|
|
Created by racosta-gutiRicardo
over 11 years ago
|
|
| Question | Answer |
| IRIDOLOGIA. ¿QUÉ ES? | CIENCIA QUE ESTUDIA LA SALUD ENALIZANDO LAS MARCAS QUE SE ENCUENTRAN EN EL IRIS |
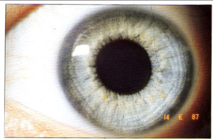
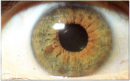
| QUÉ ES EL IRIS. | ES LA PARTE OBSCURA DEL OJO CON EXCEPCION DEL CENTRO, QUE SE LLAMA PUPILA. |
| QUÉ OTROS NOMBRES RECIBE LA IRIDOLOGIA. | SE LE LLAMA TAMBIÉN IRIDIOLOGIA, IRIDIAGNOSIS E IRISDIAGNOSIS. |
| POR QUÉ ES CIENCIA LA IRIDOLOGIA. | PORQUE ES UN ESTUDIO ORDENADO Y SISTEMATIZADO, CON SUS HIPOTESIS Y CONCLUSIONES PARTIENDO DEL ANALISIS DEL IRIS |
| COMO SE LE LLAMA TAMBIÉN AL IRIS. | SI LOS OJOS SON LAS VENTANAS DEL CUERPO PARA CONOCER EL EXTERIOR, EL IRIS ES LA VENTANA PARA CONOCER EL INTERIOR DEL CUERPO. |
| COMO ESTA CONSTITUIDO EL IRIS | ESTA FORMADO POR DISTINTAS CAPAS DE TEJIDO. |
| QUÉ TONOS O COLORACIONES PUEDE TENER EL IRIS, SEGUN EL ESTADO DE SALUD. | LOS TONOS DEL IRIS VAN DESDE EL BLANCO HASTA EL NEGRO: BLANCO, SALUD NORMAL O ESTADO AGUDO; GRIS, SUBAGUDO Y CRONICO; NEGRO, CRONICO O DEGENERATIVO... |
| CONCEPTOS BASICOS QUE HAY QUE TENER EN CUENTA. | SIGNOS CONCRETOS: LAGUNAS, RAYOS Y/O CRIPTAS. TESITURA: ESTRUCTURA FIRME O RAZGADA. |
| QUÉ PODEMOS CONOCER POR EL ANALISIS DEL IRIS. | REVELA: FORTALEZA DEL CUERPO; NIVEL DE SALUD; NECESIDAD DE NUTRIENTES; DONDE HAY TOXINAS; CALIDAD DE PUREZA DEL CDUERPO... |
| QUÉ NO PODEMOS CONOCER, POR EL IRIS. | NO SE CONOCE: NOMBRES DE ENFERMEDADES; NO REVELA SI HUBO OPERACIONES CON ANESTESIA; NO REVELA EL EMBARAZO; NO DICE SI HAY CALCULOS RENALES U OTROS; NO ES UN ANALISIS PSICOLOGICO; NO SI HUBO ACCIDENTES, PERO SI LOS TEJIDOS DAÑADOS... |
| GRADOS DE VITALIDAD DEL IRIS. | -PUREZA - DEBILIDAD -PATOLOGIA: SIGNOS HUECOS O SIGNOS EN RELIEVE |
| ALGO DE HISTORIA. | PUEBLOS ANTIGUOS ESTUDIARON EL IRIS: EGIPCIOS, ASIATICOS, GRIEGOS, ROMANOS... EN LA EDAD MODERNA: IGNATZ PECZEL, SIGLO XIX, HIZO LA PRIMERA GRAFICA DEL IRIS...SIGLO XX VARIOS IRIDOLOGOS...HENRI LINDLAHR, DR. JENSEN. ESCUELA FRANCESA, ESCUELA ESPAÑOLA... |
| PRINCIPIO DE CURACION. | ESTA EN UNA:CIRCULACION SANGUINEA SANA, CIRCULACION SANGUINEA RAPIDA Y DESCANSO... |
| EN DONDE EMPIEZA LA SALUD. | LA SALUD EMPIEZA POR EL COLON: UNA BUENA NUTRICION, CONLLEVA BUENA DIGESTION Y ÉSTA LLEVA A UNA BUENA SALUD... |
| IRIS SEGUN LA EDAD. | COMO TODO EL ORGANISMO, EL IRIS TAMBIÉN SE ENVEJECE Y ASI EN NIÑOS, EN ADULTOS Y EN ANCIANOS TENDRA DIFERENTES ASPECTOS... |
| COMO SE HACE EL DIAGNOSTICO. | -PRIMERO CONOCER LA ANATOMIA DEL OJO - HAY SIGNOS MAS FACILES DE LEER Y MAS SOBRESALIENTES QUE OTROS -HAY DIVERSAS GRAFICAS, LA MAS FACIL Y COMPLETA, LA DEL DR. JENSEN EN ELLAS SE REFLEJAN LOS ORGANOS DEL CUERPO - |
| TOPOGRAFIA DEL IRIS. | -HAY SIETE ZONAS CONCENTRICAS Y CADA UNA CORRESPONDE A UN GRUPO DE ORGANOS - HAY DOCE SECTORES, COMO EN EL RELOJ -CADA OJO REFLEJA LA MITAD DEL CUERPO, EXCEPTO EN ORGANOS IMPARES, CORAZON Y BAZO, LADO IZQUIERDO, HIGADO Y VESICULA, LADO DERECHO... |
| TIPOS DE IRIS, SEGUN LA SALUD CORPORAL | -SUPERIOR (MUY RARO) -BUENO -COMUN -MEDIANO -MALO -PÉSIMO. |
| FUTURO DE LA IRIDOLOGIA. | ES UNA BUENA FORMA DE DIAGNOSTICO QUE NO SUSTITUYE LAS DEMAS, PERO ES MUY EXACTA Y PUEDE AYUDAR A DETECTAR A TIEMPO POSIBLES ENFERMEDADES.... ! MUCHAS GRACIAS! |
| TENEMOS ALGUNOS TIPOS DE IRIS: 1) TIPO BILIAR | |
| 2) TIPO FERROCROMATOSO | |
| 3) TIPO LINFATICO PURO | |
| 4) TIPO MIXTO PURO | |
| 5) TIPO HEMATOGENO PURO | |
| 6) TIPO NEUROGENO PURO | |
| 7) TIPO DE TEJIDO CONJUNTIVO DÉBIL | |
| 8) TIPO TETANICO LARVADO QUE SERA EL ULTIMO POR AHORA... ! MUCHAS GRACIAS! MAESTRO RICARDO ACOSTA G. |
Want to create your own Flashcards for free with GoConqr? Learn more.