EXAMEN PATOLOGIA

Description

Patologias de cervantes
Mario Ripalda
Flashcards by Mario Ripalda, updated more than 1 year ago
Mario Ripalda
Created by Mario Ripalda about 9 years ago
237
0

Resource summary

Question Answer
RICKETTSIA TIPHY
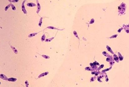
LEISHMANIA DONOVANI
PARACOCCIDIOIDES BRASILENSIS
PLASMODIUM VIVAX
ERLOTINIB
LEFLUNOMIDA
PSORALEN
PEGVISOMANT
METROTEXATO
ANEMIA POR DEFICIENCIA DE HIERRO
ANEMIA SIDEROBLÁSTICA
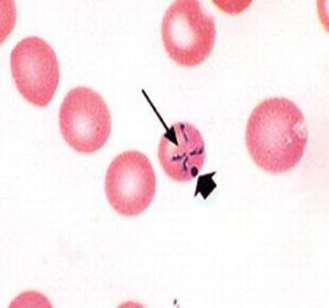
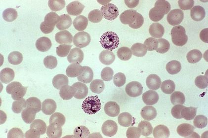
BABESIOSIS
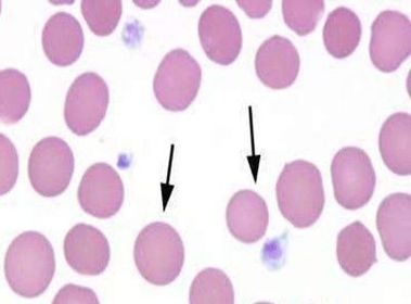
ESFEROCITOSIS HEREDITARIA
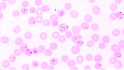
MALARIA
COLESTEATOMA SEGÚN EL EQUIPO
GLOMUS JUGULARE
MASTOIDITIS
OTITIS SEROSA MEDIA
POLIPO AUDITIVO
EQUINOCOCOSIS
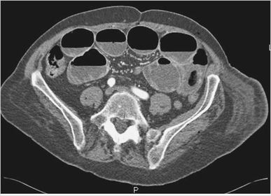
ISQUEMIA MESENTÉRICA
OBSTRUCCIÓN DEL INTESTINO DELGADO
PSEUDOQUISTES PANCREATICOS
VÓLVULO CECAL
CRIOGLOBULINEMIA
ENFERMEDAD INJERTO CONTRA HUESPED
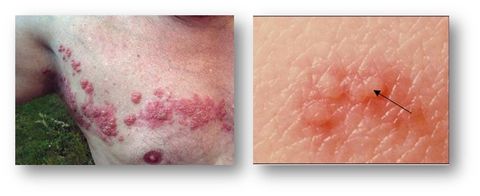
HERPES ZÓSTER
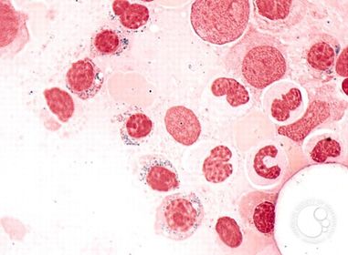
LEUCEMIA CUTIS
URTICARIA PIGMENTOSA
EMBOLOS POR COLESTEROL
ALERGIA AL CONTRASTE
FENOMENO DE RAYNAUD
ENDOCARDITIS
TROMBOCITOPENIA INDUCIDA POR HEPARINA
OXIURIASIS (ENTEROVIUS VERMICULARIS)
ASCARIS LUMBRICOIDES
ANCYLOSTOMA DUODENALE
NECATUR AMERICANUS
TRICHURIS TRICHURIA
COLOBOMA
PAPILOMA
PTERYGIUM
PINGUECULA
CHALAZION
PAPILOMATOSIS VULVAR
LIQUEN ESCLEROSO
LIQUEN SIMPLE CRONICO
CONDILOMA ACUMINADO
CONTRACTURA DUPUYTREN
ESCLERODERMIA
ARTRITIS REUMATOIDE
SINDROME DEL TUNEL DEL CARPO
NEUROPATIA DIABÉTICA PERIFERICA
ETILENGLICOL
METAHEMOGLOBINA
PROPOFOL
SEPSIS POR PSEUDOMONAS
TINTE FLUOROSCENTE
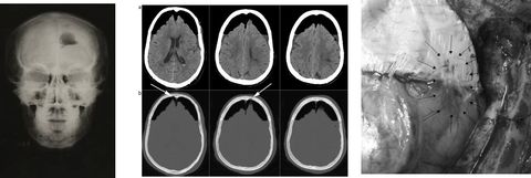
NEUMOENCÉFALO
ENFERMEDAD DE PAGET
NEUROCISTICERCOSIS
MENINGIOMA
HIPERPARATOROIDISMO
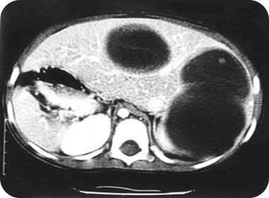
ENFERMEDAD DE HIGADO POLIQUISTICO
CARCINOMA HEPATOCELULAR
TUMOR TROFOBLÁSTICO
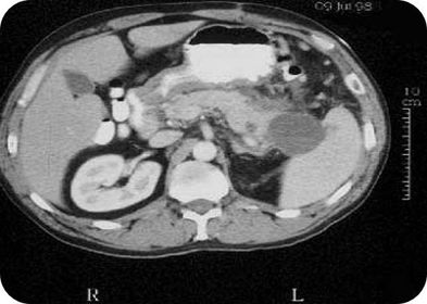
EQUINOCOCOSIS RENAL
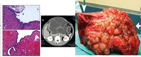
CIRROSIS MACRONODULAR
Show full summary Hide full summary

Similar

Definiciones CARDIOLOGÍA
Vivi Riquero
T9. Enfermedades Inflamatorias
Vivi Riquero
Anatomía cabeza
Diego Santos
Fichas para oposiciones de auxiliar de enfermería
leyvamiri
Oftalmología - ENARM
Emilio Alonsooo
Hematología - ENARM
Emilio Alonsooo
Anatomía cabeza
maca.s
Infecciones Quirúrgicas
Exero
FUNDAMENTOS DE LA EMBRIOLOGÍA.
fperezartiles
Tema 15: Características del sistema respiratorio
Marlopcar López
Alergología - Práctica para el ENARM
Emilio Alonsooo