Semiología de cabeza y cuello - Imágenes

Description

Semiología de cabeza y cuello - Imágenes
ayudantesdocentes Cuenta Pasaporte Genérica
Flashcards by ayudantesdocentes Cuenta Pasaporte Genérica, updated more than 1 year ago
ayudantesdocentes Cuenta Pasaporte Genérica
Created by ayudantesdocentes Cuenta Pasaporte Genérica about 9 years ago
1736
5

Resource summary

Question Answer
Afta bucal
Algorra
Algorra
Alopecia
Anillo de Kayser Fleischer
Anisocoria
Bocio
Chalazion
Chalazion
Coloboma
Conjuntivitis
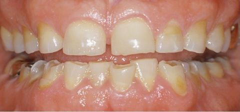
Desgaste dentario por bruxismo
Discoria
Ectropion
Efélides
Entropion
Epistaxis
Eritema heliotropo
Eritema malar
Campo visual con escotoma
Escrofula
Estomatitis
Estomatitis
Estrabismo
Exoftalmo
Fenómeno de Tyndall
Ganglio de Virchow
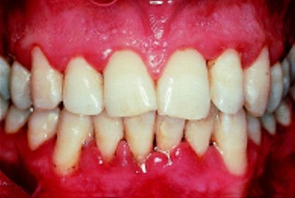
Gingivitis
Gingivorragia
Hemorragia subconjuntival
Hipopion
Ictericia
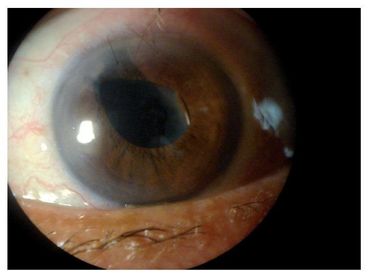
Inyección ciliar
Lagoftalmo
Leucocoria
Leucoma
Leucoplaquia
Leucoplaquia
Macroglosia
Melanoplaquia
Ojos de mapache
Orzuelo
Otorragia
Pingüecula
Policoria
Pterigion
Ptosis palpebral + enoftalmo
Queilitis angular
Quemosis
Quiste tirogloso
Ribete de Burton
Rinorrea
Signo de Battle
Signo de Von Graefe
Tonsilolitos
Xantelasma
Show full summary Hide full summary

Similar

T9. Enfermedades Inflamatorias
Vivi Riquero
Anatomía cabeza
Diego Santos
Fichas para oposiciones de auxiliar de enfermería
leyvamiri
Anatomía cabeza
maca.s
Definiciones CARDIOLOGÍA
Vivi Riquero
Oftalmología - ENARM
Emilio Alonsooo
Hematología - ENARM
Emilio Alonsooo
Infecciones Quirúrgicas
Exero
FUNDAMENTOS DE LA EMBRIOLOGÍA.
fperezartiles
Tema 15: Características del sistema respiratorio
Marlopcar López
Alergología - Práctica para el ENARM
Emilio Alonsooo