DIVERSIDAD CELULAR

Description

Tejidos y diversidad celular Anatomía Flashcards on DIVERSIDAD CELULAR, created by Leyre Cuenca on 22/11/2016.
Leyre Cuenca
Flashcards by Leyre Cuenca, updated more than 1 year ago
Leyre Cuenca
Created by Leyre Cuenca about 9 years ago
86
0

Resource summary

Question Answer
Tejido conectivo: sanguíneo Eritrocitos (glóbulos rojos) Leucocitos ("" blancos)
Tejido epitelial: simple escamoso (capa fina de células)
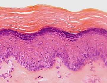
Tejido epitelial: estratificado escamoso (depresiones marcadas)
Tejido epitelial: Pseudoestratíficado (capa densa de núcleos)
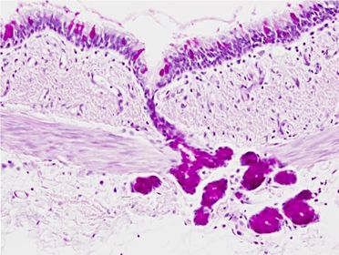
Tejido epitelial: Epitelio Glandular
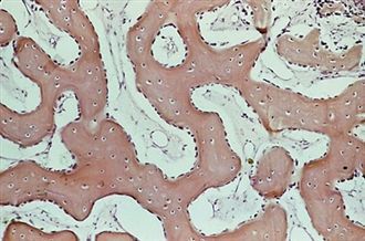
Tejido Conectivo: Óseo (esponjoso)
Tejido Conectivo: óseo (compacto)
Tejido conectivo: cartilaginoso (hialino)
Tejido conectivo: cartilaginoso (elástico)
Tejido conectivo: cartilaginoso (fibroso)
Tejido conectivo: conjuntivo (denso)
Tejido conectivo: conjuntivo (laxo)
Tejido muscular (esquelético)
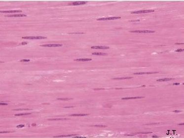
Tejido muscular (liso) sin estriaciones
Tejido conectivo: adiposo
Tejido muscular (cardíaco) con estriaciones núcleos visibles
Tejido nervioso: neurona
Show full summary Hide full summary

Similar

Test sobre los tejidos
Laura Marty
TEST DE ANATOMIA (HUESOS)
patotigre199
Anatomía cabeza
maca.s
ANATOMÍA...
Ulises Yo
Aparato CIRCULATORIO
JL Cadenas
Test - Huesos del Cráneo
Christhian Revolorio
Aparato CIRCULATORIO - De Mapa Mental
JL Cadenas
Miembro Superior
maca.s
FUNDAMENTOS DE LA EMBRIOLOGÍA.
fperezartiles
ANATOMÍA TOPOGRÁFICA DEL ABDÓMEN
Marcela Pazmiño
Definiciones básicas de planos, ejes, movimientos y articulaciones
Roy Dos Ramos