Aprendizaje Basado en Problemas

Description

El aprendizaje basado en problemas es una didáctica de enseñanza que incentiva el alumno a resolver las interrogantes y expandir su aprendizaje sobre un área o tema en específico. En este caso, desarrollé este modelo de aprendizaje en la OSIFICACIÓN ENDOCONDRAL, el cual forma parte de la programación de mi área de docencia (Histología).
Ana Zapata9577
Flashcards by Ana Zapata9577, updated more than 1 year ago
Ana Zapata9577
Created by Ana Zapata9577 over 9 years ago
387
0

Resource summary

Question Answer
OSIFICACIÓN ENDOCONDRAL (ABP) ¿Cómo se forman los huesos? ¿Qué factores intervienen en el crecimiento de los huesos?
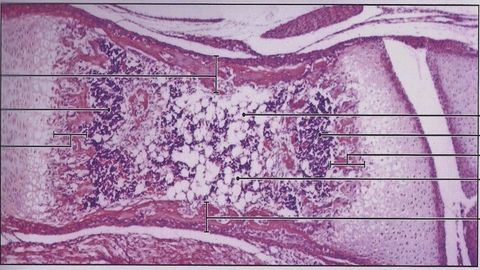
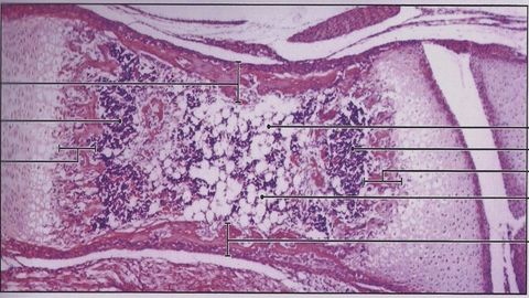
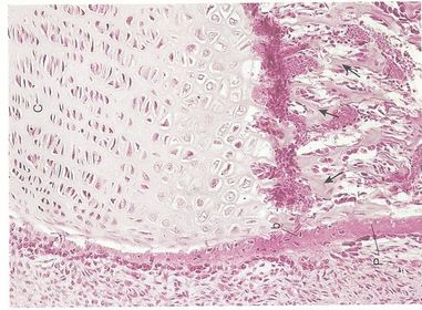
OSIFICACIÓN Se refiere al "proceso de crear nuevo tejido óseo y al crecimiento y remodelación de los huesos"
OSIFICACIÓN ENDOCONDRAL Se produce la formación de nuevo tejido óseo a partir de un molde en miniatura de cartílago hialino (vida intrauterina).
OSIFICACIÓN ENDOCONDRAL El cartílago se reabsorbe a medida que se forma el tejido óseo. Osificación= crear nuevo tejido óseo Osificación endocondral= a partir de un molde de cartílago
OSIFICACIÓN ENDOCONDRAL 1) ¿Cuáles son las fases para que se produzca la osificación endocondral?. 2) ¿Existen otros tipos de osificación?. 3) ¿Qué huesos se forman a partir de la osificación endocondral?
OSIFICACIÓN ENDOCONDRAL 4) ¿Cómo se observar la osificación endocondral desde el punto de vista histológico? 5) ¿Qué tinciones histológicas se utilizan para evidenciar la osificación en el tejido óseo?. 6) ¿Qué estructuras se identifican en la osificación con el microscopio de luz?.
OSIFICACIÓN ENDOCONDRAL 7) ¿Esta osificación sólo ocurre en la vida intrauterina?. 8) ¿Qúe enfermedades se pueden producir si ocurre una alteración en la osificación endocondral?. 9) ¿Cómo afecta la calidad de vida de las personas que sufren estas enfermedades?.
OSIFICACIÓN ENDOCONDRAL (Objetivos del aprendizaje)
OSIFICACIÓN ENDOCONDRAL (Aprendizaje en clases) Referencias bibliográficas facilitados por el profesor. Revisión de enlaces Web (Ejemplo: Histoweb) de la ULA. Textos de Genética y/o Traumatología.
OSIFICACIÓN ENDOCONDRAL (Aprendizaje en clases) Realizar tinciones histológicas de tejido óseo en el laboratorio de Histología. Clases del profesor sobre crecimiento aposicional de los huesos, remodelación ósea y fracturas
OSIFICACIÓN ENDOCONDRAL Discusión con el profesor sobre el aprendizaje obtenido mediante la presentación de esquemas. Observar y analizar muestras de tejidos óseo con el microscopio de luz con la guía del profesor.
Show full summary Hide full summary

Similar

Concepción Pedagogia y Didáctica
NEIL BERNAL R.
Símbolos y Abreviaciones para tomar apuntes
Diego Santos
Lectura Rápida
Diego Santos
Consejos para Realizar un Resumen
Diego Santos
CURSO APRENDIENDO A APRENDER
Isidro Esparza Marín
Aula Virtual
Sonnyer Martínez
Roles en la educación inclusiva
Alejandro Villamizar
Organizadores graficos
obvelasquezl34
MAPA CONCEPTUAL DE TEORÍAS DEL PROCESAMIENTO DE LA INFORMACIÓN
Estefany Reina