para gases. se requiere una preparacion especial para el manejo de estos aparatos y medidas de seguridad y mantenimieto pero no es nedesario que lo administre un anestesista. el paciente se coloca una mascarilla especial reutilizables que facilita el gas para aedacion y luego oxigeno para la reanimación
control de la ansiedad en odontologia la ansiedad es una respuesta de activacion ante situaciones de estrés.es beneficioso pero si se mantiene supone un gran deterioro emocional y fisico para la persona
control de la ansiedad tecnicas tecnicas de relajacion control de respiracion util en adultos se tumba al paciente se le dice qu extienda sus brazos a lo largo del cuerpo, y cierre los ojos, se le pide que inspire centrandose en las espiraciones de forma que sienta que el cuerpo se va sintiendo ma s pesado y se va hundiendo
control de la ansiedad tecnica del modelado util en niños y adolecentes se pone el ejemplo de un paciente colaborador y modelico y luego se muestra a otro que tenia miedo en un principio y que fue adquiriendo confianza hasta llegar al nivel de coaboracion del primero
control de ansiedad farmacos ansioliticos las bensodiacepinas, ademas de controlar la ansiedad, algunas tienen efecto sedante o hipnótico, inducen el sueño, suelen emplearse diacepam, bromazepam, clorazepato o lormetazepam se administran antes de acudir a la cita , o bien en la sala de espera antes de comenzar el tratamiento
anestesicos en odontologia los mas habituales son de tipo amida Los anestésicos locales (AL), son fármacos universalmente utilizados por multitud de profesionales de la salud (anestesiólogos, cirujanos, enfermeros, odontólogos, podólogos, dermatólogos, internistas, médicos veterinarios, etc.) a diario que, a concentraciones suficientes, evitan temporalmente la sensibilidad en el lugar del cuerpo de su administración. Su efecto impide de forma transitoria y perceptible, la conducción del impulso eléctrico por las membranas de los nervios y el músculo localizadas. Por tanto, también se bloquea la función motora, excepto en el músculo liso, debido a que la oxitocina (hormona liberada por la hipófisis) lo continua estimulando. lidocaina
anestesico en odontologia tipo ester prácticamente no se utilizan en la actualidad, por la menor duración de su efecto y por producir más fenómenos alérgicos que los del grupo amida. Pertenecen al grupo éster los siguientes fármacos: cocaína, benzocaína, procaína, tetracaína y clorprocaína.
ejemplos de anestesicos tipo ester cocaína, benzocaína, procaína, tetracaína y clorprocaína.
anestesicos grupo amida Los anestésicos locales del grupo amida, presentan múltiples ventajas respecto a los anteriores, sobre todo una menor incidencia de efectos secundarios.
ejemplo de anestesicos tipo amida lidocaína, mepivacaína, prilocaína, bupivacaína, articaína y ropivacaína,
foley sonda flexible que presenta una punta redondeada, acodada, con dos o tres luces en su interior. una drena la orina,otra llena el ballon inchable, situado en el extremo de la sombra con agua y suero fisiologico, la tercera se utiliza para irrigacion de la vejiga, numeracion frecuente 10-16 unidades french
sonda robinson sonda rigida de una sola luz, con punta redondeada o acodada en cuya proximidad hay una o varios orificios utilizado en sondaje temporal
sonda pezzer sonda semirigida recta de una sola luz, con punta fungiforme que puede tener dos o mas orifiicos se inserta quirurgicamente y requiere, sutura para fijarla,
sonda pezzer se emplea en el drenaje suprapubico y en el renal
sonda vesical malecot sonda semi rigida recta de una solo luz, con punta similara a la pezzer pero con orificio mas grande, se inserta quirurgicamente y no se introduce en la uretra
Show full summary Hide full summary

Similar

Definiciones básicas de planos, ejes, movimientos y articulaciones
Roy Dos Ramos
Generalidades de osteología.
Daryl Benavides
Fichas para oposiciones de auxiliar de enfermería
leyvamiri
Test de Auxiliar de Enfermeria para repaso
leyvamiri
Sistemas del Cuerpo Humano
Diego Santos
Resúmenes 3er Parcial.- Embriología, Histología y Anatomía
Mario Alberto Solis Villanueva
Anatomía cabeza
maca.s
ANATOMÍA...
Ulises Yo
Test - Huesos del Cráneo
Christhian Revolorio
Aparato CIRCULATORIO - De Mapa Mental
JL Cadenas
Miembro Superior
maca.s